Автор книги: Дмитрий Окишев
Жанр: Медицина, Наука и Образование
Возрастные ограничения: +18
сообщить о неприемлемом содержимом
Текущая страница: 4 (всего у книги 10 страниц)
1.10 Заключение
Изучение каверном, как патологического объемного образования головного мозга, ведется с конца XIX века. С середины XX века, после открытия и широкого внедрения в практику МРТ, клиническая медицина получила исчерпывающие сведения о распространенности и естественном течении заболевания. К началу XXI века накоплен значительный опыт по удалению каверном из различных участков головного мозга. Внедрены и широко используются новые вспомогательные до– и интраоперационные методики. Однако открытые вопросы остаются, равно, как и потенциальная возможность улучшить результаты лечения. Появление и внедрение новых методов функциональной оценки состояния мозга, например магнитоэнцефалографии, должно существенно упростить дооперационное планирование и улучшить, в первую очередь, исходы лечения тяжелых форм эпилепсии, связанных с наличием каверномы головного мозга. Не до конца определена тактика по отношению к иссечению зоны перифокального отложения гемосидерина и вторичных эпилептических очагов (интраоперационное использование ЭКоГ). Остается неоднозначным решение о необходимости удаления бессимптомных и проявляющихся минимальной симптоматикой каверном, в особенности расположенных в функционально важных зонах. На текущем этапе, генетические исследования ограничиваются описанием изменений генетического материала и приблизительным описанием механизма действия реплицируемых белков. Между тем, каверномы показали себя, как динамические образования, что косвенно указывает на возможность коррекции процессов, приводящих к их появлению.
Глава 2. Характеристика материала и методов исследования
2.1 Общие сведения
Работа основана на ретроспективном анализе данных обследования и лечения 302 больных с каверномами полушарий большого мозга, прооперированных в институте нейрохирургии им. Н. Н. Бурденко за период с 2002 по 2010 годы. В исследование включены как случаи с гистологически подтвержденным диагнозом «кавернома», так и случаи, когда четкой гистологической верификации диагноза не было, однако, по данным МРТ, типичной клинической картине, интраоперационным данным, сомнений в таком диагнозе не возникало. Всего проанализировано 317 доступных историй болезни (с учетом повторных госпитализаций). Больные, госпитализированные с начала января 2002 по февраль 2009 года анализированы полностью по ретроспективным данным (201 пациент). С февраля 2009 года по декабрь 2010 года набор пациентов для исследования проводился из текущих госпитализаций (101 пациент). Для обеспечения большей выборки, все данные анализировались совместно.
Для обработки информации была создана формализованная база данных в программе Microsoft Office Excel 2010. Для расчета статистических показателей использована программа SPSS Statistics 17. С целью определения соответствия переменной нормальному распределению использовали одновыборочный критерий Колмогорова-Смирнова. Для нормального распределения данные представлены в виде среднего значения ± стандартное отклонение, в прочих случаях указана медиана и процентили (25, 75). В некоторых случаях для удобства описания выборки использованы нестандартные процентили или % от общего числа пациентов. Достоверность различий оценивали с помощью дисперсионного анализа (ANOVA) и двухстороннего t-критерия (для нормального распределения), в иных случаях сравнение и оценка значимости различий проводили с использованием непараметрических методов (U-критерия Манна – Уитни, критерия Уилкоксона, критерия χ-квадрат, точного критерия Фишера, медианного критерия, критерия Круксала-Уоллеса). Ковариаты исключались из анализа при необходимости. Корреляционные взаимосвязи исследовали с помощью оценки коэффициентов ранговой корреляции Спирмана и Кендала. Вероятность р <0,05 считали достаточной для вывода о достоверности различий; при р> 0,05 разницу между величинами расценивали как статистически не достоверную. Анализировали данные анамнеза, до– и послеоперационный неврологический статус, характер припадков, адекватность терапии антиконвульсантами, данные нейровизуализации, данные ЭЭГ. Указанные категории анализировали также на этапе катамнестического осмотра. Оценивали характер вмешательства, некоторые особенности образования, данные ЭКоГ, ультразвукового сканирования, нейронавигации, моторных вызванных ответов и другие параметры.
2.2 Оценка дооперационных временных периодов
Для выявления закономерностей течения заболевания выделены 4 основных дооперационных временных периода: длительность болезни до выявления объемного образования полушарий большого мозга, длительность болезни до операции, период от первого эпилептического припадка до операции, период от верификации наличия образования до операции. Длительность временного периода для конкретного пациента оценивалась одной из следующих категорий.

