Текст книги "Общая и частная гистология"
Автор книги: Рудольф Самусев
Жанр: Медицина, Наука и Образование
сообщить о неприемлемом содержимом
Текущая страница: 12 (всего у книги 25 страниц)
9.3. Периферическая нервная система
Периферическая нервная система представлена огромным количеством нервных волокон и периферических чувствительных нервных узлов (ганглиев). Нервные волокна проходят одиночно, а также собираются в более сложные анатомические образования: нервные пучки, стволы и сплетения.
Отдельные нервные волокна объединяются в пучки с помощью волокнистой соединительной ткани. Группа пучков нервных волокон, связанных вместе, образует нервный ствол.
Нервный ствол. В составе нервного ствола могут содержаться мякотные и безмякотные волокна, различные в функциональном отношении, проводящие афферентные и эфферентные импульсы.
Поверхность всего нервного ствола покрыта оболочкой – эпиневрием, состоящим из волокнистой соединительной ткани с большим количеством жировых клеток, кровеносных и лимфатических сосудов.
Каждый пучок, входящий в нервный ствол, окружен оболочкой – периневрием. Периневрий состоит из плотной волокнистой соединительной ткани, образующей пять-шесть концентрических пластинок вокруг нервного пучка. Они выстланы одним слоем уплощенных нейроглиальных клеток. Между пластинками имеются щелевидные периневральные пространства, заполненные жидкостью и сообщающиеся с подоболочечными пространствами головного и спинного мозга. С током жидкости, циркулирующей по периневральным пространствам, переносятся возбудители некоторых заболеваний, например, вирус бешенства. От периневрия отделяются небольшие прослойки рыхлой соединительной ткани – эндоневрий, проникающий между нервными волокнами в пучке.
Спинномозговые и вегетативные узлы. Каждый узел периферической нервной системы окружен соединительно-тканной оболочкой, от которой внутрь его отходят более или менее выраженные прослойки соединительной ткани, богатой кровеносными сосудами. Между этими соединительно-тканными перегородками, образующими остов узла, располагаются его функциональные элементы – нервные клетки и нервные волокна.
Нервные клетки обычно расположены группами, преимущественно в периферических отделах узла. В центре узла преобладают пучки мякотных нервных волокон.
Нейроциты спинномозговых узлов имеют крупное (до 120 мкм в диаметре) округлое или овальное тело с центрально расположенным шаровидным светлым ядром. В цитоплазме расположены комплекс Гольджи (пластинчатый комплекс), митохондрии, эргастоплазма, нейрофибриллы. Кроме того, в ней обнаружены включения пигмента липофусцина.
Тело каждого нейроцита окружено тонкой нейроглиальной капсулой. Между этой капсулой и оболочкой клетки имеются мелкие глиоциты с округлыми ядрами (мантийные клетки, или клетки-сателлиты), являющиеся периферическими олигодендроцитами.
При импрегнации серебром видно, что нейроциты спинномозгового узла – это псевдоуниполярные клетки. От их тела отходит один отросток, который вскоре Т-образно делится на два. Периферический отросток (дендрит) в составе периферического нерва идет на периферию тела или к внутренним органам, где заканчивается рецепторами разного строения.
Нейрит по заднему корешку входит в спинной мозг и делится в нем на ветви, заканчивающиеся на ядрах заднего рога или поднимающиеся в различные отделы головного мозга.
Вегетативные узлы по локализации и функциональному признаку разделяются на симпатические и парасимпатические. Симпатические узлы (пара– и превертебральные) получают преганглионарные волокна от клеток, расположенных в вегетативных ядрах грудных и поясничных сегментов спинного мозга.
Парасимпатические узлы (черепные, экстра– и интрамуральные) состоят из преганглионарных волокон от клеток, расположенных в вегетативных ядрах продолговатого и среднего мозга, а также крестцового отдела спинного мозга. Большинство внутренних органов имеет двойную вегетативную иннервацию, т. е. получает постганглионарные волокна от клеток, расположенных как в симпатических, так и в парасимпатических узлах. В связи с этим реакции, вызываемые клетками симпатических и парасимпатических узлов, часто имеют противоположную направленность.
Тесты и вопросы для самоконтроля
Выберите один или несколько правильных ответов:
1. Какие ядра располагаются в передних рогах спинного мозга?
а) переднемедиальное;
б) заднемедиальное;
в) дорсальное заднее (Кларка);
г) центральное + диафрагмальное ядро (С3—С5);
д) переднелатеральное + ядро добавочного нерва (С1—С6);
е) заднелатеральное;
ж) зазаднелатеральное.
