Автор книги: Марк Солмс
Жанр: Биология, Наука и Образование
Возрастные ограничения: +16
сообщить о неприемлемом содержимом
Текущая страница: 4 (всего у книги 24 страниц) [доступный отрывок для чтения: 6 страниц]
Мою работу в этой междисциплинарной области горячо поддержал Эрик Кандель, с которым я познакомился в 1993 г. Кандель выделяется среди обычных нейробиологов тем, что высоко ценит Фрейда. Более того, первоначально он собирался учиться на психоаналитика, но его отговорил Эрнст Крис – ведущий психоаналитик того времени и отец подруги Эрика Канделя. Кандель не скрывает, что старик счел его склад личности неподходящим для работы в области клинической психиатрии, и я думаю, что он благодарен Крису, направившему его вместо этого на путь исследований мозга.
Через пять лет после того, как я с ним познакомился (и за два года до того, как он получил Нобелевскую премию), Кандель опубликовал статью под названием «Новая интеллектуальная концепция психиатрии» (A new intellectual framework for psychiatry), в которой доказывал, что психиатрия XXI в. должна основываться на интеграции нейробиологии с психоанализом{73}73
Kandel (1998).
[Закрыть]. В следующей статье он писал: «Психоанализ по-прежнему представляет собой самый непротиворечивый и интеллектуально убедительный взгляд на психику»{74}74
Kandel (1999), p. 505.
[Закрыть]. Это мнение совпало с моим: при всех своих недостатках, на данный момент психоанализ дает наилучшую концептуальную отправную точку для того, чтобы рассмотреть субъективность с научной точки зрения.
Поэтому неудивительно, что Кандель принял мое приглашение войти в учредительный редакционный совет журнала «Нейропсихоанализ» вместе со множеством других ведущих нейробиологов и психоаналитиков, согласившихся, что нашим дисциплинам стоит пойти по этому пути{75}75
В число нейробиологов вошли: Аллен Браун, Джейсон Браун, Антонио Дамасио, Витторио Гальезе, Николас Хамфри, Эрик Кандель, Марсель Кинсбурн, Жозеф Леду, Родольфо Льинас, Георг Нортхофф, Яак Панксепп, Майкл Познер, Виланаюр Рамачандран, Оливер Сакс, Тодд Сактор, Даниэль Шактер, Карло Семенца, Тим Шаллис, Вольф Зингер и Макс Фельманс. Психоаналитики: Питер Фонаги, Андре Грин, Ильза Грубрих-Шимитис, Отто Кернберг, Марианна Лёйцингер-Болебер, Арнольд Моделл, Барри Опатоу, Аллан Шор, Теодор Шапиро, Риккардо Штейнер и Даниель Видлёгер.
[Закрыть]. Через год, на заре нового столетия, мы основали Международное общество нейропсихоанализа, первыми сопредседателями которого стали Яак Панксепп и ваш покорный слуга. Это событие совпало с учредительным конгрессом общества, и с тех пор конгресс проводится ежегодно в различных городах мира. Темой первого мероприятия были эмоции. Проходило оно в Королевском хирургическом колледже Англии, докладчиками на пленарном заседании были Оливер Сакс, Яак Панксепп, Антонио Дамасио и я сам.
Я уже упоминал о своей дружбе с Оливером Саксом. Упоминал я и книгу Яака Панксеппа «Аффективная нейробиология» (Affective Neuroscience), название которой напоминает о том, что когнитивная нейробиология уделяла недостаточно внимания аффекту (специальный термин для обозначения чувств). Ознакомившись с ней, я установил с Панксеппом тесное научное сотрудничество, благодаря которому в последующие 20 лет центр внимания моих исследований решительно сместился от коры к стволу мозга. Я глубоко обязан ему тем, что он указал мне путь к научным прозрениям, о которых я расскажу на следующих страницах. Вот почему моя книга посвящена его памяти.
С работами Антонио Дамасио и его супруги Ханны Дамасио я познакомился, когда учился на нейропсихолога. Они были уважаемыми нейробиологами-когнитивистами, и их учебник «Анализ повреждений в нейропсихологии» (Lesion Analysis in Neuropsychology, 1989) оказался незаменимым для моего исследования сновидений. Тем не менее мировую известность Дамасио принесла его книга «Ошибка Декарта» (Descartes' Error, 1994) – обращенный к представителям когнитивной нейробиологии пламенный призыв уделять больше внимания аффекту.
Панксепп и Дамасио также сыграли видную роль в работе XII Международного конгресса по нейропсихоанализу 2011 г., который стал поворотным моментом для этой дисциплины, – он проходил в Берлине, и темой его был воплощенный мозг. Кроме них, на пленарном заседании выступали Бад Крейг и Витторио Гальезе – два ведущих мировых специалиста по этому вопросу. Моя традиционная роль на этих конгрессах – давать заключительные комментарии, которые подводят итог докладов по основным темам и, что самое важное, объединяют представленные нейробиологическую и психоаналитическую точки зрения. На том мероприятии мне выпала необычайно сложная задача.
