Автор книги: Дмитрий Окишев
Жанр: Медицина, Наука и Образование
Возрастные ограничения: +18
сообщить о неприемлемом содержимом
Текущая страница: 6 (всего у книги 10 страниц)
3.2 Хирургическое лечение пациентов с каверномами полушарий большого мозга
3.2.1 Анамнестические данные, связанные с операцией, локализация удаленных каверном
Для оценки связи длительности болезни и исходов лечения эпилептических припадков, мы анализировали общую продолжительность заболевания, длительность эпилептического анамнеза, и время от момента постановки диагноза до операции (таблицы 22, 23 и 24). В течение двух лет после манифестации заболевания операция выполнена у 59,1% больных. У 40,9% больных операция выполнена спустя 2 года и позднее (таблица 22). В течение двух лет после постановки хирургического диагноза «объемное образование головного мозга» операция выполнена у 83,4% больных. У 16,6% больных – позже указанного срока (таблица 24).

Таблица 22. Распределение больных по времени от начала заболевания до операции.

Таблица 23. Распределение больных по времени от первого припадка до операции.

Таблица 24. Распределение больных по времени от постановки диагноза «объемное образование головного мозга» до операции.
Распределение удаленных каверном по локализации представлено на рисунке 23 и в таблицах 25 и 26.

Рисунок 23. Распределение удаленных каверном по локализации

Таблица 25. Распределение удаленных каверном по локализации
* – исключены 2 удаленные каверномы ЗЧЯ

Таблица 26. Распределение удаленных каверном с учетом локализации в функционально значимых центрах. * – исключены 2 удаленные каверномы ЗЧЯ
3.2.2 Характер оперативных вмешательств
У 302 больных всего выполнено 315 различных операций (таблица 27). Более 1 операции выполнено у 11 больных. У всех оперированных больных с множественными каверномами удалена либо одна самая большая кавернома, либо несколько каверном, включая самую большую. В 299 случаях во время операции удаляли одну каверному. В 4 случаях во время операции удалено 2 каверномы. В 2 случаях во время операции удалено 3 каверномы. В 3 случаях больной оперирован повторно для удаления второй каверномы. В одном случае больной оперирован 3 раза в связи с повторными кровоизлияниями после частичного иссечения крупной глубинной каверномы. Таким образом, у 300 больных выполнено 305 операций по удалению каверном и удалено 311 каверном. В 10 случаях выполнены другие операции. В 2-х случаях операция ограничена восстановлением ликвороциркуляции (микрохирургическая в одном случае и эндоскопическая во втором, см. наблюдение №3). В 2-х случаях отдельным этапом выполнена краниопластика (в первом случае кость удалена после ревизии операционной раны, во втором – вследствие острого вспучивания мозгового вещества). В трех случаях потребовалась ревизия операционной раны с удалением гематомы из ложа удаленной каверномы. У одной пациентки самостоятельным этапом выполнена отсроченная декомпрессивная трепанация. У двух больных кавернома не была найдена при первой операции.

Таблица 27. Распределение больных по характеру выполненных операций. * – В трех случаях отдельным этапом удалена вторая кавернома, в одном случае больной оперирован 3 раза в связи с повторными кровоизлияниями после частичного иссечения крупной глубинной каверномы.
Клиническое наблюдение №3
Б-ная К., 34 года.
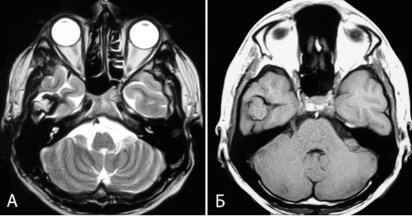
Чемпионка России по академической гребле в юношеской группе. В 2002г появилась интенсивная головная боль, снизилось зрение. Лечилась по месту жительства, КТ, МРТ не производились, выписаны очки. Через 2 месяца зрение восстановилось. В марте 2006г появились легкие нарушения статики и походки. В августе 2006г вновь появилась головная боль и ухудшение зрения. Лечилась с диагнозом «Вегето-сосудистая дистония». 4.09.06 упала на улице, сознания не теряла. 12.09.06 выполнена КТ головы, при которой выявлены множественные объемные образования мозга, выраженная гидроцефалия с перивентрикулярным отеком. Направлена в институт, где при МРТ 25.09.06 выявлены множественные каверномы головного мозга: кавернома правой ножки мозга и таламуса с распространением в III желудочек и частичной окклюзией сильвиева водопровода, признаками кровоизлияния; небольшие каверномы правой лобной доли и левой височной доли (рисунок 24: А, Б, В). При обследовании родственников каверномы также выявлены у отца и дочери пациентки (рисунок 24: Д). 3.10.06 больная госпитализирована в институт. Неврологический статус при поступлении: выраженная общемозговая симптоматика в виде сильной головной боли, заторможенности; мезенцефальные симптомы, экстрапирамидные симптомы в правых конечностях, выраженные нарушения статики и походки.
Учитывая тот факт, что ведущими в клинической картине являются симптомы окклюзионной гидроцефалии, а удаление каверномы среднего мозга и таламуса сопряжено с высоким риском нарастания очаговой симптоматики, 10.10.06 выполнена перфорация дна III желудочка. В ходе операции через эндоскоп была хорошо видна субэпендимальная кавернома (рисунок 24, Г). В послеоперационном периоде отмечен постепенный регресс общемозговых симптомов.

