Читать книгу "Поймать вавилонскую рыбку: Человеческий мозг, нейронные сети и изучение иностранных языков"
Автор книги: Яна Хлюстова
Жанр: Иностранные языки, Наука и Образование
Возрастные ограничения: 12+
сообщить о неприемлемом содержимом
Что такое нейролингвистика и как заглянуть в мозг
В системе «вывода речи», помимо генетической, есть и физиологическая составляющая. Еще в XVIII веке люди начали задаваться вопросом: как именно способности человека к мышлению и языку соотносятся со структурой мозга?
Ответ на него ищет наука нейролингвистика. Это дисциплина, которая изучает устройство языка методами нейронаук – другими словами, выясняет, где, когда и как языковая информация обрабатывается в мозге. Кроме того, нейролингвисты пытаются выяснить, как можно бороться с афазиями – расстройствами речи, возникающими при поражениях головного мозга в результате травм, опухолей, инсультов, воспалительных процессов и при некоторых психических заболеваниях.
Чтобы «увидеть» происходящие в мозге процессы, нейролингвисты используют различные методы нейровизуализации. К ним относятся, например:
● компьютерная томография (КТ), при которой голова человека обследуется с помощью серии рентгеновских лучей с разных направлений, после чего воссоздается трехмерное изображение мозга. Обычно этот метод используют для быстрой визуализации черепно-мозговых травм;
● магнитно-резонансная томография (МРТ) – работает за счет ядерного магнитного резонанса, то есть использует действующие на атомы водорода магнитные поля, а также радиоволны для получения двумерных и трехмерных изображений структур головного мозга. Рентгеновские лучи или ионизирующее излучение при этом не применяются;
● функциональная магнитно-резонансная томография (фМРТ) – особый режим МРТ, который фиксирует изменения интенсивности кровотока в разных частях головного мозга. Когда какая-то область активизируется, приток крови к ней усиливается – так ученые могут выявить зоны мозга, отвечающие за разные типы активности;
● магнитоэнцефалография (МЭГ) – измеряет магнитные поля, которые возникают вследствие электрической активности мозга. Этот метод фиксирует электрическую активность нейронов. С его помощью можно получать более точные во временном разрешении, чем при использовании фМРТ, данные об активности мозга;
● позитронно-эмиссионная томография (ПЭТ) – использует введение в кровоток пациента глюкозы с радиоактивным изотопом фтора. Они достигают мозга и скапливаются в разных его структурах – именно это регистрирует ПЭТ. Метод используется как для диагностики заболеваний (например, в онкологии для выявления метастазов опухолей), так и для изучения уровня активности в разных участках здорового мозга;
● электроэнцефалограмма (ЭЭГ) – также измеряет электрическую активность и позволяет получить ее изображение в течение определенного периода времени. Это очень чувствительный метод исследования, отражающий малейшие изменения функционирования коры головного мозга и глубинных структур в миллисекундном временном разрешении (гораздо точнее, чем ПЭТ и фМРТ). Однако пространственное разрешение у этого метода ниже, поэтому он лучше подходит для измерения скорости нейронной реакции, а не для определения ее точного местоположения.
А теперь, наконец, настало время поговорить о том, в каких же именно зонах человеческого мозга «живет» язык.
Зона Брока
11 апреля 1861 года французскому хирургу и антропологу Полю Брока поручили лечение нового пациента. 51-летнего мужчину звали Луи-Виктор Леборн, у него была гангрена, а еще он не говорил на протяжении 21 года.
Проблемы со здоровьем у Леборна появились в молодости. Сначала начались эпилептические припадки, а затем в возрасте 30 лет мужчина потерял способность к речи. Он решил, что проблема исчезнет сама собой, и не обращался к врачам, но затем все-таки отправился в госпиталь Бисетр. Врачи госпитализировали его в психиатрическое отделение.
Никаких внешних повреждений или травм у Леборна не наблюдалось. Единственным симптомом недуга было то, что мужчина мог четко произносить всего лишь один слог – «тан», активно при этом жестикулируя. Но его умственные способности находились в норме: он прекрасно понимал, что ему говорят, и общался при помощи жестов. По сообщениям его лечащих врачей (которые не понимали, что с ним), иногда, разозлившись, он мог выговорить ругательство.
В 40 лет у Леборна возникли новые проблемы: сначала появилась слабость в правой руке, затем конечность парализовало. То же самое случилось с правой ногой, и в 44 года Леборн оказался прикованным к постели (левая половина тела сохраняла подвижность). Его умственные способности также стали ухудшаться, падало зрение. В апреле 1861 года правую ногу поразила гангрена, началось заражение крови, и пациента перевели к хирургу Полю Брока.