Первой причиной затруднения стало то, что на конгрессе Дамасио ожесточенно сцепился с Крейгом из-за вопроса, как в мозге возникает ощущение «себя». Хотя оба ученых сходились в том, что чувство самости зарождается в областях мозга, отслеживающих внутреннее состояние тела, Дамасио – вслед за Панксеппом – принял точку зрения, что эти механизмы, по крайней мере частично, располагаются в стволе мозга. Крейг, напротив, утверждал, что они размещаются исключительно в коре, а именно в передних островках. Это разногласие было достаточно легко разрешить в моем заключительном комментарии, так как Дамасио представил убедительные данные на примере пациента, у которого оказалась полностью уничтожена островковая кора. Об этом пациенте я расскажу в следующей главе.
Гораздо труднее оказалось преодолеть крупное противоречие, возникшее в ходе конгресса, между новыми взглядами Панксеппа и Дамасио с одной стороны и старыми воззрениями Фрейда – с другой.
Пациент Дамасио, лишенный островковой коры, «сообщал о чувстве голода, жажды и желании опорожниться и вел себя соответственно»{76}76
Damasio, Damasio and Tranel (2013).
[Закрыть]. Это примеры того, что Панксепп именует гомеостатическими аффектами – то есть аффектами, регулирующими жизненно важные потребности организма. Фрейд называл их влечениями и считал источником психической энергии, движущей силой психического механизма. Для обозначения той части психики, которая выполняет эти жизненно важные функции, Фрейд использовал общий термин id, или «Оно»:
Оно, отрезанное от внешнего мира, имеет свой собственный мир восприятия. С исключительной тонкостью Оно обнаруживает происходящие внутри него определенные изменения, особенно колебания напряженности инстинктивных потребностей, и эти изменения проявляются в сознании как ощущения удовольствия-неудовольствия. Разумеется, трудно сказать, посредством чего и при помощи каких сенсорных органов возникают эти восприятия. Но является установленным фактом, что самовосприятия – кинестетические ощущения и ощущения удовольствия-неудовольствия управляют ходом событий в Оно с деспотической силой. Оно руководствуется непреклонным принципом удовольствия{77}77
Freud (1940), p. 198 (рус. изд.: Фрейд, 2017a, с. 3).
[Закрыть].
Моя научная задача, как вы помните, состояла в том, чтобы перевести подобные метапсихологические категории на язык анатомии и физиологии и тем самым интегрировать подход Фрейда в нейробиологию. Но тут я наткнулся на серьезное противоречие классической концепции Фрейда: он пришел к выводу, что «Оно» бессознательно. Это было одно из его самых фундаментальных представлений о том, как работает психика. Мне было ясно, что область мозга, измеряющая количество «работы, которая требуется от психики вследствие ее связи с физическим» – область, порождающая то, что Фрейд называл влечениями, а это синоним гомеостатических аффектов Панксеппа (запускающих ПОИСКОВЫЙ механизм желаний), – расположена в стволе и гипоталамусе (рис. 1). Это и есть часть мозга, подчиняющаяся принципу удовольствия. Но как ощущение удовольствия может быть бессознательным? Мы уже убедились на примере пациента Дамасио, что влечения, такие как голод, жажда и желание сходить в туалет, ощущаются нами. И это естественно. Однако Фрейд настаивал, что «Оно» – средоточие влечений – бессознательно. Он усвоил ту же классическую доктрину, что и Крейг (как и я сам, по крайней мере, поначалу), и потому помещал сознание в кору головного мозга. Вот что он писал в статье 1920 г., которую я уже цитировал выше и в которой он выражал надежду, что недостатки его теорий будут устранены, как только мы сумеем заменить психологические категории физиологическими и химическими:
Так как сознание есть главным образом восприятие раздражений, приходящих к нам из внешнего мира, а также чувств удовольствия и неудовольствия, которые могут проистекать лишь изнутри нашего психического аппарата, системе W – Bw [Wahrnehmung – Bewusstsein, «восприятие – сознание»] может быть указано пространственное местоположение. Она должна лежать на границе внешнего и внутреннего, будучи обращенной к внешнему миру и облекая другие психические системы. Мы, далее, замечаем, что с принятием этого мы не открыли ничего нового, но лишь присоединились к анатомии мозга, которая локализует сознание в мозговой коре, в этом внешнем окутывающем слое нашего центрального аппарата. Анатомия мозга вовсе не должна задавать себе вопроса, почему, рассуждая анатомически, сознание локализовано как раз в наружной стороне мозга, вместо того чтобы пребывать хорошо защищенным где-нибудь глубоко внутри{78}78
Freud (1920), p. 24 (рус. изд.: Фрейд, 1925, с. 57–58), курсив М. Солмса.
