Автор книги: Дмитрий Окишев
Жанр: Медицина, Наука и Образование
Возрастные ограничения: +18
сообщить о неприемлемом содержимом
Текущая страница: 7 (всего у книги 10 страниц)
3.2.4 Периоперационные осложнения
Удаление каверном полушарий большого мозга, как правило, сопряжено с небольшим количеством интраоперационных осложнений, тем не менее, в ряде случаев хирург может с ними сталкиваться. При этом имеют место неспецифичные для удаления каверном осложнения. Интраоперационные осложнения наблюдались в 15 случаях (4,9% от всех операций по удалению каверном). Общие сведения по интраоперационным осложнениям приведены в таблице 32.
Таблица 32. Интраоперационные осложнения при удалении каверном полушарий большого мозга.

Таблица 32. Интраоперационные осложнения при удалении каверном полушарий большого мозга.
Во всех случаях проводили оценку кровоточивости каверномы и окружающих тканей (таблица 33). Кровоточивость оценена как «выраженная» в 8 случаях (8 каверном у 8 больных). У 6 из этих пациентов удаление каверномы проводилось путем фрагментации (в 4-х случаях – в связи с глубинной локализацией). У 5 больных кавернома имела плотную структуру. У трех из указанных восьми больных до операции была выполнена ангиография, исключившая наличие сосудистой сети. Признаки артерио-венозного шунта не выявлены ни в одном из указанных случаев. В 6 случаях, когда интраоперационно был выявлен артерио-венозный шунт, в процессе удаления каверномы не наблюдалось значимой кровоточивости. Во всех случаях размеры каверномы превышали 2,5 см.

Таблица 33. Оценка степени кровоточивости каверномы и окружающей мозговой ткани.
Таким образом, интраоперационное кровотечение редко сопровождает удаление каверномы. Его можно предполагать в случае удаления крупной каверномы с плотной структурой (как правило, два указанных параметра связаны: крупные каверномы часто имеют плотную структуру). Риск повышенной интраоперационной кровопотери также выше при удалении каверном путем фрагментации, которая часто применяется при удалении глубинно расположенных каверном.
Массивное кровотечение вследствие повреждения синуса зафиксировано в двух случаях. В обоих случаях кровотечение было успешно остановлено. Воздушная эмболия наблюдалась при удалении каверномы теменной доли в положении полусидя. Последствий этого осложнения не отмечено и больной выписан на восьмые сутки.
В трех случаях во время операции наблюдалось кровотечение вследствие повреждения артериального сосуда: в бассейне ПМА, в бассейне ЗМА, ПВА. В последнем случае у неврологически интактного до операции больного после удаления каверномы медиальных отделов левой височной доли развился грубый гемипарез (см. больные с выраженным неврологическим ухудшением).
У одного больного вследствие острого вспучивания мозга неясной этиологии потребовалась декомпрессивная краниотомия с пластикой ТМО. Причиной могло быть затруднение венозного оттока, чему способствовало положение больного на операционном столе: лежа на спине со значительным поворотом головы для доступа к теменно-затылочной области. Впоследствии больному выполнена краниопластика аутокостью. Пациент выписан без значимого неврологического ухудшения.
Следует упомянуть о ряде ранних послеоперационных осложнений, которые не будут отражены в других разделах. Послеоперационные менингиты, потребовавшие дополнительного курса антибиотикотерапии, зафиксированы в 3 случаях. В одном случае после лобно-височной трепанации отмечалась назальная ликворрея, купированная консервативно. У одного больного наблюдался послеоперационный пневмоторакс – осложнение после установки подключичного катетера, потребовавшее дренирования плевральной полости.
3.2.5 Результаты гистологического исследования биопсийного материала
Данные морфологического исследования имелись для всех удаленных образований. Кавернозная мальформация подтверждена в 273 случаях (87,8%). В одном случае выявлена кавернома, сочетанная с АВМ. В одном случае выявлена кавернома и фрагменты ганглиоглиомы в окружающей мозговой ткани. Сгустки крови различной давности либо капсула хронической гематомы выявлены в 21 случае. У двух больных удалены кавернома и гематома. У одного больного, страдающего полиморфными эпилептическими припадками и оперированного дважды, удалены гематомы правой лобной и левой височной доли.