2. Назовите ядра заднего рога спинного мозга:
а) заднемедиальное;
б) краевое ядро;
в) автономные ядра;
г) собственное ядро.
3. Опишите восходящие проводящие пути спинного мозга:
а) пирамидные пучки (корково-спинномозговой) берут начало от крупных пирамидных клеток коры полушарий большого мозга;
б) тонкий (Голля) и клиновидный (Бурдаха) пучки образованы мякотными нервными волокнами, которые являются нейритами псевдоуниполярных клеток;
в) мелкие пути: спинно-покрышечный, восходящий.
4. Опишите нисходящие проводящие пути спинного мозга:
а) пирамидные пути;
б) красноядерно-спинномозговой, покрышечно-спинномозговой;
в) спинно-бугорные (спинно-таламические) пути;
г) спинно-покрышечный путь.
5. Каково строение коры мозжечка?
а) различают три слоя: молекулярный, слой клеток Пуркинье и зернистый;
б) кора состоит из шести слоев;
в) различают четыре слоя: молекулярный, слой клеток Пуркинье, зернистый, полиморфный;
г) кора состоит преимущественно из пяти слоев.
6. Опишите строение пластинок коры полушарий большого мозга:
а) I – наружная зернистая пластинка, II – наружная пластинка пирамидных нейронов, III – молекулярная пластинка, IV – внутренняя зернистая пластинка, V – внутренняя пластинка пирамидных нейронов, VI – пластинка веретеновидных нейронов;
б) I – молекулярная пластинка, II – наружная зернистая пластинка, III – наружная пластинка пирамидных нейронов, IV – внутренняя зернистая пластинка, V – внутренняя пластинка пирамидных нейронов, VI – мультиморфная пластинка;
в) I – молекулярная пластинка, II – наружная зернистая пластинка, III – ганглиозная пластинка, IV – внутренняя зернистая пластинка, V – внутренняя пластинка пирамидных нейронов, VI – мультиморфная пластинка.
7. Афферентные пути модуля ЦНС:
а) аксоны пирамидных клеток, образующие окончания во всех слоях колонки;
б) возбуждающие кортико-кортикальные волокна;
в) специфические афферентные пути таламокортикальных волокон;
г) пирамидные и звездчатые клетки IV слоя, передающие импульсы на апикальные и базальные дендриты пирамидных клеток.
8. Опишите систему локальных связей модуля ЦНС:
а) нейроны возбуждающей системы: шипиковые звездчатые нейроциты фокального и диффузного типов, клетки с двойным букетом дендритов;
б) нейроциты тормозной системы: клетки с аксональной кисточкой, большие и малые корзинчатые нейроциты, аксо-аксональные нейроциты, клетки с двойным букетом дендритов;
в) клетки Мартинотти и клетки Кахаля.
9. Эфферентные пути модуля ЦНС:
а) средние пирамидные клетки III слоя коры, крупные и гигантские пирамидные клетки V слоя, веретеновидные клетки VI слоя коры;
б) крупные и гигантские пирамидные клетки V слоя, веретеновидные клетки VI слоя, клетки Мартинотти;
в) средние пирамидные клетки III слоя коры, крупные и гигантские пирамидные клетки V слоя, веретеновидные клетки VI слоя, клетки Кахаля;
г) в двигательных областях коры имеет место соматотопическая организация.
10. Опишите прослойки соединительной ткани нервного ствола:
а) эпиневрий, состоящий из волокнистой соединительной ткани с небольшим количеством кровеносных и лимфатических сосудов;
б) периневрий состоит из рыхлой волокнистой соединительной ткани;
в) концентрические пластинки, выстланные одним слоем уплощенных нейроглиальных клеток;
г) эндоневрий, проникающий между нервными волокнами в пучке.
Ответы
1: а, б, г, д, е, ж.
2: б, г.
3: б, в.
4: а, б.
5: а.
6: б.
7: а, г.
8: а, б.
9: а.
10: а, б, г.
Глава 10
Органы чувств
Органы чувств – это периферические части анализаторов. В системе каждого анализатора различают три части: периферическую, в которой происходит рецепция, или восприятие; промежуточную – проводящие пути и подкорковые образования и центральную часть – кору головного мозга, где происходят окончательные анализ и синтез воспринятого ощущения.