[Закрыть].
На случай, если возникнут какие-либо сомнения в том, что, согласно Фрейду, все сознание (включая чувства удовольствия и неудовольствия) локализовано в коре, приведу еще одну цитату:
Процесс проникновения чего-либо в сознание прежде всего связан с информацией, которую наши органы чувств получают из внешнего мира. Следовательно, с топографической точки зрения это происходит в наружном слое «я». Верно также и то, что мы получаем сознательную информацию изнутри тела – ощущения, которые фактически оказывают более сильное влияние на нашу психическую жизнь, чем внешняя перцепция; более того, при определенных обстоятельствах органы чувств кроме специфической для них информации сами передают ощущения и чувство боли. Однако, так как эти ощущения (как мы называем их в противоположность сознательным восприятиям) исходят от периферических органов, которые мы рассматриваем как удлинения или ответвления кортикального слоя, то мы все еще не выходим за рамки утверждения, сделанного выше. Единственное отличие заключается в том, что по отношению к периферическим органам ощущений и чувств само тело занимает место внешнего мира{79}79
Freud (1940), pp. 161–162 (рус. изд.: Фрейд, 2017a, с. 1), курсив М. Солмса.
[Закрыть].
Очевидно, что, с точки зрения Фрейда, сознательные ощущения в той же мере, что и восприятия, порождаются «я» (той частью психики, которую он отождествлял с корой){80}80
См. также: Freud (1923), p. 26 (рус. изд.: Фрейд, 1924, с. 23; текст после угловых скобок цит. по: Солмс М. Сознательное Ид / Пер. с англ. Ю. Моталовой // Журнал практической психологии и психоанализа. 2020. № 2):
«Я» прежде всего телесно, оно не только поверхностное существо, но даже является проекцией некоторой поверхности. Если искать анатомической аналогии, его скорее всего можно уподобить «мозговому человечку» анатомов, который находится в мозговой коре как бы вниз головой, простирает пятки вверх, глядит назад и управляет, как известно, слева речевой зоной. ‹…› В конечном итоге «я» является производным от телесных ощущений, главным образом от тех, которые берут начало на поверхности тела. Следовательно… его можно также считать психической проекцией поверхности тела.
[Закрыть], а не бессознательным «Оно», которое мне теперь пришлось поместить в ствол мозга и гипоталамус. Казалось, что Фрейд неверно установил функциональные отношения между «Оно» (стволом мозга) и «я» (корой), по крайней мере применительно к чувствам. Он считал, что воспринимающее «я» сознательно, а чувствующее «Оно» бессознательно. Но что, если в своей модели психики Фрейд все поставил с ног на голову?{81}81
Solms (2013) (рус. изд.: Солмс, 2020).
[Закрыть]
3
Миф о коре мозга
В конце 2004 г. нейробиолог Бьерн Меркер сопровождал пять семей, в которых были дети с неврологическими нарушениями, во время недельной поездки в «Мир Диснея» (штат Флорида). Возраст детей был от десяти месяцев до пяти лет. Они катались на разных аттракционах; больше всего им понравился «Мир тесен» ('It's a Small World After All'). Они фотографировались с Микки-Маусом. Ели попкорн, корн-доги и мороженое – может быть, даже переели всего этого, – и в больших количествах пили газировку. Временами казалось, что у них эмоциональная перегрузка; дети часто плакали. Но, несмотря на подобные напряженные моменты, доктора Меркера поразило, что дети, по-видимому, получали удовольствие – им там все нравилось. Однако, если следовать одной из самых основных предпосылок в неврологии, эти дети должны были быть в вегетативном состоянии. Им полагалось быть в одном шаге от комы – они должны были проявлять только автономные функции типа регуляции сердцебиения, дыхания и пищеварения; их моторные реакции должны были сводиться к элементарным рефлексам вроде моргания и глотания.
Меркер подружился с этими семьями за год до поездки, когда присоединился к группе взаимопомощи для опекунов детей, страдающих редким поражением мозга – гидранэнцефалией. С 2003 г. Меркер прочитал более 26 000 электронных писем, которыми обменивались участники группы. Основываясь на теоретических представлениях, он высказал обеспокоенность, что общепринятое мнение, согласно которому такие дети останутся в вегетативном состоянии, может оказаться самосбывающимся пророчеством, обусловленным не столько самой болезнью, сколько тем, что большинство педиатров и неврологов обращаются с подобными пациентами так, словно те ничего не чувствуют. Вот что он сообщает:
Эти дети не только бодрствуют и нередко проявляют живость, но и демонстрируют восприимчивость к окружающей среде в форме эмоциональных либо ориентировочных реакций на происходящие вокруг них события. ‹…› Более того, эти дети подвержены приступам абсансной эпилепсии[6]6
Разновидность эпилептического припадка, состояние, длящееся от нескольких секунд до нескольких десятков секунд, при котором человек как будто «отключается»: не двигается, смотрит в одну точку и не реагирует на раздражители. – Прим. науч. ред.
