Текст книги "Каверномы ЦНС"
Автор книги: А. Коновалов
Жанр: Медицина, Наука и Образование
Возрастные ограничения: +18
сообщить о неприемлемом содержимом
Текущая страница: 8 (всего у книги 20 страниц) [доступный отрывок для чтения: 5 страниц]
8.2. Гистологический диагноз
Гистологический диагноз каверномы в подавляющем большинстве случаев базируется на исследовании операционного биопсийного материала.
За исключением сравнительно редких случаев типичного расхождения дооперационного и гистологического диагнозов, описанных выше, у большинства больных предоперационный диагноз кавернозной мальформации подтвержден результатами гистологического исследования. При этом соотношение диагностированных и не диагностированных по данным биопсии каверном существенно отличается при каверномах разной локализации (табл. VII).
Приведенные данные показывают, что гистологический диагноз КМ чаще всего ставится при поверхностно расположенных мальформациях больших полушарий, при которых ткань КМ обнаруживают в 90,4% биопсий. При глубинных образованиях больших полушарий доля гистологически подтвержденных каверном снижается до 70,2%. Реже всего диагноз КМ ставится при образованиях задней черепной ямки, особенно ствола мозга – 43,2% биопсий. Соответственно возрастает доля биопсий, в которых обнаружена только капсула гематомы. При стволовой локализации также наиболее высока доля сомнительных ответов – 13,5%. В то же время, при мальформациях спинного мозга доля гистологически подтвержденных КМ достаточно высока и составляет 79,2%.
Табл. VII. Сравнительная оценка гистологических данных при удалении кавернозных мальформаций разной локализации