2.3 Принципы оценки эпилептического синдрома
Классификация эпилептических приступов – один из самых сложных вопросов в неврологии. В 1981 году рабочей группой международной противоэпилептической лиги (ILAE) предложена классификация приступов, получившая мировое признание и широко использующаяся в клинике до настоящего времени [29]. Она включает простые парциальные приступы, сложные парциальные приступы, генерализованные приступы и варианты каждого из классов. Классификация несколько раз пересматривалась с позиции новых знаний о природе эпилепсии, предложены более детальные ее варианты с учетом особенностей заболевания, уточнены некоторые понятия [39, 17]. В 2009 году завершилась работа очередной комиссии ILAE, которая рекомендовала использовать новую классификацию эпилептических приступов и синдромов. В создании новых рекомендаций участвовали ведущие специалисты 14-ти крупных центров со всего мира. Результаты работы опубликованы в 2010 году [17]. По новой классификации к генерализованным относят приступы, возникающие в какой-либо из точек быстро вовлекающейся в приступ и билатерально распространённой нейронной сети, в которую могут быть вовлечены любые нейроны коры и подкорковых структур. Таким образом, локализация и латерализация места начала припадка может быть различна. Фокальные приступы возникают в пределах нейронной сети, расположенной в одном полушарии, иногда включающей подкорковые структуры. От приступа к приступу локализация и латерализация места начала припадка идентичны. Распространение приступа может в большей степени быть выражено в противоположном полушарии. В пересмотре также упрощена классификация генерализованных приступов (таблица 5).

Таблица 5. Классификация эпилептических приступов согласно рекомендациям международной противоэпилептической лиги (2010 год).
Для фокальных приступов невозможно четкое разделение на типы. В рекомендациях указывается, что на данный момент недостаточно данных для разделения фокальных приступов на определенные типы. Для практических целей, однако, достаточно описательной классификации с оценкой возможности изменения или потери сознания. В таблице 6 приведен упрощенный вариант описания фокальных приступов.

Таблица 6. Рекомендуемое описание фокальных припадков согласно рекомендациям международной противоэпилептической лиги (2010 год).
Ранее выделяли три типа эпилепсии по этиологии: идиопатическая, симптоматическая и криптогенная. На настоящий момент данное разделение считается некорректным и предложено выделение генетических, структурно-метаболических и неизвестных эпилепсий. При этом эпилепсия вследствие наличия мальформаций и, в частности, каверном, относится к структурно-метаболической, т.к. мальформация способствует развитию эпилепсии опосредованно. Структурно-метаболическая эпилепсия, вследствие характера воздействующего фактора, вызывает фокальные приступы с возможной генерализацией. Следует признать условность и этой классификации.
Последние нововведения в классификацию носят в основном теоретический и уточняющий характер. С учетом этого, приступы отнесены к одной из следующих категорий: простые фокальные, фокальные с изменением сознания, приступы с генерализацией и полиморфные приступы (простые фокальные, фокальные с нарушением сознания и фокальные с генерализацией, минимум 2 класса приступов в любых сочетаниях). Такая классификация позволяет оценить «тяжесть», приступа, что немаловажно.
Оценка частоты приступов – плохо освещенный в литературе вопрос. В различных работах авторы придерживаются различных интервалов для определения частоты эпилептических приступов. В таблице 7 приведена одна из классификаций, в течение многих лет используемая в отечественной психиатрии [7]. Данную классификацию мы использовали в работе.