Брока, как и многие врачи того времени, имел достаточно разносторонние научные интересы: от гистологии до антропологии. Именно Поль Брока выявил наследственную предрасположенность к раку молочной железы, описав десять случаев этого заболевания в семье своей жены на протяжении четырех поколений. Кроме того, его работы касались лечения аневризм (истончений стенок кровеносных сосудов), также он исследовал строение хрящей и мозга.
Во второй половине XIX века мозг был малоизученным органом. Поль Брока и еще 19 ученых основали Парижское антропологическое общество – оно стало главной площадкой того времени, на которой велись научные дискуссии о строении, функционировании и эволюции головного мозга. Исследователи делились на два лагеря: одни полагали, что мозг работает как единое целое, другие считали, что в этом органе есть специализированные зоны, отвечающие за разные аспекты нашей деятельности – движение, речь и так далее.
Брока очень заинтересовался случаем Луи Леборна, и гангрена тут была ни при чем. Хирург внимательно обследовал мужчину, поговорил с его родителями и врачами и сделал вывод: «Такая потеря речи у людей, не страдающих от паралича и не являющихся умственно отсталыми, представляет собой настолько своеобразный симптом, что мне кажется целесообразным дать ему особое наименование. Я назову его афемией[10]10
Этот термин существует и сегодня. В современной медицине афемией называют случаи, когда пациент теряет способность говорить, но при этом может читать, писать и понимать чужую речь.
[Закрыть]»[11]11
Broca P. Remarks on the Seat of the Faculty of Articulated Language, Following an Observation of Aphemia (Loss of Speech). Bulletin de la Société Anatomique. 1861. 6(2): 330–357.
[Закрыть].
17 апреля 1861 года Луи-Виктор Леборн скончался. Спустя сутки Поль Брока произвел вскрытие тела, и главным объектом внимания хирурга стал головной мозг пациента. Врач пришел к выводу, что Леборн, скорее всего, перенес два инсульта (острое нарушение кровообращения в мозге, которое приводит к повреждению тканей). А еще у него оказалась сильно пораженной левая лобная доля – в ней была полость размером с куриное яйцо, заполненная серозной жидкостью. Брока решил, что именно в этом месте и находится наш речевой центр, то есть зона, ответственная за способность говорить, и сделал соответствующий доклад на очередном собрании Парижского антропологического общества.
Спустя несколько месяцев после смерти Леборна Полю Брока встретился еще один интересный пациент – 84-летний садовник Лазар Лелон с диагнозом «деменция». При общении с Лелоном врач отметил ярко выраженные проблемы с речью – садовник произносил лишь пять слов: собственное имя, «да», «нет», «всегда», «три» (этим числительным он заменял все остальные). После смерти Лелона хирург исследовал его мозг и обнаружил, что лобные доли были сильно повреждены в том же месте, что и у Луи Леборна. Это укрепило исследователя во мнении, что здесь и находится речевой центр – сегодня он называется зоной Брока (рис. 3).

Рис. 3. Мозг Луи Леборна (А, В) и Лазара Лелона (С, D). Хорошо видны физические повреждения левой лобной доли
Источник: Dronkers et al., 2007
Оба головных мозга были заспиртованы и сейчас хранятся в Париже, в Музее патологической анатомии (Музее Дюпюитрена). Их исследования, проведенные с использованием современных методов, подтвердили и расширили выводы Поля Брока (о том, как изучают мозг в XXI веке, мы поговорим немного позже).
Зона Брока стала первым известным науке участком головного мозга, отвечающим за речь. Она расположена в лобной доле доминирующего полушария (то есть в левом у правшей и в правом у левшей). Ранее считалось, что ее главная функция – продуцирование речи (говорение), но теперь ученые выяснили, что зона Брока задействована и в восприятии языка. Кроме того, она активируется при выполнении и других сложных когнитивных процессов, например осуществлении движений (каждому движению предшествует его представление), интерпретации действий окружающих.
Зона Вернике
В 1872 году к врачу-психоневрологу Карлу Вернике поступил пациент, перенесший инсульт. Он все слышал и бегло говорил – вот только не понимал значения сказанного, и его собственная речь тоже не имела смысла. Заболевание, при котором нарушается речь, называется афазией, а именно эта его разновидность позднее стала известна как «афазия Вернике». Ее симптомами является то, что пациент не понимает смысла слов, они не вызывают у него ассоциаций. Речь больного может быть грамматически правильной, но при этом лишенной смысла: он произносит несуществующие в языке слова, использует много предлогов, союзов. Сам он, как правило, не осознает проблемы и раздражается оттого, что его не понимают.