Эти данные позволяют предположить, что точность гистологического диагноза зависит, прежде всего, от доступности мальформации в ходе операции, и от ее размеров. Очевидно, что доступность и размеры мальформаций задней черепной ямки, особенно ствола мозга, в целом значительно меньше, чем аналогичных образований супратенториальных структур. Различия в результатах биопсий поверхностных и глубинных мальформаций можно объяснить и способом их удаления: поверхностные (субкортикальные) КМ чаще удаляют целиком, и их цитоархитектоника при этом сохраняется, а большинство глубинных образований, в том числе, ствола мозга, удаляют кускованием. Эти факторы создают определенные трудности в идентификации мальформации и могут быть причиной расхождения между типичной предоперационной клинико-рентгенологической картиной каверномы, типичным видом мальформации на операции и отсутствием морфологического подтверждения диагноза. Возможно также, что мальформации ствола диагностируют на более ранних стадиях формирования. Нельзя также исключить, что гематомы ствола образуются в результате разрыва какой-либо другой сосудистой мальформации, например, телеангиэктазии, хотя прямых доказательств этого факта, как в нашем материале, так и в доступной литературе, мы не обнаружили. Отсутствие типичной ткани кавернозной мальформации при наличии фрагментов капсулы гематомы не противоречит предоперационному диагнозу каверномы. Тем не менее, гистологический диагноз должен быть обязательно указан в сопровождающих больного документах.
Таким образом, диагноз каверномы может быть установлен по клинико-рентгенологическим данным с высокой степенью точности. Следует, однако, дифференцировать КМ с внутримозговыми опухолями, а также с полностью или частично тромбированными периферическими аневризмами и АВМ. В связи с тем, что далеко не все больные с диагнозом каверномы подвергаются хирургическому вмешательству, ошибка может привести к неправильной тактике ведения больного, что наиболее опасно при опухолях головного и спинного мозга. В этой связи все не оперированные больные с диагнозом «кавернома» должны находиться под наблюдением невролога или нейрохирурга, а в сомнительных случаях необходимо проводить повторные МРТ или дополнительные исследования, направленные на более точную диагностику природы патологического образования. Повторные МРТ обязательны в случаях впервые выявленных образований.
9. Хирургическое лечение кавернозных мальформаций
При выборе метода лечения больного с КМ следует прежде всего руководствоваться тем, что заболевание в целом имеет доброкачественное течение и не угрожает жизни больного. Тактика ведения и выбор метода лечения зависят, в первую очередь, от локализации и клинических проявлений КМ. Определенное значение имеют также размер каверномы, возраст больного, наличие сопутствующих заболеваний.
Возможны следующие варианты ведения больного: наблюдение, консервативная терапия, удаление каверномы, радиохирургическое лечение.
В случае удаления КМ успешно выполненная операция может навсегда избавить больного от рисков, связанных с заболеванием. Тем не менее, как и при любой другой операции, существует риск развития интра– и послеоперационных осложнений, который при определенной локализации каверном может быть достаточно высоким. Не существует также гарантии того, что удаление каверномы полностью избавит больного от эпилептических приступов. В ряде случаев сохраняется риск повторных кровоизлияний (при неполном удалении КМ или их формировании de novo).
Опыт радиохирургического лечения КМ в настоящее время не позволяет определить четкие показания к этому виду лечения, хотя существуют доказательства эффктивности облучения в отношении частоты повторных кровоизлияний. При консервативном лечении сохраняется постоянный риск кровоизлияния и эпилептических припадков, а при наличии последних больной обречен на длительный прием антиконвульсантов.
Таким образом, выбор между консервативным, хирургическим и радиохирургическим лечением основан на соотношении возможных рисков в каждом конкретном случае. Больной и его родные должны быть полностью информированы о возможном развитии болезни, особенностях и осложнениях каждого вида лечения, и должны принять самостоятельное решение по предложенным способам лечения.
9.1. Показания к операции
К концу ХХ века был накоплен значительный опыт и сформулированы основные принципы хирургического лечения КМ головного мозга. Этот опыт основан, главным образом, на результатах лечения больных с четко очерченными клиническими проявлениями заболевания. В последние годы стремительно увеличивается число больных с неспецифическими минимальными симптомами и с бессимптомными формами каверном, а также с каверномами маленьких размеров и с множественными образованиями. Совершенствование микрохирургической техники и появление различных интраоперационных методов визуализации и контроля заставляют пересматривать и уточнять как показания к операциям, так и методику их выполнения. В принятии решения об операции имеет также значение основанный на собственных результатах опыт конкретной клиники.
Исходя их этих факторов, в институте сформулированы следующие показания и противопоказания к удалению каверном.
Операция показана в следующих случаях:
– каверномы больших полушарий, проявившиеся кровоизлиянием или эпилептическими припадками и расположенные в коре мозга или субкортикально, вне функционально значимых зон; каверномы латеральных отделов полушарий мозжечка, проявившиеся кровоизлиянием;
– корковые и субкортикальные каверномы больших полушарий, расположенные в функционально значимых зонах, глубинные каверномы больших полушарий, каверномы ствола мозга, каверномы медиальных отделов полушарий мозжечка, проявившиеся повторными кровоизлияниями с формированием стойких неврологических нарушений или тяжелого эпилептического синдрома.
Операция не показана в следующих случаях:
– корковые и субкортикальные каверномы больших полушарий, расположенные в функционально значимых зонах, и протекающие с редкими эпилептическими припадками, хорошо поддающимися лечению антиконвульсантами, при отсутствии очаговых неврологических симптомов;
– корковые и субкортикальные каверномы больших полушарий, расположенные в функционально значимых зонах, глубинные каверномы больших полушарий, каверномы ствола мозга, каверномы медиальных отделов полушарий мозжечка, проявившиеся однократным кровоизлиянием с полным регрессом очаговых неврологических симптомов.
Помимо этих общих положений, решение вопроса об операции в каждом конкретном случае учитывает и другие факторы, которые изложены в разделах по хирургическому лечению каверном различной локализации.
9.2. Общие принципы удаления КМ
Общими принципами хирургических вмешательств на каверномах любой локализации являются адекватный доступ к мальформации и наименее травматичная методика ее удаления с сохранением окружающего мозгового вещества. В ходе операции необходимо стремиться к полному удалению каверномы, так как в противном случае возможны повторные кровоизлияния. Кавернома может быть удалена как единым блоком (рис. 54), так и путем фрагментации.
Как было отмечено ранее, кровоток в КМ практически отсутствует. Это позволяет в процессе удаления разделить мальформацию на отдельные фрагменты. Этот метод менее травматичен и, безусловно, предпочтителен при удалении глубинно расположенных КМ – удаленные фрагменты каверномы дают дополнительное пространство для более безопасных манипуляций. Разделение КМ на фрагменты может быть осуществлено с помощью биполярной коагуляции, микроножниц, диссекторов. В отдельных случаях строма КМ может быть очень плотной и содержать кальцификаты. Такие фрагменты приходится удалять кусачками или «грубыми» ножницами. На заключительном этапе нужно тщательно осмотреть всю полость, образовавшуюся после удаления КМ.

