Автор книги: Дмитрий Окишев
Жанр: Медицина, Наука и Образование
Возрастные ограничения: +18
сообщить о неприемлемом содержимом
Текущая страница: 5 (всего у книги 10 страниц)
3.1.2 Течение заболевания
Самым частым симптомом заболевания были эпилептические приступы. У 202 больных (66,9%) эпилептические припадки были первым симптомом заболевания. Неврологический дефицит наблюдался в дебюте заболевания у 49 пациентов (16,2%). Для 47 пациентов (15,6%) начало заболевания связано с эпизодом сильной головной боли. Распределение симптомов, характерных для манифестации заболевания, показано на диаграмме (рисунок 7).

Рисунок 7. Распределение симптомов в дебюте заболевания.
На момент поступления эпилептическими припадками страдали 226 пациентов (74,8%). У 102 (33,8%) больных наблюдался неврологический дефицит. У 29 больных к моменту поступления в институт неврологический дефицит полностью регрессировал. У 19 больных (6,3%) заболевание проявлялось только головными болями, однако, их интенсивность и выраженность послужили поводом для дообследования, в том числе проведения МРТ. У 13 из этих больных на МРТ выявлены признаки кровоизлияний различной выраженности, а у 6 при МРТ не выявлено четких признаков «активности» каверномы.
Как уже сказано выше, эпилептические приступы были самым частым симптомом заболевания. У подавляющего большинства больных наблюдались приступы с генерализацией (180 больных, 79,6%). У 115 больных (50,8%) зафиксированы только приступы с генерализацией. У 22 из них (19,1%) установлено наличие фокального начала («вторичность» генерализации). У прочих больных генерализованный приступ развивался без явных предвестников. Отсутствие четкого фокального компонента было характерно для каверном, расположенных в лобной доле. Среди 69 (30,5%) пациентов с полиморфными приступами у 65 наблюдались припадки с генерализацией. Простыми фокальными приступами страдали 27 человек (11,9%), приступы с изменением сознания отмечались в 15 случаях (6,6%). Распределение больных по характеру приступов представлено на диаграмме (рисунок 8).

Рисунок 8. Распределение больных по характеру приступов.
Частота эпилептических приступов была различной. Единственный приступ перенесли 46 больных (22%). В эту группу попали также больные с коротким анамнезом. Среди больных с повторными припадками выделить какой-либо типичный вариант было затруднительно. Можно, однако, отметить, что очень частые приступы были наименее характерны. Для 14 больных (6,7% случаев) в связи с отсутствием какой-либо цикличности в появлении приступов, определить частотный тип не представлялось возможным. В 16 случаях не было достаточной информации для определения типа приступа. Распределение больных с эпилепсией по типам припадков представлено на диаграмме (рисунок 9).