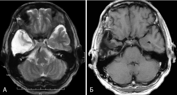
Рисунок 24. А, Б, В – МРТ б-ной К. Диагноз: множественные каверномы (3) головного мозга. А – кавернома полюса правой лобной доли (режим Т2, аксиальная проекция). Б – кавернома ножки мозга и таламуса, окклюзионная гидроцефалия (режим Т1, аксиальная проекция). В – кавернома левой височной доли. Виден также фрагмент каверномы среднего мозга справа (режим Т2, аксиальная проекция). Г – кавернома среднего мозга, вид на эндоскопической операции (премоторный доступ слева): 1 —субэпендимальный фрагмент каверномы в проекции водопровода мозга, 2 – таламусы, 3 – левая гипоталамическая борозда, 4 – эпиталамическая спайка, 5 – межталамическое сращение. Д – МРТ отца больной: субкортикальная кавернома правой височной доли (режим Т2, аксиальная проекция). Катамнез: периодически обращается в институт для контрольного обследования, последнее обращение – 21.09.10. Состояние стабильное, ведет активный образ жизни. Сохраняется мягкая мезенцефальная симптоматика. МРТ – без динамики. Случай демонстрирует возможность успешного лечения связанной с каверномой окклюзионной водянки, путем выполнения шунтирующей операции.
3.2.3 Анализ интраоперационных данных
Для удаления поверхностных каверном, расположенных вне функционально значимых зон, краниотомия осуществлялась по стандартной методике в проекции каверномы на свод черепа. Энцефалотомия выполнялась в месте максимального изменения мозгового вещества и оболочек мозга, либо в глубине ближайшей к каверноме борозды. При удалении каверном, расположенных вблизи корковых функционально значимых центров, доступ планировался исходя из необходимости минимального воздействия на функционально важную зону. Доступы к глубинным каверномам, расположенным вне функционально значимых зон, планировались с учетом кратчайшей траектории при минимальном воздействии на функционально значимые центры. При необходимости использовались межполушарный, базальный подходы и доступ через латеральную щель. Доступы, использованные для удаления глубинных каверном, расположенных в функционально значимых зонах, приведены в таблице 28. Использование того или иного доступа полностью согласовывалось с современными представлениями о хирургии глубинных объемных образований.