Таблица 7. Оценка частоты эпилептических припадков по Ремезовой и соавт.
Оценку проводили за последний промежуток времени, за который пациенту не изменяли схему лечения антиконвульсантами. Для присвоения категорий «редкие» и «очень редкие» был необходим период наблюдения не менее года, для категорий «средней частоты» и «частые» – не менее месяца, для категории «очень частые» достаточно было наблюдения продолжительностью 1—2 недели. Нами использована также категория «ациклические эпилептические приступы» в случае, когда за достаточный интервал наблюдения зафиксированы эпилептические приступы различной частоты. Динамику частоты приступов в виде тенденции к учащению или урежению оценивали там, где это было возможно. При отсутствии припадков до операции более двух лет пациент считался свободным от эпилептических приступов, и оценка отдаленного катамнеза проводилась исходя из этого факта. Для полиморфных приступов отдельно анализировали частоту генерализованных приступов (как в большей степени инвалидизирующих).
2.4 Принципы оценки неврологического статуса
Во всех случаях до и после операции проводили детальную оценку неврологического статуса. Данные интерпретировали согласно модифицированной шкале Rankin (таблица 8) [123, 104]. Следует отметить, что эпилептические приступы – изолированный фактор инвалидизации, влияющий как на повседневную жизнь, так и на трудовую деятельность. Однако, для упрощения последующего анализа, состояние больного по модифицированной шкале Rankin оценивали только исходя из неврологической симптоматики. Анализ эпилептического синдрома проводили отдельно по указанным выше критериям. Категории для сравнительной оценки до и послеоперационного неврологического статуса представлены в таблице 9.

Таблица 8. Модифицированная шкала Rankin.

Таблица 9. Сравнительная оценка неврологического статуса после операции.
2.5 Анализ данных инструментальных методов обследования
МРТ – признанный метод диагностики каверном, обладающий высокой чувствительностью и специфичностью. МРТ выполнена 297 пациентам. Семидесяти одному выполнена КТ. У 5 пациентов было выполнено только КТ. Функциональная МРТ выполнена в 6 случаях, МРТ-трактография (диффузионно-тензорная МРТ) – в 2, КТ-перфузионное исследование – в 2 случаях. Для подробного анализа были доступны снимки 138 пациентов, госпитализированных в подавляющем большинстве с 2007 по 2010 гг., прочие нейровизуализационные исследования анализировались по заключениям рентгенолога. Оценивали количество каверном, локализацию и размер каждой каверномы. В связи с ограниченным количеством полноценных снимков и, как правило, сравнительно небольшим объемом образований, размер устанавливали по наибольшему диаметру с отдельным указанием случаев, когда один из размеров каверномы превосходил другой более чем в 2 раза. Проводили оценку появления каверном de novo и роста каверном. Также устанавливали нейрорентгенологический тип каверномы по классификации Zabramski и соавт. (таблица 10).

Таблица 10. Типы каверном на МРТ по Zabramski и соавт. [138].
Общепринятой классификации каверном по локализации не существует. В данной работе локализацию каверномы оценивали описательно с указанием доли или структуры, в пределах которой она находилась. Помимо этого, все каверномы были классифицированы с учетом глубины расположения и отношения к функционально значимым зонам согласно классификациям, предложенным Frerich и Malik [45, 82]. В указанных работах выделяют 4 группы локализаций: поверхностные (корковые) вне функционально значимых зон, поверхностные (корковые) в пределах функционально значимых зон, глубинные вне витальных центров, глубинные в пределах витальных центров. К категории «витальные» авторы относят колено и заднюю ножку внутренней капсулы, таламус, гипоталамус и ствол мозга. Мы несколько изменили эту классификацию с учетом собственных клинических данных (таблица 11).

Таблица 11. Классификация каверном полушарий большого мозга по локализации.
Дооперационная ЭЭГ вне приступа выполнена 218 больным. Регистрацию ЭЭГ проводили по классической схеме «10—20» в течение 5 минут. В 147 случаях дополнительно выполнены функциональные пробы: гипервентиляция, фото– и фоностимуляция. Оценивалось наличие эпилептиформной активности и «околоэпилептических» феноменов (гиперсинхронный заостренный по форме α-ритм, гиперсинхронный β-ритм, вспышки высокоамплитудных α-, β-, θ-, δ– или полифазных волн с крутыми фронтами). Описание изменений кривой проводилось по международным рекомендациям для описания скальповой ЭЭГ (таблица 12) [6, 79, 80]. В случае наличия регионарной активности, анализировали ее соответствие расположению каверномы. В связи с невозможностью исключения феномена билатеральной синхронизации для больных с эпилептиформной активностью, имеющей билатеральный характер и диффузное распространение на обе гемисферы, такую активность описывали как диффузную.