Таблица 34. Результаты гистологического исследования биопсионного материала.
3.3 Результаты хирургического лечения каверном
3.3.1 Ближайшие результаты хирургического лечения каверном
Ближайшие результаты лечения фиксировали на момент выписки. В случае повторных госпитализаций состояние оценивалось на момент последней выписки. Сводные данные по оценке неврологического статуса представлены в таблице 35. Сравнительная оценка до– и послеоперационного неврологического статуса представлена в таблице 36.

Таблица 35. Оценка неврологического статуса на момент выписки по модифицированной шкале Rankin.

Таблица 36. Сравнительная оценка до– и послеоперационного неврологического статуса.
Таким образом, исход можно оценить как благополучный для 264 человек (87,4%) и осложненный для 38 больных (12,6%).
Факторы, которые могли повлиять на неврологические исходы, анализировали изолированно и с учетом ковариат. В таблице 37 представлен анализ взаимосвязи различных факторов с неврологическим исходом лечения.

Таблица 37. Связь различных факторов с возможностью развития послеоперационного неврологического дефицита.
Установлена слабая связь неврологического исхода с возрастом пациента, отмечена повышенная вероятность возникновения как неврологических, так и соматических осложнений (достоверный результат при проверке различия средних, слабая достоверная корреляция). Для группы больных в возрасте 50 лет и старше неблагоприятные неврологические исходы наблюдались в 3 раза чаще, чем для прочих пациентов. Исходы были хуже для более крупных каверном (слабая достоверная корреляция). Эпилепсия в анамнезе, с учетом исключения глубинно расположенных и локализованных в функционально важных зонах каверном, являлась независимым предиктором лучшего неврологического исхода, в отличие от больных без эпилептического синдрома в анамнезе. Данный факт может косвенно подтверждать наличие эпилептической системы, функционально влияющей на прилежащую к каверноме мозговую ткань. Послеоперационный неврологический исход зависел от локализации каверномы. Распределение исходов заболевания в зависимости от локализации каверном представлено в таблице 38 и на рисунке 34. Неврологические исходы для различных функционально значимых корковых центров в порядке убывания частоты возникновения послеоперационного дефекта: зрительная кора, сенсомоторная кора, речевые центры. Из всех неокортикальных локализаций самой чувствительной к развитию послеоперационного неврологического дефицита была затылочная доля, что скорее всего, связано с высокой концентрацией узкоспециализированых зрительных нейронов на относительно небольшой площади коры. Среди всех глубинно расположенных образований наихудшие результаты получены в случаях удаления каверном, полностью или частично расположенных в третьем желудочке, что объясняется близостью свода и гипоталамуса.
Таблица 38. Распределение сравнительных оценок неврологического статуса в зависимости от локализации.

Таблица 38. Распределение сравнительных оценок неврологического статуса в зависимости от локализации. * – исключены исходы лечения двух больных, у которых не выполнялось удаление каверномы

Рисунок 34. Графическое представление относительного риска развития послеоперационного неврологического дефицита для каверном различных локализаций.
Такие факторы, как пол, год операции, длительность болезни до операции, множественность каверном, одномоментное удаление нескольких каверном у одного пациента, правое или левое полушарие, тип каверномы по данным МРТ, верифицированное кровоизлияние в анамнезе и плотность каверномы не оказывали существенного влияния на неврологический послеоперационный исход. Исходы для больных с имеющимся до операции неврологическим дефицитом были хуже, чем для неврологически интактных пациентов. Стоит, однако, подчеркнуть, что как неврологический статус до операции, так и послеоперационный неврологический исходы зависели от локализации. При исключении влияния этой ковариаты, различие теряло статистическую значимость. Иссечение зоны перифокального глиоза не приводило к ухудшению в неврологическом статусе.
Контрольная послеоперационная КТ в ближайшие сроки после операции выполнена у 253 больных, результаты представлены в таблице 39.

Таблица 39. Результаты КТ в ближайшем послеоперационном периоде.
3.3.2 Больные с выраженным неврологическим ухудшением в послеоперационном периоде
С учетом доброкачественной природы заболевания, выраженный послеоперационный неврологический дефицит следует рассматривать как тяжелое и нежелательное послеоперационное осложнение. К больным с выраженным послеоперационным неврологическим ухудшением относили пациентов, у которых после удаление каверномы зафиксировано увеличение оценки по шкале Rankin на 2 балла при оценке по Rankin не менее 3 баллов. Таких пациентов было 12 (таблица 40). Одна пациентка (№13) погибла вследствие возникновения в послеоперационном периоде тяжелого неврологического дефицита, в связи с чем также рассматривается в данном разделе.