Таблица 28. Доступы, использованные для удаления глубинных каверном, расположенных в базальных ядрах и таламусе
Неадекватная для манипуляций краниотомия была отмечена в 3 наблюдениях, в одном из них на завершающем этапе потребовалось выполнение краниопластики ксенотрансплантатом. В двух случаях кавернома не была найдена во время операции. Больные были оперированы повторно с применением нейронавигации (каверномы были найдены и успешно удалены). В 6 случаях возникли сложности с поиском каверномы на этапе после вскрытия твердой мозговой оболочки, вследствие чего потребовалось выполнить несколько энцефалотомий. У двух из указанных 6 пациентов отмечено послеоперационное нарастание неврологического дефекта. Следует отметить, что последние три осложнения (11 операций) были бы исключены при рутинном использовании нейронавигации.
Среди больных с поверхностно расположенной каверномой в 47,9% случаях выявлены изменения мягкой и арахноидальной оболочек и/или поверхностных отделов коры вследствие отложения продуктов распада крови. В прочих 52,1% случаев кора была интактна. Изменение оболочек мозга и поверхностной коры было достоверно связано с наличием припадков в анамнезе.
У 176 больных (62,0%) кавернома была удалена одним блоком. У 86 больных (30,3%) кавернома удалена путем фрагментации. Глубинные каверномы, расположенные в функционально важных зонах, удаляли путем фрагментации почти в два раза чаще, что связано с особенностью хирургии образований этой локализации. Оценка способа удаления каверномы не применима в 25 случаях, когда операция представляла собой удаление гематомы с разрушенными участками сосудистой мальформации.
Кавернозная мальформация, как правило, отчетливо отграничена от мозгового вещества и контроль ее полного удаления не представляется сложной задачей. Затруднения могут возникать в случае глубинного расположения каверномы (из-за узости раневого хода) и при фрагментации каверномы кровоизлияниями. При «безопасной» локализации каверномы дополнительная резекция измененной перифокальной зоны позволяет выявить отдельно лежащие фрагменты, что, однако, невозможно при глубинной или функциональной значимой локализации каверномы. С отдельно лежащими фрагментами можно спутать телеангиоэктазии, в некоторых случаях выявляемые вблизи каверномы в виде небольших розовых образований, однако, их одномоментное удаление также следует признать желательным. В 4-х случаях частичного удаления и во всех 6-и случаях, когда полноту удаления каверномы было невозможно оценить, мальформация располагалась в глубинных структурах. В одном случае каверному, расположенную в области центральных извилин, решено было не иссекать полностью в связи с возможным риском послеоперационного неврологического дефицита.
Иссечение измененного отложениями продуктов распада крови мозгового вещества, окружающего каверному, рассматривается многими авторами, как необходимая мера для улучшения прогноза лечения заболевания, однако манипуляция не всегда возможна. Указанные изменения наблюдаются в подавляющем большинстве случаев при удалении каверном головного мозга. Выраженность изменений значительно различается от небольшого изменения цвета перифокальной ткани, до грубых постгеморрагических изменений (рисунок 25). В таблице 29 приведена оценка степени резекции перифокального измененного мозгового вещества. В 41,9% случаев выполнена резекция измененного мозга до визуально «здоровой» мозговой ткани. В 17% случаев в связи со значительным объемом измененной ткани либо в связи с прилежащей функционально важной зоной, измененную мозговую ткань резецировали частично. Иссечение измененной мозговой ткани не проводили в 37,2% случаев. Процедура не проводилась в случае глубинно расположенных каверном, связанных с высоко функционально значимыми зонами. Иссечение измененного мозгового вещества у больных с каверномами, расположенными в функционально значимых корковых центрах, выполнено 22% случаев. При локализациях, не связанных с функционально важными зонами, полное иссечение постгеморрагических изменений осуществлено в 53% случаях (в 47% случаев оперирующий хирург решил воздержаться от манипуляции по тем или иным причинам).

Таблица 29. Степень иссечения измененного мозгового вещества.

Рисунок 25. Дооперационная МРТ и интраоперационные фотографии. Кавернома правой височной доли. Вокруг каверномы отсутствовало изменение мозговой ткани продуктами распада крови. А – МРТ в режиме Т2*, аксиальная проекция, Б – МРТ в режиме Т2, фронтальная проекция, В – МРТ в режиме FLAIR, сагиттальная проекция, Г – интраоперационная фотография, видна кавернома, Д – интраоперационная фотография, отсутствие изменений перифокальной зоны.
Оценка структуры и плотности каверномы проводилась исходя из операционного описания, выполнена в 57,6% случаев (таблица 30). В большом числе случаев кавернома удалялась целиком и далее не фрагментировалась. В связи с тем, что путем фрагментации чаще удаляются крупные и глубинные каверномы, данный факт мог существенно повлиять на результаты. В 25% случаев интраоперационно выявлена гематома и фрагменты разрушенной сосудистой мальформации. Чаще всего (55% случаев) выявлялись типичные кавернозные мальформации, состоящие из каверн различного размера, связанных рыхлой соединительной тканью. Плотные каверномы, и каверномы, содержащие в своей структуре кальцификаты, выявлялись также часто: в 15% и 16% случаев соответственно. В группе плотных петрифицированных каверном возраст самого молодого больного был 1 год, а самого пожилого – 56 лет. Тем не менее, средний возраст для больных с «плотными» каверномами составил 29,5±13,9 (медиана – 29 [20;38]) лет и был достоверно больше возраста для пациентов с типичными мягкими каверномами (статистически значимое различие). Самыми молодыми (средний возраст – 19,7±12,2 лет, медиана – 17 лет [8;29]) были больные, у которых выполнено удаление гематомы с фрагментами сосудистой мальформации. Никакой зависимости плотности каверномы от общей продолжительности заболевания не выявлено. С учетом того, что кавернома считается врожденной патологией, возраст к моменту операции следует признать более чувствительным критерием для установления факта зависимости плотности каверномы от времени. Следует так же отметить, что крупные мальформации чаще имели «плотную» структуру.