Рисунок 9. Распределение больных по частоте приступов.
В 78 случаях (34,5% больных с приступами) выявлена устойчивая тенденция к учащению приступов с течением времени.
Общепризнанной причиной развития любой симптоматики при каверномах головного мозга являются кровоизлияния. Их выраженность значительно варьирует, и, во многих случаях, очевидных признаков «большого» кровоизлияния не выявляется. В нашей серии «очевидные» кровоизлияния (выявление каверном I типа на МРТ, крупная экстракавернозная гематома по интраоперационным данным) выявлены в 148 случаях (49,0%, см. анализ данных инструментальных исследований). У 13 (4,3%) больных до операции заподозрена клиника субарахноидального кровоизлияния. У 4-х пациентов САК подтверждено при ЛП. У 3-х – при ЛП и КТ. Из этих больных у 7-и каверномы были расположены на конвекситальной поверхности полушарий, у трех – в мозолистом теле и у двух – имели интравентрикулярную часть. Таким образом, во всех случаях было возможным попадание крови в субарахноидальные пространства.
Клиническое наблюдение №2
Больная М., 14 лет.
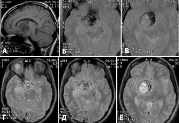
Из анамнеза известно, что в течение нескольких лет пациентку беспокоили головные боли. В октябре 2006 года эпизод сильной головной боли, выраженной общей слабости с подъемом АД до 150/90 (клиническое САК). Осмотрена бригадой скорой помощи, не госпитализирована. В течение недели симптоматика регрессировала. Ухудшение состояния 28.10.2007, когда у больной вновь внезапно появилась головная боль, произошла потеря сознания. Бригадой скорой помощи доставлена в детскую городскую клиническую больницу. Согласно данным медицинского осмотра при поступлении уровень сознания был на уровне глубокого оглушения, выявлялась менингеальная симптоматика, анизокория за D> S, отсутствие фотореакции OD, левосторонний глубокий гемипарез. При КТ от 28.10.2007 выявлено САПК с гематомой в базальных отделах правой лобной и височной долей, гипоталамической области, кровь в латеральной щели, субарахноидальных пространствах справа, смещение срединных структур на 6 мм (рисунок 10: А, Б). Больная переведена в НИИ Нейрохирургии. При поступлении на фоне выраженной общемозговой симптоматики и снижения уровня бодрствования (умеренное оглушение) выявлялся парез III нерва справа, центральный парез VII нерва слева, умеренный левосторонний пирамидный гемипарез. Имелась мягкая орально-стволовая симптоматика. При ТК УЗДГ выявлено умеренное ускорение кровотока по правой СМА. На тотальной ангиографии от 01.11.2007 данных за сосудистую патологию не выявлено (рисунок 10: В, Г). За время пребывания в институте отмечалась значительная положительная динамика в неврологическом статусе. Сохранялись парез III нерва справа, центральный парез VII нерва слева, легкая левосторонняя пирамидная симптоматика. По данным КТ от 31.10.2007 объем гематомы в подкорковых структурах справа и в базальных отделах мозга оставался прежним, сохранялось смещение срединных структур и сдавление желудочковой системы. По данным ультразвукового обследования отмечался регресс вазоспазма. Для продолжения лечения переведена в стационар по месту жительства. Рекомендована повторная АГ через 3—4 месяца.
При повторной госпитализации в НИИ Нейрохирургии в неврологическом статусе сохранялись легкая дисфункция III и VII нервов, небольшое сужение полей зрения по типу левосторонней гомонимной гемианопсии. При повторной ангиографии данных за патологическую сосудистую сеть не выявлено. Больной выполнена МРТ, при которой выявлена кавернома в гипоталамической области и подкорковых узлах справа (рисунок 11). В связи с минимальной неврологической симптоматикой и высоким риском тяжелого неврологического дефицита решено продолжить наблюдение. Рекомендовано МРТ через год.
Больная наблюдалась в течение полугода. Спустя 6 месяцев после выписки на фоне сильной головной боли с последующей быстрой потерей сознания больная погибла, смерть констатирована по месту пребывания (на даче). Вскрытие не проводилось. В связи с анамнезом и быстро развившейся общемозговой симптоматикой можно заключить, что причиной явилось кровоизлияние из каверномы.
Клинический пример демонстрирует возможность тяжелых паренхиматозно-субарахноидальных кровоизлияний из каверномы с возможностью летального исхода.

Рисунок 10. КТ в аксиальной проекции на 4-й день после кровоизлияния (А, Б) и правосторонняя каротидная АГ в прямой и боковой проекции (В, Г). На КТ выявляется гематома в базальных отделах лобной и височной долей, гипоталамической области, кровь в цистернах основания и правой латеральной щели. На АГ данных за патологическую сосудистую сеть не выявлено.

Рисунок 11. МРТ через 5 мес после кровоизлияния в режимах Т1 (А), Т2* (Б, В) и Т2 (Г, Д, Е). А – сагиттальная проекция, Б, В, Г, Д, Е – аксиальная проекция. Выявляется кавернома Ia типа, расположенная в заднелобно-гипоталамической области и подкорковых ядрах справа.
У четырех больных кавернома была случайной находкой (1,3%). Все бессимптомные каверномы были расположены поверхностно, не были связаны с функционально значимыми зонами, возраст больных не превышал 30 лет.
3.1.3 Неврологическая оценка больных при поступлении
Оценку неврологического статуса проводили всем больным. У 229 пациентов (75,8%) какая-либо неврологическая симптоматика отсутствовала. У 73 пациентов (24,2%) при поступлении выявлено наличие неврологических симптомов. Характер неврологического дефицита соответствовал локализации каверномы во всех случаях. У 20 больных неврологический статус по модифицированной шкале Rankin оценивался значением 3 и более (6,6%) (таблица 17). У 84% из этих больных выявлены глубинные и/или расположенные в функционально значимых областях каверномы.