Таблица 40. Описание случаев с выраженным неврологическим ухудшением в послеоперационном периоде.

Продолжение таблицы 40. Описание случаев со значительным неврологическим ухудшением в послеоперационном периоде.
Наличие осложнения, необходимость длительного пребывания в отделении реанимации и реабилитационного лечения приводили к значительному увеличению сроков госпитализации: средняя продолжительность госпитализации для указанных больных составила 32,2±27,1 дней (медиана – 24 [19,5;30,5]), средняя продолжительность послеоперационного периода составила – 26,5±24,9 дней (медиана – 20 [15;25]). Максимальный срок пребывания в стационаре составил 120 дней, максимальная продолжительность послеоперационного периода составила – 109 дней (№8).
Для 5 больных потребовалось выполнение дополнительных хирургических операций. У двух больных проводилась ревизия послеоперационной раны для удаления гематомы (№2, 5). У больного №4 дважды выполнялось повторное иссечение частично удаленной каверномы, трижды проявлявшейся массивными кровоизлияниями. В одном случае выполнялась пластика костного дефекта (№5). У больной с множественными каверномами выполнялась пластика лицевого нерва (№10) (осложнение возникло после удаления каверномы ствола).
Доля пациентов с функционально значимо расположенными (глубинными или поверхностными) каверномами среди описываемых составила 69,2% (9 больных). Следует отметить, что во всех случаях локализации каверномы в третьем желудочке, на дооперационном этапе как более вероятная рассматривалась опухолевая природа образования. У 4 из 7 больных с глубинной локализацией каверномы в функционально важной зоне до операции не отмечалось грубого неврологического дефицита и показания для проведения операции были условными. В двух случаях (№8, 13) симптоматика была обусловлена окклюзионной гидроцефалией и возможной альтернативой удалению каверномы была шунтирующая операция.
У трех пациентов выраженное неврологическое ухудшение возникло при благоприятной для операции локализации. В одном случае ухудшение было обусловлено послеоперационной гематомой в объеме до 40 см3, явившейся следствием венозного полнокровия из-за повреждения крупной венозной ангиомы (№2). Выполнена ревизия послеоперационной раны с удалением гематомы. У двух больных кавернома находилась вблизи моторной коры, однако проблемы с ее поиском привели к повреждению пирамидных путей, вследствие чего развился неврологический дефицит (№6, 12).
Следует отметить случай, когда грубый неврологический дефект после удаления каверномы медиальных отделов височной доли был связан с повреждением передней ворсинчатой артерии либо перфорирующих питающих артерий и появлением ишемического очага в подкорковых структурах (Клиническое наблюдение 6).
Клиническое наблюдение №6 (больной №9)
Больной П, 20 лет.
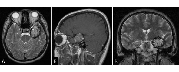
Из анамнеза известно, что в течение трех лет страдал от эпилептических приступов (по типу парциальных и сложных парциальных). Больной обследован по месту жительства, выявлено объемное образование левой височной доли, трактованное как злокачественная опухоль (рисунок 35). Проведено комбинированное адъювантное лечение: облучение (50 Гр) + химиотерапия (6 курсов).