Рис. 54. Удаление каверномы левого бокового желудочка единым блоком. А – этап выделения КМ; Б – вид операционной раны после удаления КМ – видна не измененная эпендима БЖ. В – вид КМ, удаленной единым блоком. Инраоперационные фото
Иногда рядом с основным узлом КМ могут располагаться дополнительные полости мальформации. Тщательное изучение МРТ до операции позволяет предположить расположение этих образований, обнаружить и удалить их во время операции. При глубинно-базальном расположении КМ вблизи крупных сосудов (сонная, средняя мозговая, передняя мозговая артерии) требуется особая осторожность при удалении каверномы. Следует обращать внимание на перфорирующие сосуды, которые могут прилегать к КМ и быть ошибочно приняты за ее приводящие сосуды (такой вариант наиболее вероятен при комбинации КМ и АВМ). Эти сосуды следует осторожно отделить от КМ и сохранить, поскольку их повреждение может привести к серьезным осложнениям.
В нашей серии более 2/3 каверном были удалены путем фрагментации. Некоторые хирурги, напротив, предпочитают постепенное выделение КМ по ее границе с мозгом, что позволяет лучше контролировать полноту удаления мальформации и сохранять окружающие артерии и вены (254). При наличии в структуре КМ гематомы первым этапом рекомендуется ее опорожнение (внутренняя декомпрессия), что значительно облегчает последующее удаление образования. Кавернозная мальформация, как правило, отчетливо отграничена от мозгового вещества, и контроль ее полного удаления может быть затруднен только в случае глубинного расположения (из-за узости раневого хода) и при фрагментации каверномы кровоизлияниями. При «безопасной» локализации каверномы дополнительная резекция измененной перифокальной зоны позволяет выявить отдельно лежащие фрагменты, что, затруднено при глубинной локализации или близости функционально значимой зоны. За отдельно лежащие фрагменты каверномы можно принять телеангиоэктазии, в некоторых случаях выявляемые вблизи каверномы в виде сети мелких сосудов. Их удаление следует признать нежелательным. Необходимо также сохранять обнаруженные в непосредственной близости от каверном вены и венозные ангиомы, так как их иссечение сопряжено с развитием нарушений венозного оттока из окружающей мозговой ткани, что неизбежно приводит к развитию отека мозга и формированию венозных инфарктов.
9.3. Вспомогательные методы при операциях по поводу КМ
Для облегчения доступа и улучшения результатов удаления каверном используются различные инструментальные предоперационные и интраоперационные вспомогательные методики.
Среди предоперационных методов к ним относятся функциональная МРТ и МР-трактография (см. главу 8).
В ходе хирургического вмешательства при отсутствии четких анатомических ориентиров на этапе доступа целесообразно применение методов интраоперационной навигации: ультразвукового сканирования, навигации на основании предоперационных МР-томограмм.
Ультразвуковое сканирование – первый инструментальный метод, который давно и успешно используют для поиска небольших объемных образований различной этиологии в глубинных отделах мозга. Ультразвуковое сканирование при удалении каверном выполнено нами у 103 больных. Применяли сканирование в В-режиме с использованием серой шкалы и линейного датчика с сигналом изменяемой частоты (5—8 Гц) и мощности (рис. 55).