После смерти своего пациента Вернике произвел вскрытие тела и обнаружил, что задняя теменная и височная доли левого полушария повреждены. Ученый, которому тогда было всего 26 лет, сделал вывод, что этот участок, расположенный рядом со слуховой корой, задействован в понимании устной и письменной речи. В 1874 году Вернике опубликовал свою самую важную работу – «Афонический симптомокомплекс», связав в ней афазию с повреждениями в головном мозге конкретного участка. Он получил название зоны Вернике, а подобные случаи стали называться афазией Вернике.
Кроме того, Вернике сформулировал так называемую теорию локализации. Он предположил, что разные области мозга контролируют разные типы поведения и взаимодействуют между собой, что приводит к появлению других, более сложных видов деятельности. Так, например, при обмене информацией между зонами Брока и Вернике «рождается» язык.
Аркуатный пучок
Как же взаимодействуют зоны Брока и Вернике? Это происходит при помощи аркуатного, или дугообразного, пучка – группы нервных волокон, по которым информация от слуховой коры поступает к моторной и обратно (рис. 4). Впервые этот путь коммуникации между речевыми центрами мозга описал американский невролог Норман Гешвинд, живший в середине ХХ века.

Рис. 4. Схематичное изображение зоны Брока, зоны Вернике и соединяющего их аркуатного пучка
Если аркуатный пучок повредить, то у человека появятся проблемы: сохраняя способность понимать устную и письменную речь, он не сможет повторить слова, которые услышал или прочитал. Такой пациент будет говорить с ошибками, и, осознавая это, самостоятельно исправить их он не сможет.
Модель неврологической основы речи, согласно которой способность человека владеть языком обеспечивают зоны Брока и Вернике, соединенные аркуатным пучком, называют классической моделью Вернике – Гешвинда. В свое время она стала революцией в науке и до сих описывается во многих учебниках. Но значит ли это, что она так же верна, как считалось десятилетия назад?

Рис. 5. 3D-модель аркуатного пучка, соединяющего зоны Брока и Вернике. Метод, при помощи которого сделано изображение, называется диффузионно-тензорной трактографией (разновидность МРТ). Снимок стал финалистом конкурса научной фотографии Wellcome Image Award в 2017 году.
Источники: Stephanie J Forkel and Ahmad Beyh, Natbrainlab, King's College London; Alfonso de Lara Rubio, King's College London
Не все так просто
Время шло, ученые открывали всё новые зоны мозга, вовлеченные в процесс обработки и продуцирования речи, и узнавали все больше о взаимодействии областей Брока и Вернике. Так, например, дискуссии о том, есть ли у нас в мозге специальная область, отвечающая за чтение, ведутся почти 200 лет. На этот вопрос пытались ответить и Карл Вернике, и Жан-Мартен Шарко – всемирно известный специалист по неврологическим болезням, живший в XIX веке.
В 2016 году ученые исследовали головной мозг пациентов, проходивших лечение от эпилепсии, – для поиска эпилептического очага им вживили электроды в область левой срединной веретенообразной извилины. Можете не запоминать ее название. Для нас важно лишь то, что эта извилина находится в том месте, которое называют областью визуальной словоформы (англ. visual word form area). Предполагалось, что эта область участвует в распознавании письменной речи – помогает связывать изображения букв и слов с их звучанием и значением.
При помощи электродов ученые получили возможность напрямую воздействовать на нужную область, стимулируя нейроны электрическим током и тем самым нарушая их работу. Оказалось, что, если мешать веретенообразной извилине нормально функционировать, пациент теряет способность понимать написанный текст. При этом неврологи отмечали, что он по-прежнему мог называть предметы и распознавать лица. Тем самым ученые подтвердили, что область визуальной словоформы действительно очень точно «настроена» именно на распознавание символов письменной речи.
Но это еще не все. Исследователи также выяснили, что «настройка» этой области работает только у грамотных людей – тех, кто умеет читать и писать. Поэтому в ученом сообществе бытовала гипотеза, что в начале жизни человека область визуальной словоформы ничем не отличается от других частей зрительной коры головного мозга, отвечающих за распознавание любых окружающих нас объектов и лиц. Специализация же на тексте возникает по мере того, как ребенок учится говорить, читать и писать.