Рисунок 35. Клиническое наблюдение 6. МРТ больного с каверномой медиальных отделов левой височной доли. А – Т2 режим, аксиальная проекция, Б – Т1 режим, сагиттальная проекция, В – Т2 режим фронтальная проекция.
В последующем больной консультирован в НИИ нейрохирургии им. Бурденко, образование трактовано, как кавернома и больному предложено хирургическое лечение. Выполнено удаление каверномы передне-медиальных отделов левой височной доли. Мальформация тесно прилежала к латеральной щели и охватывающей цистерне. С каверномой были тесно связаны сосуды указанных пространств, отделялись по мере фрагментарного удаления каверномы, часть сосудов коагулирована.
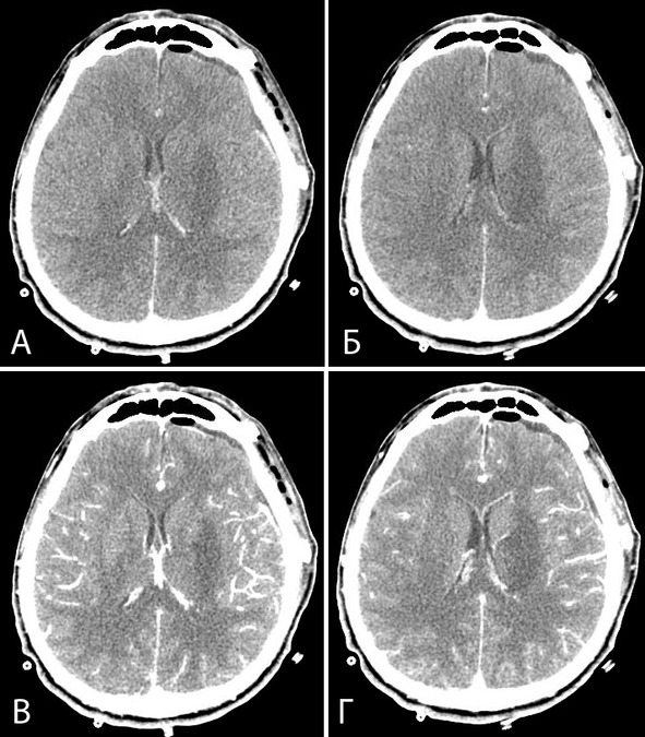
В послеоперационном периоде у больного развилась правосторонняя гемиплегия, тотальная афазия. При КТ данных за геморрагические осложнения не выявлены, выявлен ишемический очаг в подкорковых структурах слева, типичный для повреждения передней ворсинчатой артерии (рисунок 36).

Рисунок 36. Клиническое наблюдение 6. Послеоперационное КТ больного, аксиальная проекция. Виден формирующийся крупный гиподенсивный очаг в области подкорковых структур слева. А, Б – без контрастного усиления. В, Г – с контрастным усилением.
Больной находится под наблюдением в течение двух лет после операции. Эпилептические приступы не повторялись. К настоящему моменту наблюдается некоторое восстановление движений в правых конечностях, однако состояние можно по прежнему оценить как тяжелая инвалидизация (4 балла по шкале Rankin).
Случай демонстрирует возможность тяжелых осложнений хирургического лечения при относительно «благоприятной» для удаления локализации.
Как уже указано ранее одна больная скончалась вследствие возникшего в послеоперационном периоде комплекса тяжелых осложнений (Клиническое наблюдение №7)
Клиническое наблюдение №7 (Больная №13)
Больная Х, 37 лет.
Из анамнеза известно, что в течение года беспокоили головные боли, нарушения памяти, эпизоды гипертермии. При МРТ и КТ выявлено умеренное расширение боковых желудочков, объемное образование третьего желудочка с кальцификатами, трактованное как краниофарингиома, менее вероятным предполагалась кавернома (рисунок 37).

Рисунок 37. Клиническое наблюдение №7. Дооперационные томограммы больной Х. А – МРТ в Т2 режиме, аксиальная проекция, Б – МРТ в Т1 режиме, сагиттальная проекция, В – КТ, фронтальная проекция.
При поступлении в институт в неврологическом статусе отмечалась правосторонняя гомонимная гемианопсия и начальные застойные диски на зрительных нервов.
Выполнено удаление каверномы межжелудочковой перегородки, свода и третьего желудочка. Использован правый передний транскаллезный доступ (рисунок 38). Кавернома имела плотную петрифицированную структуру с крупными кальцификатами, находилась в веществе свода и дна третьего желудочка. Коагулированы обе септальные вены. Образование удалено полностью. После удаления образовался дефект в дне третьего желудочка. Визуализирован ток ликвора из водопровода мозга.

Рис 38. Клиническое наблюдение №7. Интраоперационные фотографии. Правый передний транскаллезный доступ. А – доступ на этапе после каллезотомии. 1 – кавернома в области отверстия монро. Б – Этап удаления каверномы. 2 – кавернома, 3 – отведенная левая передняя мозговая артерия.
В послеоперационном периоде развилась симптоматика выраженного поражения подкорковых структур, диэнцефальной области и ствола мозга. Наблюдалось также нарушение ликвороциркуляции, подтвержденное при повторных КТ (рисунок 39) и потребовавшее длительного вентрикулярного дренирования. К течению болезни присоединился менинго-вентрикулит. На 22-й день после операции на фоне крайне тяжелого состояния больная умерла.