Таблица 12. Определение локализации ЭЭГ паттернов [6, 79, 80].
2.6 Оценка параметров, связанных с операцией
У 302 больных выполнено 315 операций. Все операции проводились под наркозом с постоянным мониторированием необходимых параметров. В случае проведения ЭКоГ использовали локорегионарную анестезию и поверхностный наркоз диприваном (пропофол). В случае интраоперационной стимуляции коры миорелаксанты использовали однократно на интубации. Положение больного на операционном столе зависело от хирургического доступа. Краниотомия осуществлялась по стандартной методике с использованием пневматического или электрического краниотома. Удаление гематомы или каверномы осуществлялось под операционным микроскопом с использованием микрохирургических инструментов.
Интраоперационную нейронавигацию применили в 22 случаях. Для осуществления интраоперационной навигации использовалась безрамочная система Vector Vision (BrainLab, Германия, допустимое производителем максимальное отклонение при регистрации координатных точек составляет 5 мм).
Интраоперационное ультразвуковое сканирование выполнено в 103 случаях. Для ультразвукового наведения использовалось сканирование в В-режиме с использованием серой шкалы, аппарат B-K Medical Ultrasound Scanner Class I Type B, линейный датчик с сигналом изменяемой частоты (5—8 Гц) и мощности. Исследование проводилось транс– и субдурально.
ЭКоГ выполнена у 45 больных. Регистрация осуществлялась с помощью монополярных отведений на 10-канальном электроэнцефалографе фирмы «Nihon Kohden». Использованы стандартные установки фильтров (0,3/35), частота опроса 100Гц. Запись кривой проводилась на компьютер с помощью программы «Нейрокартограф» (МБН, Россия). Регистрация ЭКоГ проводилась с помощью специальных кортикографических электродов-полосок, имеющих различное количество контактов: 2, 4, 8 (рисунок 1).

Рисунок 1. Восьмиконтактный электрод-полоска для записи ЭКоГ.
У 10 больных интраоперационно оценивали вызванный моторный ответ. Корковую стимуляцию осуществляли с помощью системы Viking-IVP. Для стимуляции использован биполярный электрод фирмы Radionics (США) (рисунок 2), сила тока от 20 до 100 мА, стимулы train 4, частота 500 Гц. Фиксировали двигательную реакцию и М-ответы. Для регистрации ответов устанавливалось 2 электрода: первый на область возвышения большого пальца контралатеральной руки, второй в области мышцы, отводящей большой палец контралатеральной стопы.

Рисунок 2. Биполярный электрод для прямой интраоперационной стимуляции коры.
На этапе после вскрытия ТМО и до энцефалотомии оценивали наличие гемосидероза мягкой и арахноидальной оболочек и поверхностной коры. При анализе способа удаления каверномы учитывали, производилось оно путем фрагментации либо единым блоком. Структуру и плотность каверномы оценивали по категориям, указанным в таблице 13. Также оценивали полноту удаления каверномы и окружающего измененного мозгового вещества, размер каверномы, наличие экстракавернозной гематомы. Оценку кровоточивости проводили по предложенной нами схеме с выделением не значимой, умеренной или выраженной кровоточивости (таблица 14).

Таблица 13. Оценка плотности каверномы.