Таблица 30. Интраоперационная оценка плотности каверном
Ультразвуковое сканирование в В-режиме использовали у 103 больных. Выполняли как трансдуральное сканирование, так и сканирование после вскрытия ТМО. У 94 больных (91,3%) образование обнаружено и траектория доступа согласована с данными исследования. В 9 случаях (8,7%) четких УЗ-данных не получено и кавернома найдена по доступным анатомическим ориентирам. У 5 из указанных 9 больных размер каверномы был менее 1 см. Средний размер не выявленной каверномы был в два раза меньше среднего размера каверномы, обнаруженной при ультразвуковом сканировании (2,6 и 1,3 см). Высокая чувствительность методики и отсутствие необходимости в специальной предварительной подготовке делает метод незаменимым для быстрой приблизительной оценки локализации образования.
Нейронавигация по данным предоперационного пакета МРТ использовалась в 22 случаях. Чаще методику применяли для планирования доступа к небольшим глубинно расположенным каверномам (средний размер каверномы составил 1,6±1,4 см, рисунок 26). Для удаления каверномы во всех 22 случаях выполнена одна энцефалотомия. Метод позволил найти каверному сразу в 20 наблюдениях. В двух случаях возникли затруднения при поиске каверномы в связи со смещением структур на расстояние до одного сантиметра. Во всех случаях выполнена сравнительно небольшая краниотомия (не более 4 см). Минимальный размер каверномы, найденной при помощи нейронавигации, составил 0,3 см. Метод использовали на двух повторных операциях после неудачной попытки найти каверному. В обоих случаях кавернома легко найдена и удалена. Метод удобен для планирования доступа и первичного поиска каверномы, однако его использование для определения объема резекции измененного мозгового вещества в дальнейшем невозможно в связи со значительным смещением близлежащих структур после удаления мальформации.

Рисунок 26. Пример удаления небольшой каверномы (0,5 см в диаметре) правой лобной доли с использованием МРТ-навигации. А – МРТ в Т2 режиме, аксиальная проекция, Б – МРТ в Т2* режиме, фронтальная проекция. В, Г, Д – реконструированные по данным предоперационного пакета МРТ данные для МРТ-навигации, планирование доступа. Зеленым цветом отмечена кавернома, оранжевым – базальные ядра, фиолетовым – боковой желудочек. Е – небольшая (2,5 см в диаметре) трепанация для доступа к каверноме.
Рисунок 26. Пример удаления небольшой каверномы (0,5 см в диаметре) правой лобной доли с использованием МРТ-навигации. А – МРТ в Т2 режиме, аксиальная проекция, Б – МРТ в Т2* режиме, фронтальная проекция. В, Г, Д – реконструированные по данным предоперационного пакета МРТ данные для МРТ-навигации, планирование доступа. Зеленым цветом отмечена кавернома, оранжевым – базальные ядра, фиолетовым – боковой желудочек. Е – небольшая (2,5 см в диаметре) трепанация для доступа к каверноме.
Стимуляция моторной коры выполнена при локализации каверномы в области центральных извилин у 6 больных и при локализации каверномы в заднелобной области в непосредственной близости от прецентральной извилины у 3 больных (таблица 31). Для одной больной с каверномой крупных размеров, расположенной в базальных ядрах, осуществлена попытка стимуляции пирамидных путей в глубине операционной раны, однако, ответ на стимуляцию получен не был. Во всех случаях оценивалась двигательная реакция и М-ответ при стимуляции поверхностной коры и стенок полости после иссечения мальформации. Реакция на стимуляцию выявлена в 7 наблюдениях и энцефалотомия выполнена согласно полученным данным. В одном случае к моменту завершения микрохирургического этапа наблюдалось снижение М-ответа, что, однако, не повлияло на исход. У четырех больных после удаления каверномы в связи с получением реакции на стимуляцию в глубине операционной раны (стимуляция проводящих путей) полное удаление зоны измененного мозгового вещества не проводилось.