Выделяют несколько типов органов чувств. К первому типу относят орган зрения и орган обоняния. Эти органы закладываются в эмбриогенезе как части нервной пластинки. В основе их строения лежат первично чувствующие нейросенсорные, рецепторные клетки. Они имеют специализированные периферические отростки, воспринимающие колебания световых волн или молекулы пахучих веществ, а также центральные отростки, передающие возбуждение в промежуточные части анализаторов.
Ко второму типу органов чувств относят органы вкуса, равновесия и слуха. Эти органы закладываются в эмбриогенезе в составе эктодермы из ее утолщений – плакод. Их основной воспринимающий элемент – вторично чувствующие сенсоэпителиальные рецепторные клетки. Возбуждение, возникающее в них, передается на нервные окончания промежуточных частей соответствующих анализаторов, т. е. вкусового, слухового и вестибулярного нервов.
Третий тип органов чувств – это группа рецепторных инкапсулированных и неинкапсулированных телец и образований, являющихся тоже периферической частью соответствующих анализаторов, но окруженных соединительно-тканными или глиальными клетками.
Для всех воспринимающих клеток характерно наличие жгутиков – киноцилий, связанных с базальными тельцами, или микроворсинок – стереоцилий.
В плазматическую мембрану жгутиков и микроворсинок вмонтированы молекулы особых фото-, хемо– и механорецепторных белков, которые кодируют энергию стимула в специфическую информацию клетки, поступающую в виде потенциалов в центральную нервную систему.
10.1. Орган зрения (oculus)
Орган зрения представляет собой периферическую часть зрительного анализатора. Он состоит из глазного яблока, соединенного посредством зрительного нерва с мозгом, и вспомогательного аппарата, включающего веки, слезный аппарат и глазодвигательные мышцы.
Глазное яблоко образовано тремя оболочками: (фиброзной, сосудистой и внутренней) и их производными: роговицей, радужкой, ресничным телом, а также хрусталиком, жидкостью передней и задней камер глаза, стекловидным телом.
В глазном яблоке различают три основных функциональных аппарата: диоптрический, или светопреломляющий (роговица, жидкость передней и задней камер глаза, хрусталик, стекловидное тело), аккомодационный (радужка, ресничное тело с ресничным пояском, или цинновой связкой) и рецепторный (сетчатка). Эти функциональные аппараты окружены склерой, выполняющей защитную и опорную функции.
10.1.1. Диоптрический (светопреломляющий) аппарат глазаРоговица (cornea) – прозрачная оболочка, лишенная кровеносных сосудов. В ней различают 5 слоев: передний многослойный плоский неороговевающий эпителий, переднюю пограничную пластинку, собственное вещество, или строму, заднюю пограничную пластинку и задний однослойный плоский эпителий (эндотелий). Питание роговицы происходит за счет диффузии питательных веществ из передней камеры глаза и сосудов лимба.
Склера (sclera) – плотная соединительно-тканная оболочка. Состоит из плотных пластинок, содержащих коллагеновые и эластические волокна, фибробласты. Переход роговицы в склеру происходит в области лимба.
Хрусталик (lens) – прозрачное двояковыпуклое тело, форма которого меняется во время аккомодации. Покрыт капсулой, передняя стенка выстлана однослойным плоским эпителием. В области экватора эпителиальные клетки образуют ростковую зону хрусталика. Новые эпителиальные клетки дифференцируются в хрусталиковые волокна, из которых центрально расположенные волокна образуют ядро хрусталика. Хрусталик поддерживается в глазу с помощью ресничного пояска – цинновой связки, идущей от ресничных отростков к капсуле хрусталика.
Стекловидное тело (corpus vitreum) – прозрачная масса желеобразного вещества, заполняющая полость глаза. Оно содержит белок витреин и гиалуроновую кислоту. Принимает участие в обмене веществ, кроме того является основной диоптрической средой глаза.
Сосудистая оболочка глазного яблока (tunica vasculosa bulbi) – аккомодационный аппарат глаза. Осуществляет питание сетчатки. В ней различают пластинки: надсосудистую, сосудистую, сосудисто-капиллярную и базальную. Производные сосудистой оболочки – радужка и ресничное тело.
Радужка расположена между роговицей и хрусталиком, отделяет переднюю камеру глазного яблока от задней. В центре ее находится зрачок. В радужке различают пять слоев: передний эпителий, покрывающий ее переднюю поверхность, наружный пограничный слой, сосудистый слой, внутренний пограничный слой и пигментный слой.