[Закрыть]. Родители распознают эти провалы в восприимчивости у своих детей и говорят о них в таких выражениях, как, например, «она ушла разговаривать с ангелами», причем родители без труда понимают, когда их ребенок «вернулся». ‹…› Тот факт, что у этих детей бывают подобные эпизоды, кажется весомым свидетельством в пользу того, что они обладают сознанием{82}82
Merker (2007), p. 79. Эти наблюдения подтверждаются более ранним сообщением – см.: Shewmon, Holmes and Byrne (1999).
[Закрыть].
Самое значимое наблюдение Меркера заключается не в том, что пациенты то теряют, то вновь приобретают восприимчивость, а в том, что они демонстрируют восприимчивость к окружающей среде в форме эмоциональных либо ориентировочных реакций на происходящие вокруг них события. Это определяющий признак того, чего, как считается, лишены пациенты в вегетативном состоянии – интенциональности. Вот почему вегетативное состояние определяют также как «бодрствование без реагирования»{83}83
Последующее изложение открытий Меркера – это пересказ его опубликованного доклада (Merker, 2007).
[Закрыть]. По общепринятому мнению, такие пациенты неосознанно регистрируют зрительные, слуховые и тактильные стимулы, однако Меркер наблюдал, как дети выражают удовольствие улыбкой и смехом, а неудовольствие – тем, что капризничают, выгибают спину и кричат, по его словам, «их лица оживляются при выражении этих эмоциональных состояний»[7]7
Цит. по: Солмс, 2020. – Прим. пер.
[Закрыть]. Он наблюдал, как его взрослые знакомые используют эту способность детей реагировать на внешние факторы, чтобы выстроить сценарии игр, которые ожидаемо приводили к реакциям, меняющимся от улыбки к хихиканью, хохоту и сильному возбуждению со стороны детей. Наиболее интенсивно они реагировали на голоса и действия своих родителей и других знакомых, причем выказывали предпочтение одним ситуациям перед другими. Например, детям, по всей видимости, нравились определенные игрушки, мелодии или видеоролики, и они даже проявляли желание, чтобы эти игрушки постоянно присутствовали в их повседневной жизни.
Хотя у разных детей поведение отличалось, некоторые несомненно проявляли инициативу (в пределах своих ограниченных двигательных возможностей) – например, толкали ногами погремушки, подвешенные к специально сконструированной для этого раме, или включали любимые игрушки, нажимая кнопку. Эти виды поведения сопровождались ожидаемыми в данной ситуации признаками удовольствия или возбуждения со стороны ребенка.
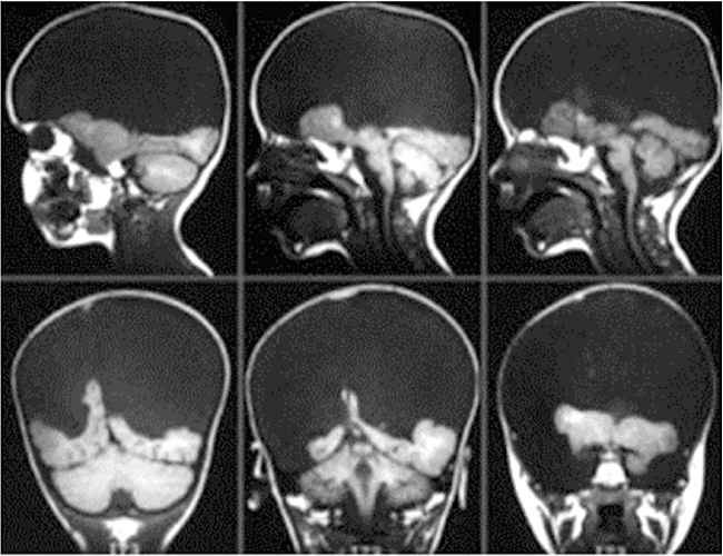
Состояние этих детей явно нельзя назвать вегетативным. Самое поразительное заключается в том, что дети с гидранэнцефалией рождаются без коры головного мозга. Обычно это происходит из-за обширного инсульта на внутриутробной стадии развития, в результате которого передний мозг рассасывается и череп плода заполняется спинномозговой жидкостью вместо мозговой ткани – отсюда название «гидранэнцефалия», что буквально означает «вода вместо мозга». Иллюстрация такого нарушения приведена на рисунке 4 (МРТ-снимок мозга трехлетней девочки, родившейся без коры). Фотографии другой девочки с таким же нарушением, представленные на рисунке 5, демонстрируют ее эмоциональную реакцию в тот момент, когда ей дали подержать маленького братика.