Таблица 31. Описание случаев с использованным во время операции методом стимуляции моторной коры. * – радикальное иссечение измененного перифокального мозгового вещества не проводилось в связи с получением моторного ответа при стимуляции стенок послеоперационной полости.
Клиническое наблюдение №4.
Больной Д., 17 лет.
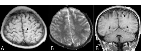
Начало заболевания за 2 месяца до госпитализации в виде тонических судорог в правой ноге. В течение последующих двух месяцев около 20 подобных приступов. Противосудорожной терапии не получал. При ЭЭГ выявлена диффузная эпилептоидная активность с акцентом слева. При МРТ выявлена кавернома в области центральных извилин слева с признаками кровоизлияния (рисунок 27).

Рисунок 27. Клиническое наблюдение №4, МРТ больного Д с каверномой в области центральных извилин слева. А – Т2 режим аксиальная проекция, Б – Т1 режим сагиттальная проекция, В – Т1 режим фронтальная проекция.
Больному выполнено удаление каверномы области постцентральной извилины слева. Во время операции при прямой стимуляции коры выявлены зоны «ноги» и «руки». Доступ согласован с полученными данными. Выполнена частичная резекция измененного кровоизлияниями мозгового вещества: резекция зоны глиотической трансформации вблизи от зоны ноги не проводилась (рисунок 28).

Рисунок 28. Клиническое наблюдение №4. Интраоперационные фотографии. Удаление каверномы области центральных извилин и использованием методики стимуляции моторной коры. А – Картирование двигательных зон. Желтым контуром указана область постгеморрагического изменения оболочек и поверхностной коры. Синим контуром указана выявленная зона «ноги». Зеленая стрелка указывает на зону руки. Красная линия – планируемая энцефалотомия вдоль центральной вены. Б – выделение каверномы. В – полость после удаления каверномы. Стрелкой показано не резецированное в процессе операции измененное мозговое вещество.
В послеоперационном периоде не наблюдалось нарастания неврологической симптоматики. Больной выписан на восьмой день после операции, рекомендован постоянный прием антиконвульсантов.
При катамнестическом осмотре спустя 3 года неврологической симптоматики так же не выявлено. Больного беспокоят редкие парциальные приступы в виде тонических приступов в правой ноге. При МРТ данные за полное иссечение каверномы (рисунок 29). Рекомендован дальнейший постоянный прием антиконвульсантов.