Рисунок 39. Клиническое наблюдение №7. Послеоперационная КТ, аксиальная проекция. Расширение желудочковой системы, пневмовентрикулоцефалия, скопление крови в области задних рогов боковых желудочков. Формирующиеся ишемические очаги в области подкорковых структур.
Патологоанатомическое заключение: Смерть больной наступила на 22-е сутки после операции субтотального «удаления кавернозной мальформации межжелудочковой перегородки, свода и 3 желудочка» и связана с нарушением мозгового кровообращения по смешанному типу в гипоталамусе, зрительных буграх в сочетании с отеком мозга с дислокацией и гипостатической пневмонией.
Наблюдение демонстрирует развитие тяжелого осложнения после удаления каверномы, расположенной в высоко функционально значимой зоне. С учетом того, что ведущим симптомом в клинической картине являлись окклюзионные приступы, возможной альтернативой удалению каверномы было проведение шунтирующей операции.
Катамнестические данные получены для 8 из 12 пациентов. В 5 случаях наблюдалось уменьшение выраженности симптомов. Восстановление наблюдалось у больных с каверномами любых локализаций. Полного регресса симптоматики не было ни в одном случае.
3.3.3 Отдаленные результаты хирургического лечения каверном
Одной из основных задач при удалении каверном полушарий большого мозга является избавление больного от эпилептических приступов. Эпилептический синдром у больных с супратенториальными каверномами может характеризоваться наличием редких и очень редких приступов, либо отсутствием каких-либо закономерностей в частоте припадков. Данный факт обосновывает необходимость достаточно длительного периода послеоперационного наблюдения для оценки эффективности лечения. Катамнестические данные оценивали у больных, оперированных в институте с 2002 по 2007 год (6 лет). Таким образом, минимальный срок катамнеза превышал 24 месяца. Из 154 человек, оперированных за указанный период, удалось собрать информацию о состоянии 84 пациентов (54,5%). Средняя продолжительность наблюдения составила 4,6 года.
Послеоперационные МРТ были предоставлены для 62-х пациентов. В 55 случаях подтверждено полное удаление каверномы (88,7%). В 2 случаях качество выполненного исследования не позволило однозначно трактовать изменения. У 5 больных (8,1%) выявлены остатки каверномы (для всех предполагалось, что удалена вся мальформация). В трех из указанных 5 случаев это были глубинно расположенные, в двух – поверхностно расположенные каверномы. У двух пациентов (один из них – подтвержденный семейный случай) заподозрено появление новой каверномы, однако качество дооперационного МРТ не позволяло утверждать это однозначно.
Из обследованных 84 человек у 67 до операции имелись эпилептические приступы (79,8%). Улучшение было установлено в 54 случаях (78,2%), из них у 43 пациентов (62,3%) припадков после операции не наблюдалось (класс Ia по Engel, таблицы 41 и 42). Из указанных 43 больных 23 прекратили прием антиконвульсантов, в 4 случаях была снижена доза, 16 больных (37,2%) на момент осмотра продолжали прием препарата в прежней дозировке. Среди прочих 11 пациентов с зафиксированным улучшением в течении эпилепсии в 6 случаях улучшение произошло за счет облегчения характера приступа, в 3-х случаях за счет урежения приступов. У 2-х больных наблюдались оба эффекта. У 7 больных какого-либо эффекта в лечении эпилептических приступов достигнуто не было. Учащение приступов после операции отмечено в 6 случаях. В одном случае произошло также утяжеление приступов: к простым фокальным приступам прибавились приступы с генерализацией и клонико-тоническими судорогами. Появление приступов после операции отмечено у двух больных (с каверномой правой теменной доли и с каверномой правой прецентральной извилины). В таблице 42 приведены исходы лечения эпилептических припадков по классификации Engel. Распределение по характеру и частоте приступов для 26 больных, имеющих эпилептические приступы после операции, приведено в таблицах 43 и 44.

Таблица 41. Исходы лечения эпилептических приступов, связанных с наличием каверном полушарий большого мозга.

Таблица 42. Исходы лечения эпилептических приступов, связанных с наличием каверном полушарий большого мозга по Engel.

Таблица 43. Распределение больных по характеру приступов после операции.

Таблица 44. Распределение больных по частоте приступов после операции.
Факторы, которые могли повлиять на исход лечения эпилепсии, анализировались изолированно и с учетом ковариат. В таблице 45 представлен анализ взаимосвязи различных факторов с исходом лечения эпилепсии.