Таблица 17. Неврологическая оценка больных на дооперационном этапе.
3.1.4 Размер и локализация каверном
Каверномы имели различные размеры, варьировавшие от нескольких миллиметров до 9 см (рисунок 12). Средний размер каверномы составил 2,6±1,5 см, медиана – 2,2 [1,5;3,5]. Из анализа были исключены каверномы IV типа ввиду невозможности точно указать размер и отсутствия четких представлений о природе этих образований. Это, скорее всего, явилось причиной несоответствия распределения каверном нормальному (диаграмма на рисунке 13).

Рисунок 12. Крупная кавернома левой лобной доли (до 9 см в диаметре): А – МРТ Т2 взвешенное изображение в аксиальной проекции, Б – МРТ Т1 взвешенное изображение в сагиттальной проекции, В – МРТ Т2 взвешенное изображение во фронтальной проекции, Г – интраоперационная фотография на этапе после вскрытия ТМО, Д – интраоперационная фотография на этапе выделения каверномы en block.

Рис 13. Распределение каверном по размеру.
Несколько преобладали каверномы, расположенные в правом полушарии. Распределение каверном по локализации было типично для данного типа патологии. Чаще всего кавернома располагалась в лобной и височной долях головного мозга (рисунок 14). Среди больных с множественными каверномами у 10 выявлены каверномы задней черепной ямки, две из которых впоследствии удалены.

Рисунок 14. Распределение каверном по локализации.
Доля поверхностных полушарных каверном значительно превышала долю глубинных (таблица 18). Распределение каверном по локализации в соответствии с отношением к функционально важным центрам представлено на таблице 19.

Таблица 18. Распределение каверном по локализации
* – исключены 10 каверном ЗЧЯ

Таблица 19. Распределение больных с учетом локализации каверном в функционально значимых центрах.* – исключены 10 каверном ЗЧЯ
3.1.5 Анализ данных инструментальных исследований
МРТ является основным методом диагностики каверном и выполнено 297 пациентам. Во всех случаях получены Т1 и Т2 взвешенные изображения. В ряде случаев использованы другие МРТ режимы (см. ниже). При оценке структуры каверном по МРТ в соответствии с классификацией Zabramski на материале 138 случаев, доступных для повторного анализа, каверномы I типа выявлены в 38,1%, II – в 44,9%, III – в 5,6% и IV – в 10,6% случаев (рисунок 15). Следует обратить внимание на малое количество больных с каверномами III типа, что может указывать на их низкую клиническую «активность».
Для оценки доли больных с кровоизлиянием сопоставлены различные данные: кровоизлияние считалось установленным при обнаружении на МРТ каверном Ia и Ib типа, при интраоперационном обнаружении крупной экстракавернозной гематомы и при наличии характерных клинических и инструментальных данных в пользу перенесенного САК. Кровоизлияния установлены в 160 случаях для 378 каверном (42,3%), и в 148 случаях для 302 больных (49,0%).

Рисунок 15. Распределение каверном по МРТ типам согласно классификации Zabramski.
Возможности дооперационных методов обследования достаточно широки и к настоящему моменту позволяют поставить диагноз в подавляющем большинстве случаев. В 239 (79,1%) наблюдениях диагноз «кавернома» был очевиден до операции. В 63 наблюдениях (20,9%) не исключалась вероятность другой природы образования: опухоли (в подавляющем большинстве случаев, рисунок 16), гематомы вследствие разрыва микромальформации, тромбированной периферической аневризмы (в единичных случаях, рисунок 17). Наличие гипоинтенсивного кольца на МРТ в режимах T2 и FLAIR, обусловленного продуктами распада крови, является ключевым нейрорентгенологическим критерием для постановки диагноза «кавернома». Именно при его отсутствии возникают сомнения в дооперационном диагнозе и необходимость исключения опухолевой природы образования. На имеющемся материале доля каверном с этим признаком составляла 78,9%.

Рисунок 16. МРТ больного с объемным образованием межжелудочковой перегородки, колонок свода и гипоталамической области, больше слева. Дооперационный диагноз – опухоль. Диагноз «кавернома» поставлен по данным морфологического исследования. А – режим Т2 в аксиальной плоскости, Б – режим Т1 в сагиттальной плоскости, В – режим Т1 во фронтальной плоскости.