Таблица 14. Оценка кровоточивости мальформации и окружающего мозгового вещества.
Подробно анализировали все интраоперационные осложнения, повторные операции, ревизии для удаления послеоперационных гематом, необходимость послеоперационного вентрикулярного дренирования, необходимость наложения трахеостомы.
Весь полученный во время операции материал был подвергнут гистологическому исследованию. Во всех случаях выполнено рутинное патоморфологическое исследование: биоптаты фиксировали в 10% забуференном формалине с последующей заливкой материалов в парафин. Полученные срезы толщиной 5 мкм окрашивали гематоксилином и эозином. В единичных наблюдениях для уточнения диагноза проводилось докрашивание биоптатов по Ван-Гизон и Маллори. В нескольких случаях для исключения опухолевой природы образования проведено иммуногистохимическое исследование.
2.7 Методика оценки ближайших результатов хирургического лечения
Оценку неврологического статуса выполняли указанным выше образом. Анализировали послеоперационные осложнения, наличие припадков в послеоперационном периоде, характер рекомендованной терапии. В 252 случаях после операции выполнено КТ.
2.8 Методика оценки отдаленных результатов хирургического лечения (катамнез)
Своеобразие эпилептического синдрома у больных с супратенториальными каверномами заключается в наличии большого количества больных с редкими и очень редкими приступами. Вследствие этого представляется необходимым использование достаточно длительного периода послеоперационного наблюдения для оценки эффективности лечения. Катамнестические данные оценивали у больных, оперированных в институте с 2002 по 2007 год (6 лет). Таким образом, минимальный срок катамнеза превышал 24 месяца.
Из 154 человек, оперированных за указанный период, удалось собрать информацию о состоянии 84 пациентов (54,5%). Средняя продолжительность наблюдения составила 4,6 лет. Оценивали данные МРТ, ЭЭГ, неврологический статус, особенности пароксизмальной симптоматики с анализом по уже указанным выше критериям. Дополнительно отмечали изменение характера приступов. Исход лечения эпилепсии анализировали согласно общепринятой классификации Engel и соавт. (таблица 15).

Таблица 15. Исход лечения эпилепсии по Engel [38].
Предложено большое количество как более детальных, так и упрощенных вариантов комбинированной оценки исходов лечения эпилепсии. Больные с каверномами головного мозга часто страдают от редких и очень редких приступов. Поэтому возникновение даже единичного приступа будет расценено больным как отсутствие улучшения. Определенные ситуации можно отнести сразу к нескольким категориям шкалы. Для упрощенной оценки использовали следующие категории: отсутствие припадков после операции, улучшение (снижение количества или более легкий характер приступов), без изменений, ухудшение (учащение или появление более тяжелых приступов) и появление припадков после операции.
Глава 3. Результаты
3.1 Анализ предоперационного анамнеза и инструментальных исследований
3.1.1 Общие сведения и некоторые анамнестические данные
У 302 обследованных пациентов обнаружено 378 каверном (по 1,25 на пациента). Соотношение больных мужского и женского пола было приблизительно равным: 139/163 (46% и 54%). Средний возраст на момент поступления составил 26,4±13,5. Распределение больных по возрасту на момент поступления было типичным для данной патологии и представлено на диаграмме (рисунок 3). За последние годы количество больных, госпитализированных для удаления каверном, возросло (рисунок 4).

Рисунок 3. Распределение больных с каверномами полушарий большого мозга по возрасту при поступлении.

Рисунок 4. Количество госпитализаций больных с каверномами полушарий большого мозга за период с 2002 по 2010 годы.
Множественные каверномы выявлены у 27 больных, которые в сумме имели 104 каверномы (включая 10 каверном ЗЧЯ, по 3,9 на пациента). В крупных сериях количество каверном на пациента доходило до 5.8—7.1 на пациента [61]. Осуществлено 317 госпитализаций, 307 (96,8%) из них – для удаления каверномы. Из 10 прочих госпитализаций, 1 выполнена для проведения отсроченной костной пластики, в 3 случаях больной был выписан без операции в связи с необходимостью дообследования и лечения в стационарах другого профиля, 1 предшествовала госпитализации для удаления каверномы и осуществлена для удаления медуллобластомы, в оставшихся 5 случаях (50% всех госпитализаций, во время которых не проводили удаление каверномы) больной после АГ был выписан для проведения МРТ вне института, либо по организационным причинам (необходимость получения документов на оплату хирургического лечения). Средняя продолжительность госпитализации составила 16,3±9,4 дней, послеоперационного периода – 10±7,8 дней. Продолжительность госпитализации более двух недель обнаружена в 150 наблюдениях (47,3%). Из них у 84 больных срок дооперационного обследования превышала одну неделю, а у 54 больных срок послеоперационного стационарного наблюдения составила 12 и более дней. Только для половины больных, имеющих послеоперационную задержку в стационаре более 12 дней, удалось установить объективную причину отсрочки выписки.
Средний возраст на момент начала заболевания составил 23±12,8 лет. Распределение возраста начала заболевания было типичным для данной патологии и представлено на диаграмме (рисунок 5).