Работа, выполненная в 2020 году учеными Университета штата Огайо, показала, что эта гипотеза неверна. В эксперименте были задействованы 40 взрослых людей и 40 новорожденных, возрастом менее недели. При помощи фМРТ у них измерили функциональную связность мозга – проще говоря, согласованность работы его отделов. Она часто нарушена у людей с аутизмом, болезнью Альцгеймера и рассеянным склерозом – в результате человеку становится сложнее как выполнять привычные действия, так и учиться новому.
Результаты фМРТ показали, что и у младенцев, и у взрослых область визуальной словоформы гораздо теснее связана с языковыми центрами мозга, чем со всеми остальными его частями. А это значит, что предрасположенность к чтению у нас есть уже при рождении, задолго до того, как мы начинаем говорить. Впрочем, с возрастом эта область все же меняется, развиваясь по мере взросления человека.
Но вернемся к классической модели Вернике – Гешвинда. Несмотря на то, что ее основы заложены в середине XIX века, а сама она была дополнена огромным количеством новых сведений, эта модель до сих пор широко распространена в научном сообществе. Студенты нейропсихологи и неврологи часто изучают устаревшие идеи, не соотнося их с последними открытиями в этой области. В подавляющем большинстве учебников по нейробиологии сказано, что две языковых зоны (Брока и Вернике) соединены лишь аркуатным пучком. Тем не менее уже известно, что таких связующих путей гораздо больше (крючковатый, задний лобно-затылочный, задний продольный и нижний продолговатый пучки), да и анатомические границы самих зон Брока и Вернике подвергаются пересмотру. Кроме того, доказано, что локализация языковых функций нашего мозга выходит за пределы зон Брока и Вернике, распространяясь, например, в лобную, теменную и височную доли, на медиальную поверхность полушарий, а также в базальные ганглии, таламус и мозжечок.
Конечно, ученых волнует такое несоответствие реальных данных и традиционной модели, которую продолжают освещать как в учебных пособиях, так и в научных публикациях. В 2016 году канадские исследователи заявили о своей позиции на страницах научного журнала Brain and Language. Они опросили 159 экспертов, задав им вопрос о том, может ли модель Вернике – Гешвинда использоваться в качестве рабочей. Положительный ответ дали лишь 2﹪ опрошенных, а остальные признали, что классическая модель не просто устарела – ее использование в исследовательской и медицинской практике препятствует прогрессу. Статья, к слову, называлась «Брока и Вернике мертвы»[12]12
Tremblay P., Dick A. S. Broca and Wernicke Are Dead, or Moving Past the Classic Model of Language Neurobiology. Brain and Language. 2016. 162: 60–71.
[Закрыть].
Чтобы еще нагляднее показать, насколько широки лингвистические связи в нашем мозге, расскажу про исследование нейролингвистов из Калифорнийского университета в Беркли. В эксперименте приняли участие семь англоговорящих добровольцев, включая руководителя исследования Александра Гута. Каждый из них два часа находился в томографе, слушая радиопередачи на английском языке, а исследователи в это время проводили функциональную магнитно-резонансную томографию и фиксировали реакцию мозга на каждое услышанное слово.
Затем ученые выполнили огромную работу с текстами. Не будем погружаться в ее подробности, скажем лишь только, что авторы исследования составили список из 10 470 слов, которые прозвучали в радиопередачах. Они использовали 985 базовых слов английского языка, а также проанализировали, сколько раз каждое из 10 470 слов появляется в корпусе текстов (туда вошли, например, 604 книги, 2 405 569 страниц «Википедии» и 36 333 459 комментариев пользователей сайта Reddit).
В итоге исследователи расшифровали реакцию коры головного мозга на каждое услышанное испытуемыми слово и выяснили, что в их обработку вовлечено более трети поверхности коры головного мозга. Кроме того, они смогли выделить «лингвистические зоны», реагирующие на слова с похожими по смыслу значениями. По сути, авторы работы составили карту областей, в которые мозг «обращается» за значением той или иной лексической единицы (например, слова «неделя» и «месяц» будут обрабатываться в одной части мозга, слова «желтый» и «круглый» – в другой, а если слово имеет несколько значений, то на него среагируют сразу несколько областей).