Таблица 45. Связь различных факторов с исходом лечения эпилепсии, обусловленной наличием каверном полушарий большого мозга.
Длительность болезни от момента первого приступа достоверно влияла на лечение заболевания. Исходы лечения эпилепсии были лучше для больных с более коротким анамнезом приступов. Данное различие наблюдается как в тестах сравнения средних, так и при корреляционном анализе (в связи с наличием относительно небольшого количества групп, коэффициент корреляции был невысок и составил 0,3 при p <<0,05). Также установлено, что худшие исходы имеют больные с частыми приступами и наличием более 5 приступов в анамнезе. Достоверно хуже были исходы для больных с фармакорезистентной эпилепсией. Для этих больных улучшение отмечалось в 13 случаях (72,2%), но лишь у 7 больных отмечалось отсутствие приступов после операции (38,8%).
Достоверной связи между исходами лечения эпилепсии и такими факторами, как размер и локализация каверномы, не выявлено, однако, следует отметить наличие тенденций, которые на материале большего объема могут оказаться достоверными (слева направо ухудшение исхода):
1.

2.

3. Исход лечения эпилепсии тем хуже, чем крупнее удаленная кавернома (p=0,085).
ЭЭГ данные собраны для 42 больных. Все больные до операции страдали эпилептическими приступами. Все записи произведены вне приступа. Учитывалось наличие либо отсутствие патологической активности с учетом применения нагрузочных проб. Эпилептиформная активность выявлена в 16 случаях (38,1%). В 26 случаях (61,9%) не зафиксировано никаких эпилептиформных либо эпилептических разрядов. В 15 случаях эпилептиформную активность можно было описать, как регионарную, при этом во всех случаях активность совпадала с локализацией удаленной каверномы. В 1 случае активность описана, как диффузная (генерализованная). Наличие эпилептиформной активности зафиксировано для 11 (61,1%) больных с наличием эпилептических приступов и для 5 (20,8%) больных без эпилептических приступов после операции (таблица 46). Различие между группами было статистически достоверным. Появление достоверной связи между наличием приступов и наличием активности на ЭЭГ в послеоперационном периоде можно объяснить отсутствием дополнительного влияния каверномы в следствие эффекта от наличия объемного образования и исключения возможности кровоизлияний различной выраженности. Отметим также, что в послеоперационном периоде ЭЭГ-обследование выполнено у больных исключительно с эпилептическим синдромом в анамнезе. У трех больных с множественными каверномами после операции эпилептиформной активности не выявлено.

Таблица 46. Распределение больных в зависимости от наличия эпилептиформной активности и припадков после операции.
Сводные данные по оценке неврологического статуса после операции и в отдаленном периоде представлены в таблице 47. Сравнительная оценка до– и послеоперационного неврологического статуса представлена в таблице 48. Характер неврологического дефицита во всех случаях соответствовал локализации удаленной каверномы. Неврологический исход лечения можно оценить как благополучный для 76 человек (90,4%) и осложненный для 8 больных (9,4%). Из 17 больных, у которых ближайшем послеоперационном периоде отмечалось появление новой неврологической симптоматики, у 8 на момент катамнеза неврологической симптоматики не отмечалось (47%). Из 6 больных, у которых зафиксировано выраженное неврологическое ухудшение, у двух пациентов наблюдался регресс симптоматики (в одном случае практически полный).

Таблица 47. Оценка неврологического статуса по модифицированной шкале Rankin после операции и на момент катамнестического осмотра.

Таблица 48. Сравнительная оценка неврологического статуса до операции и на момент катамнеза.
Распределение отдаленных неврологических исходов операций хирургии к моменту катамнестического осмотра в зависимости от локализации каверном совпадало с таковым на момент ближайшей послеоперационной оценки: достоверно более высокие риски развития неврологического дефицита отмечены для каверном, расположенных в глубинных и функционально значимых областях (таблица 49, рисунок 40). Вероятность регресса возникшей после операции симптоматики была характерна для любых локализаций без значимых различий.

Рисунок 40. Графическое представление относительного риска возникновения неврологического дефицита для каверном различных локализаций по данным катамнеза.

Таблица 49. Распределение сравнительных оценок неврологического статуса на период катамнеза в зависимости от локализации.