Мышечные волокна радужки образуют две мышцы. Мышца, суживающая зрачок (сфинктер), состоит из циркулярных гладко-мышечных клеток. Мышца, расширяющая зрачок (дилятатор), менее выражена и состоит из тонкого слоя радиально расположенных клеток близ задней поверхности радужки. Это не типичные гладко-мышечные волокна, а измененные миоэпителиальные клетки.
Ресничное тело (corpus ciliare) представляет собой утолщение сосудистой оболочки. Фиксирует хрусталик и выполняет функцию аккомодации зрения. Оно делится на две части: внутреннюю – ресничный венец и наружную – ресничный кружок. От поверхности ресничного венца отходят ресничные отростки, к которым прикрепляется ресничный поясок. Основная часть ресничного тела образована ресничной мышцей, играющей важную роль в аккомодации глаза. В мышце различают меридиональные, радиальные, продольные и циркулярные волокна.
Сокращение ресничной мышцы приводит к расслаблению ресничного пояска, хрусталик становится выпуклым и его преломляющая сила увеличивается. Ресничное тело и ресничные отростки покрыты ресничной частью сетчатки.
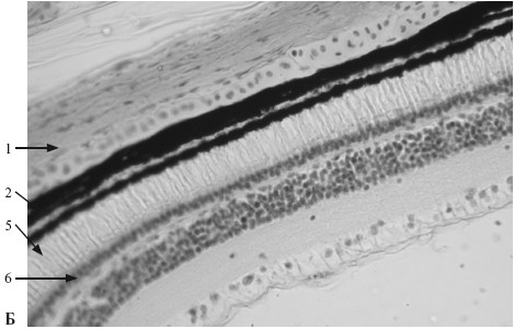
10.1.2. Рецепторный аппаратСетчатка (retina) – внутренняя оболочка глазного яблока, воспринимающая световые раздражения и превращающая их в нервный сигнал. Состоит из двух листков: светочувствительного, содержащего фоторецепторные нейросенсорные клетки с их отростками – палочками и колбочками, и наружного – пигментного (рис. 10.1).


Рис. 10.1. Сетчатка на свету (А) и в темноте (Б). х 130.
1 – склера; 2 – сосудистая оболочка; 3 – пигментный эпителий сетчатки; 4 – слой палочек и колбочек с отростками пигментных клеток, заполненных пигментом; 5 – слой палочек и колбочек с отростками пигментных клеток, свободных от пигмента; 6 – наружный зернистый слой.
Зрительная часть сетчатки занимает пространство от диска зрительного нерва до зубчатого края – место перехода задней (зрительной) части в ее переднюю (слепую) часть.
Сетчатка представляет собой цепь трех нейронов: наружного – фоторецепторного, среднего – ассоциативного и внутреннего – ганглионарного. Кроме того, на уровне первого и второго нейронов включаются горизонтальные клетки, а на уровне соединения второго и третьего – амакринные биполярные нервные клетки. В совокупности они образуют несколько слоев сетчатки: слой палочек и колбочек, наружный ядерный слой, наружный сетчатый слой, внутренний ядерный слой, внутренний сетчатый слой, ганглионарный слой и слой нервных волокон. Ядерные и ганглионарный слои сетчатки соответствуют телам нейронов, сетчатые – их контактам.
Зрительные, или фоторецепторные, клетки – палочки и колбочки способны воспринимать световые лучи. Ядросодержащие части зрительных клеток образуют наружный ядерный слой сетчатки. Их центральные отростки принимают участие в образовании наружного сетчатого слоя. От ядросодержащей части фоторецепторной клетки отходит центральный отросток, заканчивающийся в наружном сетчатом слое синапсом с биполярными клетками.
Во внутреннем ядерном слое сетчатки располагаются ассоциативные нейроны трех типов: горизонтальные, биполярные и амакринные. Горизонтальные клетки отдают дендриты, контактирующие с центральными отростками фоторецепторных клеток.
Биполярные нервные клетки соединяют зрительные клетки с ганглионарными клетками сетчатки. Их ядросодержашие части располагаются во внутреннем ядерном слое, а периферические отростки – в наружном сетчатом слое, где они образуют синапсы с центральными отростками фоторецепторных клеток.
Амакринные клетки выполняют роль, сходную с ролью горизонтальных клеток, только на уровне соединения биполярных и мультиполярных клеток.
Ганглионарные клетки имеют дендриты, расположенные во внутреннем сетчатом слое, где они контактируют с нейритами биполярных клеток. Сами ганглионарные клетки образуют ганглионарный слой, а их отростки (аксоны) – слой нервных волокон, формирующих зрительный нерв.