Рис. 4. Снимок мозга трехлетней девочки с врожденным отсутствием коры. Большая темная область внутри черепа – это место, которое должна была занимать отсутствующая ткань

Рис. 5. Реакция девочки с гидранэнцефалией, которой положили на руки младшего брата
Где же в мозге возникает сознание? Последние 150 лет практически универсальным ответом на такой вопрос был следующий: в коре головного мозга. Это единственный пункт, по которому у Фрейда не было разногласий с традицией, преобладавшей в науке о психике в XX в. И тем не менее, если это действительно так, то при отсутствии коры сознание должно исчезнуть. В случае с детьми-гидранэнцефалами этого, по-видимому, не происходит. Все признаки их поведения указывают на то, что такие дети на самом деле обладают сознанием. Они не находятся ни в коматозном, ни даже в вегетативном состоянии.
Так, может быть, следует отказаться от кортикальной теории сознания? Давайте не будем спешить. Одно из возможных возражений состоит в том, что у этих детей кора не была в буквальном смысле удалена (хирургическим путем). Такая процедура называется декортикацией.
Что произойдет, если это сделать? Конечно, подобные экспериментальные операции нельзя провести на детях, но их часто проводят на других новорожденных млекопитающих: например, собаках, кошках и крысах. Результат таких экспериментов всегда один и тот же: если судить по объективным поведенческим критериям, которые обычно используются для определения сознания, оно сохраняется[8]8
По иронии судьбы как раз результаты подобных экспериментов среди прочего повлияли на общественную оценку этичности подобных исследований.
[Закрыть]. Послеоперационное поведение животных, к каким бы натяжкам мы ни прибегали, невозможно описать как «коматозное» или «вегетативное». Меркер пишет, что они не проявляют «резких аномалий поведения, которые позволили бы случайному наблюдателю определить, что они нездоровы». С ним согласен и Антонио Дамасио: «Декортицированные млекопитающие демонстрируют замечательное постоянство последовательного, целенаправленного поведения, которое присуще тем, у кого есть чувства и сознание»{84}84
Damasio and Carvalho (2013), p. 147.
[Закрыть]. Так, крысы, которым сразу после рождения удалили кору, стоят на четырех лапах, поднимаются на задние, лазают, повисают на прутьях клетки и спят в нормальных позах. Они вылизываются, играют, плавают, кормятся и защищаются. Оба пола способны успешно спариваться с нормальными партнерами. Подросшие самки проявляют основные элементы материнского поведения, которое, пусть в некоторых отношениях и неполноценное, позволяет им вырастить детенышей{85}85
Данные приводятся по обзору литературы в работе Меркера (Merker, 2007, p. 74).
[Закрыть].
Дело обстоит еще более странно, чем кажется на первый взгляд. Во многих отношениях декортицированные млекопитающие активнее, эмоциональнее и более чутко реагируют на различные стимулы, чем их нормальные сородичи. Панксепп попросил своих студентов по поведению двух групп крыс определить, которые из них подверглись операции. Студенты, как правило, выбирали нормальных крыс, рассудив, что особи из другой группы (на самом деле декортицированные) «более активные»{86}86
Panksepp (1998).
[Закрыть].
Если мы собираемся придерживаться гипотезы, что кора – вместилище сознания, то эти энергичные животные – и экспрессивные, проявляющие эмоциональные реакции дети, которых наблюдал Меркер в «Мире Диснея», – должны в некотором смысле пребывать в бессознательном состоянии. Как такое возможно?
На этот вопрос существует традиционный ответ. Он заключается в следующем. Есть, так сказать, два мозга, которые дублируют некоторые функции и взаимодействуют друг с другом в определенные моменты, но в остальных отношениях совершенно неодинаковы по статусу. Один из них (кора) связан с психикой и сознанием. Другой (ствол мозга) не связан ни с тем ни с другим. Информация от органов чувств поступает не только в кору, но и, например, в верхние двухолмия ствола[9]9
Речь идет о зрительной информации. Сигналы других модальностей, например слуховой или тактильной, поступают в другие области ствола мозга. – Прим. науч. ред.
[Закрыть] через сеть подкорковых связей (рис. 6). С помощью этих связей сенсорная информация обрабатывается, но происходит это бессознательно. Возьмем, например, знаменитый феномен ложной слепоты, которая возникает при разрушении зрительной коры{87}87
Weiskrantz (2009).