Рисунок 17. МРТ больной с каверномой латеральных отделов центральной борозды слева. Дифференциальный диагноз – кавернома или тромбированная аневризма. Патоморфологическое заключение – кавернома. А – режим Т1 в аксиальной проекции, Б – режим Т2 в аксиальной проекции, В – режим FLAIR в аксиальной проекции.
Среди режимов МРТ, которые могут оказать помощь в постановке диагноза, следует отметить МРТ-SWI, функциональную МРТ и диффузионно-тензорную МРТ. МРТ-SWI (T2* [GRE], SWAN и т.д.) основано на выявлении локальных неоднородностей магнитного поля (рисунок 18). Метод позволяет визуализировать даже небольшие очаги кровоизлияний и каверномы IV типа, часто не выявляющиеся при рутинных Т1 и Т2 режимах. Исследование выполнено в 16 случаях. Дополнительно визуализировать каверномы IV типа удалось у 4 человек. Метод дает ценную информацию для диагностики и прогноза, за счет большей чувствительности в выявлении множественных каверном.

Рис. 18. Диагностика каверном при МРТ в различных режимах. А, Б – МРТ в режиме Т2: кавернома глубинных отделов лобной доли справа; кавернома заднелобной области слева. В, Г – МРТ в режиме Т2* (GRE): дополнительно видны многочисленные (8) точечные патологические сосудистые образования (каверномы IV типа или телеангиоэктазии).
При функциональной МРТ оценивается гемодинамическая реакция в зависимости от активности нейронов при функциональной нагрузке (рисунок 19). Картирование этих зон позволяет визуализировать функционально значимые области и, в зависимости от их распространенности и смещения, помогает спланировать хирургический доступ. Исследование выполнено у 6 больных с поверхностно расположенными каверномами. В 4 случаях кавернома располагалась в пределах функционально значимой зоны, в двух – прилегала к функционально значимой зоне. Оценивалась активация ближайших функциональных центров: зона руки, зона ноги, зона Брока и зона Вернике. В связи с выраженными парамагнитными свойствами продуктов распада крови, во всех 6-ти случаях точно оценить близость зоны активации к каверноме было невозможно. Информацию о стороне расположения зоны активации по отношению к каверноме во всех случаях удалось использовать для планирования доступа. Таким образом, несмотря на ограничения метода (см. выше), его можно использовать, когда кавернома находится вблизи от функционально значимого коркового центра (таблица 20).

Рисунок 19. Трехмерная реконструкция МРТ больной с каверномой задних отделов верхней височной извилины слева. Наложена карта активации зоны Вернике (фМРТ, отмечена желтым).

Таблица 20. Использование методики функциональной МРТ в планировании хирургического вмешательства.
При диффузионно-тензорной МРТ возможна визуализация нервных волокон, образующих тракты (рисунок 20). С учетом данных такого исследования можно планировать операционный доступ, прогнозировать возможность восстановления неврологических функций. Исследование было выполнено у 4 больных. Все больные имели каверномы глубинной локализации. Во всех случаях удалось визуализировать проводящие пути. Известным ограничением метода является сложность визуализации проводников при отеке мозгового вещества (у обследованных 4 больных не встречался).

Рисунок 20. МРТ больной с каверномой базальных отделов правого зрительного бугра и среднего мозга. При МРТ-трактографии выявлено оскуднение проводящих путей в правой половине среднего мозга, их смещение кпереди и медиально. А, Б – МРТ в Т2 режиме, аксиальная проекция, В – реконструкция проводящих путей.
Многие авторы в своих работах подтвердили возможность роста каверном и их образования de novo. Следует отметить, что для подтверждения этих явлений необходимы повторные МРТ исследования через достаточный промежуток времени с использованием качественного и идентичного оборудования. В нашей серии больных рост каверномы обнаружен в 5 случаях. У двух пациентов рост каверномы можно было однозначно связать с эпизодами кровоизлияний (рисунок 21), для трех —причина роста не была очевидна.

Рисунок 21. Увеличение размера каверномы предположительно вследствие интракавернозных кровоизлияний, МРТ в динамике. А, Б – исходная МРТ. В, Г – МРТ спустя 1 год. А, В – МРТ в Т1 режиме, аксиальная проекция. Б, Г – МРТ в Т1 режиме, сагиттальная проекция.
Для подтверждения образования каверномы de novo необходимо качественное исходное МРТ исследование, имеющее высокое разрешение. С учетом того, что изменения могли произойти даже с очень небольшой каверномой или каверномой IV типа по Zabramski, необходимо также исходно выполнить МРТ, взвешенное по неоднородности магнитного поля. У трех пациентов из нашей серии можно было предполагать появление каверномы de novo. В одном случае появление каверномы можно связать с курсом лучевой терапии после удаления медуллобластомы. Во втором – появление новой каверномы зафиксировано у больного с семейной формой каверном головного мозга на момент катамнестического осмотра. В третьем случае предпосылок к появлению новой каверномы не было (рисунок 22). МРТ-SWI у этих пациентов не выполнялась.