Исследователи смогли выделить 12 категорий, на которые наш мозг делит слова: тактильное (кластер содержит такие слова, как, например, «палец»), визуальное («желтый»), числовое («четыре»), пространственное («стадион»), абстрактное («естественный»), временнóе («минута»), профессиональное («совещание»), жестокое («смертельный»), общественное («школа»), ментальное («спать»), эмоциональное («презираемый») и социальное («ребенок»).
А теперь давайте посмотрим на карту, которая получилась у ученых. Цветами на ней отмечены участки коры мозга, реагировавшие на разные типы слов, и мы видим, что в этом процессе была задействована ее бóльшая часть. Впечатляет, правда?
Этот эксперимент показал, что обработка речи действительно не ограничена зонами Брока, Вернике и аркуатным пучком.

Рис. 6. Карта коры мозга, на которой выделены зоны, участвующие в обработке речи
Источник: Alexander G. Huth, Wendy A. de Heer, Thomas L. Griffiths, Frédéric E. Theunissen and Jack L. Gallant. Natural speech reveals the semantic maps that tile human cerebral cortex. Nature. April 27, 2016. doi:10.1038/nature17637
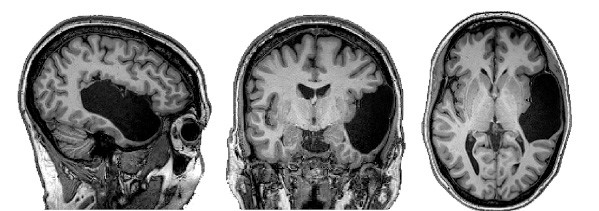
И напоследок еще одна история, которая окончательно убедит вас в этом. Весной 2022 года ученые рассказали миру о необычной пациентке. На первый взгляд, у нее все было в порядке: девушка окончила университет и аспирантуру, прекрасно владела родным и иностранным языками. Когда ей было 25 лет, невролог назначил пациентке МРТ головного мозга, и выяснилось, что у девушки есть врожденная аномалия: полностью отсутствует левая височная доля. Та самая, в которой находится часть языковых центров нашего мозга, в том числе зона Вернике. «После получения снимков некоторые врачи говорили мне, что мой словарный запас должен быть не выше начальной школы, что у меня должна быть эпилепсия или хотя бы какие-то умственные расстройства, – рассказывает пациентка, имя которой авторы статьи зашифровали буквами EG. – Они казались разочарованными, даже разгневанными тем, что я не укладываюсь в их картину функциональной нейроанатомии. В дальнейшем меня никто не исследовал… Кусок ствола моего мозга также отсутствует. Один нейрохирург сказал мне, что много лет назад такой дефект обнаруживали только при вскрытии умерших младенцев»[13]13
Tuckute G., Paunov A., Kean H., et al. Frontal Language Areas Do Not Emerge in the Absence of Temporal Language Areas: A Case Study of an Individual Born without a Left Temporal Lobe. Neuropsychologia. 2022. 169(2). doi: 10.1016/j.neuropsychologia.2022.108184
[Закрыть].

Рис. 7. Мозг пациентки EG. Черный участок на снимке – «дыра» на месте левой височной доли
Источник: Evelina Fedorenko et al / Neuropsychologia 2022
Однако теперь очевидно, что такие нарушения не только не всегда приводят к смерти человека, но могут вообще не влиять на его состояние. В конце концов девушку пригласили в Массачусетский технологический институт, где исследовали, как обрабатывает речь ее мозг и мозг здоровых людей.
Выяснилось следующее: у всех добровольцев с нормальным мозгом лингвистический центр находился там, где ему и положено быть – в левом полушарии, в лобной и височной долях. А у EG языковой центр располагался справа – в том полушарии, где сохранились обе нужные «языковые» доли. При этом уцелевшая левая лобная доля никак не реагировала на языковые стимулы.
Чем же она занималась? Чтобы узнать это, участников эксперимента просили решать арифметические задания различной сложности. Оказалось, что у EG и у здоровых людей с этой задачей мозг справлялся одинаково: левая лобная доля активировалась во время счета. Ученые сделали вывод, что эта часть мозга у пациентки не смогла стать языковым центром, не потеряв при этом остальных своих функций.
В результате исследователи пришли к следующим заключениям. Во-первых, височная доля необходима для того, чтобы лобная сформировалась как речевой центр (если бы у пациентки не было височных долей в обоих полушариях, она точно не смогла бы говорить). Во-вторых, развитие языковых центров в левом и правом полушариях не зависит друг от друга. А в-третьих, правое полушарие (которое чаще всего не доминирует в языковой деятельности) вполне способно взять на себя соответствующие функции левого.