[Закрыть]. Пациенты с этой проблемой способны реагировать на визуальные стимулы, и тем не менее, когда их просят описать, что они «видят», отвечают, что не воспринимают вообще никаких зрительных образов; вместо этого, по их словам, они опираются на внутреннее чутье и таким образом угадывают, где находятся зрительные стимулы, причем угадывают с поразительной точностью. Рассмотрим, например, случай с пациентом Т. Н., описанный нейробиологом Лоренсом Вайнскрафтом: будучи совершенно слепым, то есть полностью лишенным сознательного зрительного переживания, Т. Н. ловко обходил препятствия, размещенные у него на пути в коридоре. Когда его потом расспрашивали, оказалось, что он понятия не имел, что обходит препятствия{88}88
См.: https://blogs.scientificamerican.com/observations/blindsight-seeing-without-knowing-it
[Закрыть]. Эта удивительная способность появилась благодаря тому, что путь от зрительного нерва к верхним двухолмиям мозгового ствола у него был цел, несмотря на отсутствие затылочной коры{89}89
То же относится к пути от глаза к латеральному коленчатому телу (рис. 6).
[Закрыть].
Существование ложной слепоты приводится как аргумент в пользу того, что осознание зрительного восприятия должно происходить в коре, а не стволе головного мозга. Считается, что в стволе «никого нет дома»: это автономная машина, обрабатывающая зрительную информацию так же бессознательно, как видеокамера. Этот принцип применим и к другим чувствам, каждое из которых связано с собственной конкретной зоной осознания в коре, но каждое из которых также передает информацию областям ствола, в которых происходят бессознательные процессы.
У ребенка на рисунке 5 работоспособная кора вообще отсутствует. Если приведенный выше аргумент верен, то девочка, вероятно, ощущает присутствие маленького брата на руках бессознательно, у нее не возникает никакого сознательного восприятия ситуации. Более того, она вообще не должна быть способна ни к каким сознательным переживаниям. Она нечто вроде философского зомби Дэвида Чалмерса. Хотя в определенных отношениях она ведет себя нормально, но, как сказал поэт Томас Пенроуз, внутри сплошная тьма[10]10
Философский зомби – не то же, что голливудский персонаж: это воображаемое человекоподобное существо, которое ведет себя во всех отношениях так, как если бы обладало сознанием, и потому внешне неотличимо от нормального человека, но в действительности лишено внутреннего измерения субъективного опыта.
[Закрыть].

Рис. 6. Здесь показано расположение верхнего двухолмия и затылочной коры, а также их связи с глазами. Аналогичные связи существуют и для других сенсорных модальностей. Отмечено также околоводопроводное серое вещество (ОВСВ), о котором я пока не рассказывал, но о его значении мы вскоре поговорим
В обстоятельном обзоре различных представлений о том, что мы называем сознанием, невролог Адам Земан выделил два главных значения этого понятия: «сознание как состояние бодрствования» и «сознание как переживание»{90}90
Zeman (2001).
[Закрыть]. Впоследствии Антон Коэнен уточнил: «Сознание в первом смысле (как состояние бодрствования) с этой точки зрения необходимое условие для сознания во втором смысле (сознание как опыт или осознанность чувственных переживаний)»{91}91
Coenen (2007), p. 88, курсив М. Солмса.
[Закрыть].
Эти два значения совпадают с традиционным в неврологии разграничением между количественным «уровнем» и качественным «содержанием» сознания. Следовательно, возможно, что декортицированные животные и дети с гидранэнцефалией бодрствуют, но их переживания бессодержательны. Мы уже убедились, что они реагируют на стимулы и проявляют поведенческие инициативы. Тем не менее мы можем поддержать гипотезу, по которой кора служит средоточием сознания как переживания, полагая, что быть в сознании – в поведенческом смысле это значит быть в состоянии бодрствования и реагирования на раздражители – не то же самое, что обладать сознанием в феноменологическом смысле, то есть быть субъектом переживания.
Если вам близки мои взгляды, прочитав все это, вы почувствуете себя довольно неловко. Девочка на рисунке 5 в сознании, если иметь в виду то, что она бодрствует, реагирует и производит собственные целенаправленные движения. В то же время, если «сознание» подразумевает наличие феноменального опыта чувственных переживаний, то она, предположительно, ничем подобным не обладает. Используя другое популярное у философов выражение, у нее нет ничего, что выражало бы то, «каково это» – быть ею[11]11
Имеется в виду способ описания субъективного опыта, предложенный философом Томасом Нагелем в статье «Каково быть летучей мышью?». – Прим. ред.
[Закрыть].
Позвольте пояснить, что меня беспокоит в этой линии рассуждений, пусть даже это прозвучит немного наивно. Если судить по моему собственному опыту, бодрствование, способность реагировать и наличие сознательных переживаний – более или менее одно и то же. Насколько я знаю, мне никогда не случалось бодрствовать и реагировать в отсутствие проявлений сознания. Эти две вещи взаимосвязаны. Как только я просыпаюсь, я осознаю окружающий мир. Более того, даже когда я просто сижу, мое внутреннее сознание ощущает, что является причиной моих реакций на внешний мир, по крайней мере, до некоторой степени. Обычно я целенаправленно реагирую на предмет, когда замечаю его, – то есть осознаю его присутствие. Полагаю, что у вас дело обстоит так же.