Рисунок 22. Появление каверномы de novo, МРТ в динамике. А, Б, В, Г – исходная МРТ. Д, Е, Ж, З – контрольная МРТ спустя 2 года. А, Б, Д, Е – МРТ в Т2 режиме, аксиальная проекция. В, Г – МРТ в Т1 режиме, фронтальная проекция. Ж, З – МРТ в Т2 режиме, фронтальная проекция. На рисунках Е и З стрелкой отмечен очаг подострого кровоизлияния (de novo образование каверномы?).
Ангиография для постановки диагноза «кавернома» в большинстве случаев не требуется и проводится при наличии тяжелых кровоизлияний в анамнезе для исключения аневризмы или артерио-венозного шунта. Ангиография также может быть проведена при наличии косвенных признаков АВМ при МРТ исследовании. В нашей серии больных ангиография выполнена в институте 41 больному. В 24 случаях исследование проводили по месту жительства до поступления в институт. Таким образом, ангиография выполнена у 65 больных (20,5%). Ни в одном случае не выявлено патологической сосудистой сети. Следует признать, что на текущий момент ангиография достаточно часто выполняется больным с каверномами. Тем не менее, следует помнить, что эта процедура может сопровождаться тяжелыми осложнениями. Так, в нашей серии у одной больной развилось осложнение после ангиографии, связанное, предположительно, с микроэмболией сосудов вертебро-базилярного бассейна. В неврологическом статусе больной наблюдались мозжечковая симптоматика и нарушения зрения по типу гомонимной гемианопсии, которые не регрессировали впоследствии.
При оценке результатов дооперационной ЭЭГ учитывалось наличие как типичных форм судорожной активности, так и феноменов, трактованных нейрофизиологом, как эпилептиформные. Все записи проведены вне приступа. Исследование проведено 218 больным, 189 из них страдали эпилептическими припадками. В 147 случаях во время обследования дополнительно проведены провокационные пробы. Эпилептиформная активность при фоновой записи выявлена у 110 пациентов из 173 больных с одиночной каверномой и эпилептическими припадками в анамнезе. В 8 случаях патологическая активность обнаружена при провокации. Таким образом, эпилептиформная активность зарегистрирована в 68,2% и не выявлена в 31,8% случаев. Эпилептиформная активность выявлена у 17 больных (58,6%) без эпилептических приступов в анамнезе. У 12 больных (41,4%) без эпилептических приступов в анамнезе эпилептиформная активность не зарегистрирована (таблица 21). Из приведенных данных видно, что электро-физиологические различия между группой пациентов, страдающих эпилепсией, и группой пациентов, не имеющих припадков, отсутствовали.

Таблица 21. Распределение больных с одной каверномой в зависимости от наличия эпилептиформной активности и наличия припадков в анамнезе.
У 96 пациентов (81,4%) активность можно было описать, как регионарную, у 13 (11,0%) – как латерализованную и у 9 (7,6%) – как диффузную. В 5 случаях выявлена регионарная активность в контралатеральном полушарии (в 4 случаях – локализация в лобной доле, 1 – в затылочной доле). У двух больных активность не совпадала с локализацией каверномы и была смещена по ипсилатеральному полушарию (в обоих случаях локализация в лобной доле). Средний возраст в группе больных с наличием эпилептиформной активности достоверно превышал таковой для больных без припадков в анамнезе. Связи наличия активности с продолжительностью заболевания, частотой припадков и фармакорезистентностью не установлено. Так же не установлено связи между наличием патологической активности до операции и исходом лечения эпилепсии.
Четырем больным до операции проведен длительный видео-ЭЭГ мониторинг. Лишь у одного пациента удалось записать паттерн приступа. Для больных с множественными каверномами эпилептиформная активность выявлена в 10 случаях (62,5%). У девяти больных описанная регионарная активность совпадала с локализацией клинически проявившейся каверномы. В одном случае эпилептиформная активность описана как диффузная. ЭЭГ в случае множественных каверном следует признать чувствительным методом, способным выявить клинически активную каверному.