Рисунок 29. Клиническое наблюдение №4. Контрольное МРТ. Стрелками указана небольшая послеоперационная киста. А – Т1 режим, аксиальная проекция, Б – Т2 режим, аксиальная проекция, В – Т1 режим, фронтальная проекция. Наблюдение приведено для демонстрации метода оценки прямой стимуляции моторной коры и пирамидных трактов.
Интраоперационная ЭКоГ проводилась у больных с корковыми каверномами, эпилептическими приступами в анамнезе при локализации каверномы вне функционально значимых корковых центров. Картировалась кора, окружающая каверному (либо проекция каверномы на кору) в радиусе 5 см. Кривая оценивалась в течение 2—5 минут. Исследование выполнено у 45 пациентов. В 18 случаях (40%) патологической активности зарегистрировано не было. В 27 случаях (60%) выявлена зона коры, генерирующая эпилептиформные потенциалы. Во всех случаях зона активности не распространялась далее 2 см от каверномы (проекции каверномы на кору). В 13 случаях (28,9%) предполагаемый очаг патологической активности был иссечен. В случае эпилепсии при локализации каверномы в височной доле следует рассматривать возможность включения медиальных височных структур в эпилептическую систему. У 22 больных выполнено удаление каверномы из медиальных отделов височной доли. В зависимости от выраженности изменений, окружающее мозговое вещество было в большей или меньшей степени резецировано во всех случаях. В шести случаях (из указанных 45 пациентов) дополнительно использован ЭКоГ контроль с оценкой наличия патологической активности с области гиппокампа. В трех случаях по результатам ЭКоГ выполнено дальнейшее иссечение медиальных структур. Методика ЭКоГ обладает рядом недостатков, присущих ЭЭГ: низкое временное разрешение, субъективность результатов. Тем не менее, метод является единственным возможным способом интраоперационной функциональной оценки состояния мозга и, в определенных ситуациях, может существенно повлиять на ход операции.
На основании клинической картины и данных ЭЭГ у 5 больных с неокортикальной височной локализацией каверномы ее удаление дополнено амигдалогиппокампэктомией. Данные наблюдения проанализированы отдельно. Во всех случаях подтверждено наличие патологической эпилептиформной активности с области гиппокампа. Ни в одном из них после операции не зафиксировано неврологическое ухудшение. У всех больных прослежен катамнез. У всех больных отмечен положительный эффект в лечении эпилепсии. У трех из них приступы после операции не повторялись. Эта небольшая серия пациентов демонстрирует высокую эффективность методики амигдалогиппокампэктомии для лечения эпилепсии, связанной с наличием каверномы.
Клиническое наблюдение №5.
Больной Б, 43 года.
Из анамнеза известно, что эпилептические приступы беспокоят в течение 20 лет. С течением времени отмечалось учащение и нарастание тяжести приступов. К моменту госпитализации приступы беспокоили до нескольких раз в неделю. Характер приступов: 1) ауры продолжительностью 2—3 секунды в виде «наплыва» мыслей и воспоминаний, состояние по типу дереализации затем аутомоторный пароксизм с амнезией события, 2) те же приступы с последующим переходом в генерализованный клонико-тонический припадок. Продолжительность приступа неизвестна, так как пароксизмы амнезирует. Принимал различные антиконвульсанты в дозах не менее средней терапевтической с недостаточным эффектом. При МРТ выявлена кавернома правой височной доли (рисунок 30).

Рисунок 30. Клиническое наблюдение №5, МРТ больного в аксиальной проекции. А – режим Т2. Б – режим Т1.

Рисунок 31. ЭЭГ, биполярные отведения. Наблюдаются эпизоды замедления активности (дельта-волны) с острыми потенциалами в лобных областях билатерально и в правой височной области. Отмечается дезорганизация ритма в височных отделах правого полушария.
Выполнен видео-ЭЭГ мониторинг бодрствования и сна: во сне регистрировалась региональная эпилептиформная активность в виде комплексов острая-медленная волна в правой височной области. Также во время сна зарегистрирован сложный по кинематике аутомоторный приступ: больной открывает глаза, смотрит вперед, садится в постели, совершает стереотипные «поглаживающие» движения правой рукой по голове, затем снимает носки, аккуратно откладывает их в сторону, встает, поправляет постельное бельё и ложится спать. Продолжительность приступа 10 минут. После приступа сон, после пробуждения у пациента растерянный вид, события припадка не помнит. Выявить точную локализацию иктальной активности не представлялось возможным (рисунок 31).
Выполнено удаление каверномы правой височной доли в сочетании с передней лобэктомией и амигдалогиппокампэктомией (рисунок 32).
В послеоперационном периоде отмечено появление левосторонней верхнеквадрантной гомонимной гемианопсии, больной выписан на 8-й день, рекомендован постоянный прием антиконвульсантов.
Больной в течение двух лет находится на амбулаторном наблюдении. Беспокоят редкие сложные парциальные приступы. Продолжает принимать антиконвульсанты. При контрольной МРТ подтверждено полное удаление каверномы (рисунок 33). При повторных ЭЭГ данных за эпилептиформную активность не получено.

Рисунок 32. Клиническое наблюдение №5. Интраоперационные фотографии больного Б. Лобно-височная трепанация справа, резецированы передние отделы правой височной доли (1). А – удаление каверномы (2). Б – доступ в полость височного рога бокового желудочка, цифрами отмечены передние отделы гиппокампа (3), хориоидальная щель (4). В – Укладка электрокортикографического электрода (5) вдоль гиппокампа. Г – субпиальная резекция гиппокампа, 6 – твердая мозговая оболочка дна средней черепной ямки.

Рисунок 33. Клиническое наблюдение №5, контрольные МРТ больного Б. в аксиальной проекции. А – режим Т2. Б – режим Т1.
Данный клинический пример демонстрирует эффективность методики амигдалогиппокампэктомии у больного с длительным анамнезом эпилептических припадков, обусловленных наличием каверномы неокортикальной височной локализации.