Рис. 55. Использование ультразвукового сканирования для оптимизации доступа к кавернозной ангиоме области центральных извилин слева. А – вид каверномы, МРТ, режим Т2. Б – установка датчика на кору мозга. В – гиперэхогенный сигнал от каверномы на экране
Исследование проводили транс– и субдурально. В 91,3% случаев образование лоцировано и траектория доступа согласована с данными исследования. В 8,7% случаев четких данных не получено и кавернома обнаружена по доступным анатомическим ориентирам. Средний диаметр не выявленных при ультразвуковом сканировании каверном был в два раза меньше среднего диаметра обнаруженных (1,3см и 2,6см соответственно). Высокая чувствительность метода делает его незаменимым для быстрой приблизительной оценки локализации патологического образования. Существенным достоинством метода является предоставление информации в реальном времени. Ультразвуковая визуализация каверном менее эффективна при небольших размерах мальформаций (менее 1см в диаметре), хотя технические возможности приборов последних моделей позволяют выялять все более мелкие образования.
Безрамочная нейронавигация на основании предоперационной МРТ позволяет максимально точно планировать доступ и краниотомию необходимого размера (минимально возможного для конкретной ситуации) (116, 145, 222, 254). Этот метод целесообразно использовать для поиска небольших и глубинно расположенных каверном. Метод прост в исполнении, может значительно помочь в ряде затруднительных ситуаций и избавить нейрохирурга от случайных ошибок. Следует отметить, что задачей нейронавигации при удалении каверном являются только планирование доступа и первичный поиск мальформации. При поверхностном и неглубоком расположении КМ навигация определяет глубину и направление доступа. Это не означает, что доступ должен быть «прямолинейным» по ходу направляющего инструмента. Проникая вглубь между извилинами мозга, к КМ можно подойти практически без травмы мозгового вещества. О близком расположении мальформации говорит коричнево-желтое прокрашивание мозгового вещества. Если навигация используется при глубинно расположенных КМ, важно на начальном этапе операции установить направляющую канюлю вплоть до поверхности каверномы и использовать «раневой ход» от канюли для подхода. Если определение расположения КМ делается не вначале операции, а по ее ходу, возможны ошибки, связанные с истечением ликвора и смещением мозга. Значение среднего смещения глубинных мишеней при правильном использовании метода составляет не более 1мм, а при несоблюдении протоколов наведения оно может достигать 1 см (81). В процессе удаления объемного образования происходит дополнительное смещение структур, иногда на значительное расстояние. Эффект интраоперационного смещения наиболее выражен при удалении поверхностных образований (116). Использование нейронавигации для иссечения зоны перифокального глиоза, как правило, невозможно в связи со смещением структур после иссечения каверномы. По этой же причине при одномоментном удалении множественных КМ больших полушарий навигация эффективна лишь для определения локализации каверномы, которую удаляют первой. Метод нейронавигации используется в институте сравнительно недавно. При удалении кавернозных мальформаций он применен у 22 больных (рис. 56).
Размер удаленных с помощью нейронавигации каверном составил от 0,3 до 4 см. Во всех случаях краниотомия не превышала 4 см. Для удаления каверномы было достаточно одной энцефалотомии. Кавернома была обнаружена сразу в 20 случаях. В двух случаях возникли затруднения в связи со смещением структур на расстояние до одного сантиметра. Минимальный размер каверномы, найденной при помощи нейронавигации, составил 0,3 см.
Для улучшения функциональных исходов операции используют методики интраоперационной оценки функциональной значимости структур мозга в зоне хирургического вмешательства.
Электростимуляция моторной коры с оценкой двигательной реакции и М-ответов (мониторинг двигательных путей, motor evoked potentials, MEP) применяют достаточно давно при удалении образований сенсомоторной зоны. Методику следует признать простой и эффективной. Она позволяет спланировать максимально щадящий доступ к объемному образованию, в том числе, к каверноме, и оценить возможность иссечения перифокальных участков измененного мозгового вещества. Одним из возможных осложнений метода является развитие генерализованного эпилептического приступа. Этому, вероятно, способствует сниженный порог судорожной готовности прилежащей к каверноме коры.
В НИИ нейрохирургии электростимуляция коры служит рутинным методом при удалении образований, расположенных в функционально значимых областях (рис. 57).

Рис. 56. Планирование доступа к небольшой кавернозной мальформации (0,5 см в диаметре) правой лобной доли с использованием МР-навигации. А, Б – МРТ до операции, режимы Т2 и Т2*, аксиальная и фронтальная проекции. В, Г – реконструированные по данным предоперационного пакета МРТ данные для МР-навигации, планирование доступа. Зеленым цветом отмечена КМ, оранжевым – базальные ядра, фиолетовым – боковой желудочек. Д – небольшая (2,5 см в диаметре) трепанация для доступа к КМ. Е – МРТ после операции, режим Т2

Рис. 57. Биполярный электрод для прямой интраоперационной стимуляции коры (А, Б)
При операциях по поводу каверном во всех случаях оценивали двигательную реакцию и М-ответ при стимуляции поверхностной коры и стенок полости после иссечения мальформации. В ряде наблюдений под контролем стимуляции выполнялось частичное иссечение измененных перифокальных участков мозга. Ни в одном случае двигательных нарушений после операции не отмечено.
Приводим наблюдение.
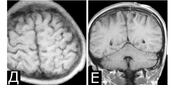
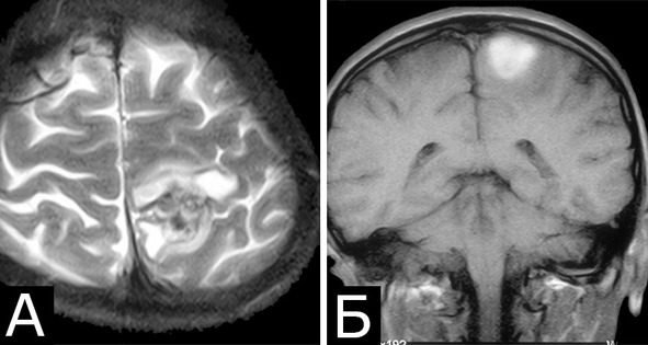
Больной Д., 17 лет (рис. 58).
Клинический диагноз: КМ задней центральной извилины слева. Состояние после кровоизлияния. Симптоматическая эпилепсия.
Течение заболевания и обследование: Начало заболевания за 2 месяца до госпитализации в виде тонических судорог в правой ноге. В течение последующих двух месяцев – около 20 аналогичных приступов. При МРТ выявлена КМ в области центральных извилин слева с признаками кровоизлияния (А, Б). При ЭЭГ – диффузная эпилептиформная активность с акцентом слева. При поступлении очаговая неврологическая симптоматика отсутствует.
Операция: После вскрытия ТМО при прямой стимуляции коры идентифицированы зоны «ноги» и «руки» (В). Энцефалотомия выполнена в соответствии с полученными данными. КМ удалена единым блоком (Г – этап удаления КМ). Выполнена частичная резекция измененного кровоизлияниями мозгового вещества. Резекция зоны глиальной гиперплазии вблизи от зоны ноги не проводилась.
Послеоперационное течение: В послеоперационном периоде нарастания неврологической симптоматики не было. При осмотре спустя 3 года после операции очаговой неврологической симптоматики нет. Сохраняются редкие парциальные приступы в виде тонических судорог в правой ноге. По данным МРТ, КМ удалена полностью (Д, Е). Рекомендован дальнейший постоянный прием антиконвульсантов.
Электростимуляция ядер ствола мозга с регистрацией М-ответов с соответствующих мышц лица и головы по существу аналогична описанному выше методу (рис. 59).

Рис. 58.I. Электростимуляция моторной коры на операции

Рис. 58.II. Электростимуляция моторной коры на операции

Рис. 58.III. Электростимуляция моторной коры на операции. Объяснения в тексте

Рис. 59. Стимуляция ядер ствола мозга с регистрацией моторного ответа при удалении кавернозной мальформации ствола на уровне моста. А – расположение регистрирующих электродов на лице больного. Б – стимулирующий электрод на дне IV желудочка
Многие хирурги, выполняющие операции по поводу КМ ствола, используют этот метод для улучшения ориентировки в ходе операции, и сохранения функции ядер черепно-мозговых нервов (27, 254). Помимо электростимуляции, в некоторых клиниках используется также метод интраоперационной регистрации стволовых вызванных потенциалов (254). Применение этих методов при удалении КМ ствола мозга детально описано в соответствующем разделе.
Электростимуляция моторных путей применяется также при удалении каверном спинного мозга (136, 168).
Электрокортикография (ЭКоГ). У больных с эпилептическим синдромом в определенных случаях целесообразно использование интраоперационной ЭКоГ (см. также главу 11, раздел «Одиночные КМ больших полушарий корковой и субкортикальной локализации). ЭКоГ выполнена нами у 45 больных. Регистрацию осуществляли посредством монополярных отведений на 10-канальном электроэнцефалографе фирмы «Nihon Kohden» с помощью специальных кортикографических электродов-полосок, имеющих различное количество контактов: 2, 4, 8 (рис.60). Использованы стандартные установки фильтров (0,3/35), частота опроса 100Гц. Запись проводили на компьютере с помощью программы «Нейрокартограф» (МБН, Россия). Недостатками метода следует признать низкое временное разрешение, субъективность при оценке результатов.

Рис. 60. Восьмиконтактный электрод-полоска для интраоперационной ЭКоГ (А, Б)
Техника и результаты хирургических вмешательств при кавернозных мальформациях различной локализации изложены в соответствующих разделах (глава 11).