Именно поэтому мы оцениваем сознание у пациентов с неврологическими нарушениями исходя из их способности реагировать. Что мы еще можем сделать? В клинической практике мы проводим различие между такими состояниями, как кома, вегетативное состояние и состояние ясного сознания, используя 15-балльную шкалу комы Глазго. Шкала включает тесты для оценки реакций открывания глаз у пациента, его речевых и двигательных реакций в ответ на вопросы и указания врача, а также (при необходимости) на боль{92}92
Не открывает глаза = 1 балл, открывает в ответ на боль = 2 балла, открывает в ответ на речь = 3 балла, открывает произвольно = 4 балла; отсутствие вербальной реакции = 1; нечленораздельные звуки = 2; отвечает словами невпопад = 3; связный ответ, но не по теме = 4; адекватный ответ = 5; отсутствие моторной реакции = 1; поза децеребрации (патологическое разгибание в ответ на болевое раздражение) = 2; поза декортикации (патологическое сгибание в ответ на болевое раздражение) = 3; отдергивание конечности в ответ на боль = 4; определение источника боли = 5; выполнение команд = 6.
[Закрыть]. Если у пациента присутствуют все реакции, мы считаем, что он в сознании, и обращаемся с ним соответственно. Нас не волнует возможность того, что он реагирует так, словно он в сознании, хотя на самом деле он – зомби. Беспокоимся мы совсем о другом: неврологам необходимо учитывать вероятность того, что пациент может внешне не реагировать, но при этом сохранять сознание, например, в случаях полной утраты подвижности, в частности так называемого синдрома запертого человека[12]12
Это состояние характеризуется полным параличом и потерей способности говорить. При этом известно, что у людей с синдромом запертого человека сохраняется ясное сознание, так как они могут научиться взаимодействовать с внешним миром и даже общаться с помощью моргания и движения глаз. – Прим. науч. ред.
[Закрыть].
Что из всего этого следует? Невозможно отрицать, что философская проблема чужого сознания заставляет усомниться, можем ли мы что-либо узнать о субъективных состояниях животных и других людей по их поведению, точно так же как ложь или актерская игра могут ввести нас в заблуждение насчет внутреннего состояния человека. Что проблема чужого сознания не может сделать, так это доказать, что внутреннее переживание и внешние реакции действительно независимы друг от друга. Поскольку наш личный опыт говорит нам, что такая прочная связь несомненно существует, необходимость доказывать обратное, безусловно, ложится на тех, кто намерен утверждать, будто проявления эмоциональных реакций не свидетельствуют о наличии чувственных переживаний. Это то, что обычно требуют правила науки. В особенности это относится к тем случаям, когда мы имеем дело с людьми, которые, какими бы другими неврологическими расстройствами ни страдали, могут, предположительно, во время бодрствования демонстрировать поведение, похожее на обычное, – я имею в виду, благодаря нормальной работе здоровых участков мозга, а не притворству, актерской игре или каким-либо хитроумным трюкам, которых можно ожидать от воображаемых философских зомби.
Из этого вытекают важные последствия для медицинской этики. Моя коллега-психиатр, чей ребенок был с гидранэнцефалией, недавно рассказала мне о страшной дилемме, с которой она столкнулась, будучи молодой матерью. Нейрохирург, лечивший ее ребенка, предложил провести операцию по закрытию родничка без наркоза, так как младенец, лишенный коры мозга, по его мнению, не мог чувствовать боль. Коллега не сказала мне, какое решение было принято, а вопрос был слишком травмирующий, чтобы задавать его. Однако на примере подобных случаев можно видеть, как вроде бы абстрактные теоретические соображения могут в одночасье привести к чудовищным медицинским ошибкам. Поэтому я хочу особо подчеркнуть: если от нас требуется признать, что некто, внешне проявляющий признаки сознания, на самом деле лишен его, нам необходимы для этого чрезвычайно убедительные аргументы. Одного философского сомнения недостаточно. Нам нужны очень веские основания считать, что у таких людей два типа сознания разделены, ведь у нас такого, по-видимому, никогда не бывает.