Рисунок 5. Распределение больных по возрасту манифестации заболевания.
В течение двух лет после манифестации диагноз был поставлен 66% больных (таблица 16). У 34% больных диагноз установлен в более поздние сроки, что может быть объяснено поздним обращением за медицинской помощью, отсутствием или загруженностью имеющегося в регионе МРТ-томографа. Следует напомнить, что задержка обследования и выявления каверномы – фактор худшего исхода лечения эпилептического синдрома.

Таблица 16. Распределение больных по времени от начала заболевания до постановки диагноза.
Хирургические вмешательства по месту жительства до операции в институте проведены 7 пациентам. Из них у 4 больных было выполнено частичное удаление каверномы (в одном случае операция осложнилась развитием крупного ишемического очага с развитием стойкого неврологического дефицита), в двух случаях кавернома не была найдена, у 1 больного выполнена установка вентрикулоперитонеального шунта.
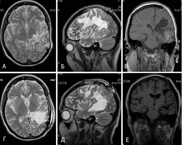
Клиническое наблюдение №1.
Больная Р., 28 лет.
Из анамнеза известно, что пациентка госпитализирована и обследована по месту жительства в 2003 году в связи с эпизодом потери речи. При КТ выявлена гематома в левой височной доле. Выполнено удаление гематомы: во время операции осуществлен доступ к гематоме через латеральную щель, при доступе повреждена и коагулирована неуточненная ветвь СМА. Выполнена широкая декомпрессивная трепанация. За время госпитализации перенесла менинго-вентрикулит. При контрольных КТ и МРТ выявлены данные за объемное образование в задних отделах левой височной доли, кистозно-дегенеративные (постишемические) изменения в левой лобно-теменно-височной области (рисунок 6: А, Б, В). В последующем беспокоили нарушения речи, слабость в правых конечностях, тремор в левых конечностях, головные боли. Беспокоили также учащающиеся полиморфные эпилептические припадки: фокальные в правых конечностях и генерализованные судорожные (3:1).
Частота припадков постепенно нарастала и к моменту поступления в институт приступы происходили несколько раз в месяц. В неврологическом статусе выявлены выраженная сенсорная афазия, умеренный правосторонний гемипарез и правосторонняя гемигипестезия, левосторонний рубральный тремор. В ЭЭГ типичных форм эпилептической активности не выявлено. Выполнена АГ, не выявившая патологической сосудистой сети. 28.07.2009 выполнено удаление каверномы задних отделов левой височной доли и краниопластика. Во время операции выявлен и путем фрагментации тотально удален узел каверномы, осложнений не отмечено. Паталогоанатомический диагноз: кавернозная мальформация. После операции нарастания неврологического дефицита не отмечено. Со слов больной, значительно снизилась выраженность головных болей и тремора в левых конечностях. Рекомендован постоянный прием антиконвульсантов.
Больная дважды (в 2010 и 2011 гг.) являлась для контрольного осмотра. За отмеченный период зафиксирован однократный генерализованный судорожный припадок, прием антиконвульсанта продолжен в прежней дозе. Основной жалобой являются частые головные боли. В неврологическом статусе отмечается некоторое нарастание выраженности тремора в левых конечностях, однако его характер компенсирован и больная способна самостоятельно ходить. При повторных ЭЭГ данных за эпилептическую активность не выявлено. По данным контрольной МРТ кавернома удалена полностью (рисунок 6: Г, Д, Е).
Наблюдение приведено в качестве примера случая, когда больной поступил в институт нейрохирургии для повторного нейрохирургического вмешательства.

Рисунок 6. Больная Р, 28 лет. До– (а, б, в) и послеоперационные (г, д, е) МРТ в Т1 (в, е) и Т2 (а, б, г, д) режимах.