Наиболее характерные нейроглиальные элементы сетчатки – особые волокноподобные поддерживающие клетки Мюллера. Их ядросодержашие части располагаются в центре внутреннего ядерного слоя, а внутренние отростки образуют наружный пограничный слой.
На внутренней поверхности сетчатки, у заднего конца оптической оси глаза, имеется желтое пятно (называется так из-за содержания желтого пигмента), углубленный центр его носит название центральной ямки. В этой области внутренний ядерный слой и ганглиозный слой резко истончаются, а несколько утолщенный наружный ядерный слой представлен главным образом телами колбочконесущих клеток.
Кнутри от желтого пятна на сетчатке имеется возвышение, образованное выходом зрительного нерва. В этой области, носящей название диска зрительного нерва, или слепого пятна, все слои сетчатки отсутствуют, за исключением слоя нервных волокон, которые, собираясь со всех участков сетчатки, выходят из глазного яблока в составе зрительного нерва.
Пигментный эпителий – самый наружный слой сетчатки. Он состоит из призматических полигональных клеток, расположенных на базальной мембране. Наружная часть клеток содержит ядра. От внутренней поверхности клеток отходит 8—10 отростков, заполненных меланином. Пигментированные отростки отделяют фоторецепторы друг от друга. На свету пигмент переходит из тела клетки в ее отростки, препятствуя рассеиванию света между соседними фоторецепторами. В темноте пигмент перемещается в ядросодержащую часть тела клетки.
10.1.3. Вспомогательные структуры глазаK вспомогательным структурам глаза относятся глазные мышцы, веки и слезный аппарат. Глазные мышцы характеризуются теми же структурными особенностями, что и соматическая поперечнополосатая мускулатура.
В веках различают переднюю кожную поверхность и заднюю конъюктиву. Внутри века располагается тарсальная пластинка, состоящая из плотной волокнистой соединительной ткани. Она выполняет опорную функцию. Ближе к передней поверхности в толще век залегает кольцевая часть круговой мышцы глаза. Часть ее, проходящая по краю века и отделенная от общей массы корнями ресниц, носит название ресничной мышцы. В волосяные сумки ресниц открываются выводные протоки сальных и ресничных желез, последние являются видоизмененными потовыми железами. В толще тарсальной пластинки заложены сальные (мейбомиевы) железы.
Слезный аппарат глаза состоит из слезных желез, слезного мешка и носослезного протока. Слезные железы образуются из нескольких групп альвеолярно-трубчатых желез серозного характера; стенки слезного мешка и носослезного протока выстланы двух– или многорядным эпителием, расположенным на базальной мембране; в слезный мешок открываются мелкие разветвленные трубчатые железы.
10.2. Орган вкуса (organum gustatorium, gustus)
Периферический отдел органа вкуса – хеморецептор. Он представлен совокупностью вкусовых почек, располагающихся в многослойном эпителии боковых стенок желобовидных, листовидных и грибовидных сосочков языка человека (рис. 10.2).

Рис. 10.2. Листовидные сосочки языка. ×92.
1 – многослойный плоский неороговевающий эпителий; 2 – собственная пластинка слизистой; 3 – вкусовая луковица; 4 – вкусовая пора.
Вкусовые почки развиваются из элементов эмбриональной нервной глии.
Строение. Каждая вкусовая почка имеет эллипсоидную форму и занимает всю толщину многослойного эпителия сосочка. Она состоит из веретеновидных, плотно прилегающих вкусовых (рецепторных) и опорных клеток, которые идут от поверхности эпителия до базальной мембраны. Над ней располагаются базальные клетки. Вершина почки имеет отверстие – вкусовое отверстие, которое ведет в углубление, образованное апикальными поверхностями вкусовых клеток, – вкусовую ямку.
Вкусовые клетки отделяются друг от друга опорными клетками. На апикальном конце вкусовой клетки имеются микроворсинки. Между последними во вкусовой ямке видно электронно-плотное вещество с высокой активностью фосфатаз и значительным содержанием белков мукопротеидов. Вкусовые вещества адсорбируются на поверхности мембран микроворсинок, в которые вмонтированы специфические рецепторные белки. Возбуждение из вкусовых почек передается в виде импульсов через синапсы к нервным окончаниям, а от них по нервным путям в центральные звенья вкусового анализатора, при этом воспринимаются различные виды вкусовых ощущений.
Опорные клетки окружают и изолируют вкусовые клетки и нервные волокна в базальном отделе вкусовой почки и принимают участие в процессах секреции.