В настоящее время такие основания обеспечивает кортикальная теория сознания – теория, по которой сознание возникает исключительно в коре. Эта идея стала настолько привычной в поведенческой нейробиологии, что мне никогда не приходило в голову подвергать ее сомнению, до тех пор, пока в связи с моим собственным исследованием сновидений Аллен Браун не привлек мое внимание к таинственной роли мозгового ствола. Опираясь на кортикальную теорию, врачи решают, обращаться ли с живыми пациентами как с мыслящими и чувствующими существами. Например, некоторые опекуны содержат детей с гидранэнцефалией в условиях тяжелой эмоциональной депривации, полагая, что они находятся в вегетативном состоянии. Если теория верна, то это совершенно оправданно: никакой депривации нет, поскольку эти дети – нечто вроде философских зомби. У них есть видимость чувств, но в реальности они ничего не чувствуют. Эта видимость – иллюзия, которую создает проблема чужого сознания. Внешние проявления их поведения обманывают нас, заставляя вообразить, что у них есть какой-то внутренний мир{93}93
Мне также возражали, что эта иллюзия проистекает из «моралистического заблуждения». Когнитивный нейробиолог Хедер Берлин назвала «спорным» предположение, что внешние реакции подразумевают внутреннюю осознанность. Она объясняет (Berlin, 2013, pp. 25–26):
Первоначальное допущение Солмса, что дети с гидранэнцефалией обладают сознанием, необоснованно. Мы не можем утверждать, что если имеется цикл «сон – бодрствование» и выражение эмоций (смех, гнев и т. д.), то это неизбежно предполагает наличие сознания. ‹…› Хотя верно, что они на самом деле могут обладать сознанием, мы не можем утверждать, что они им обладают. Бессознательные процессы могут быть довольно высокоуровневыми и сложными (Berlin, 2011). В основе теории Солмса лежит проекция существования сознания на основании кажущегося осмысленного эмоционального поведения – пример «моралистического заблуждения» (довод, что нечто должно быть правдой, потому что нам станет лучше, если мы в это поверим). Люди обладают естественной склонностью допускать наличие сознания».
Вот что я написал в ответ [Solms, 2013, pp. 80–81; в рус. изд. (Солмс, 2020) этот текст отсутствует. – Прим. пер.]:
Почему мы должны исходить из того, что соответствующие контексту выражения эмоций, которые легко вызываются стимуляцией определенного участка мозга и угасают при повреждении данного участка, которые притом соответствуют аффективным ощущениям у нас самих, не соответствуют аффективным ощущениям у таких детей и животных? Ясно, что подобное предположение будет еще более «спорным», чем мое. Единственное доказательство – то, что эти дети и животные неспособны заявить о своих чувствах словами.
[Закрыть].
Так что же в таком случае представляет собой кортикальная теория сознания и насколько она убедительна?
Первое, что следует отметить, – эта теория начала формироваться очень рано. Повседневные наблюдения, говорящие нам, что наше сознание состоит в основном из чувственных образов событий, происходящих вокруг нас, позволяют предположить, что сознание порождается чувствами. Этот взгляд с позиции здравого смысла, без сомнения, существует с тех пор, как мы стали впервые задумываться о подобных материях. В XVII–XVIII вв. из него выросло философское направление эмпиризма Джона Локка и Дэвида Юма. Они предполагали, что сознание – от рождения чистый лист – приобретает все свои конкретные характеристики благодаря отпечаткам, оставляемым чувственными вибрациями. Эти отпечатки, как предполагалось, будут ассоциироваться друг с другом посредством регулярных сочетаний разного рода{94}94
Так называемый закон ассоциации: по смежности, повторению, вниманию, подобию и пр.
[Закрыть], порождая образы объектов в нашей памяти, которые, в свою очередь, становятся кирпичиками для более абстрактных идей. Последующие чувственные вибрации выводят эти составные образы на передний край сознания, поэтому переживаемое нами – не первичные ощущения, а скорее то, что мы уже успели узнать о мире.
Способ, посредством которого мысли становятся осознанными в ответ на внешний стимул, получил название апперцепции (что приблизительно означает «восприятие настоящего через призму прошлого опыта»){95}95
Апперцепция – «процесс, посредством которого новый опыт ассимилируется с остатком прошлого опыта индивида и трансформируется им, образуя новое единство» (Runes, 1972).
[Закрыть]. Утверждалось, что когнитивные процессы, задействованные в мышлении, такие как представление мысленных образов, обусловлены примерно тем же процессом, но протекающим в обратном направлении: образы памяти активируются изнутри и соответствующим образом перестраиваются (но при этом оказываются более слабыми, чем генерируемые извне).
При всей своей спекулятивности, это философское представление о сознании стало картой, указавшей путь первым неврологам. Когда жившие в XIX в. основоположники современной нейропсихологии пытались установить нейронные корреляты этих процессов, они заметили, что органы чувств связаны с корой, и предположили, что чувственные вибрации проходят по этим соединительным нервам. Кстати говоря, они не упустили того факта, что органы чувств связаны также и с подкорковыми ядрами. Однако они считали само собой разумеющимся, что обширный запас образов памяти, составляющий наше знание о мире, должен размещаться в коре, так как в ней несоизмеримо больше нейронов. Таким образом, апперцепция и связанные с ней идеи, порождающие собственно психическую деятельность, были сочтены явлениями, свойственными коре. Теодор Мейнерт, светило нейроанатомии тех времен, писал так: