Текст книги "Общая и частная гистология"
Автор книги: Рудольф Самусев
Жанр: Медицина, Наука и Образование
сообщить о неприемлемом содержимом
Текущая страница: 21 (всего у книги 25 страниц)
14.8. Желчный пузырь
Желчный пузырь (vesica biliaris) – тонкостенный мешотчатый орган вместимостью 30–70 мл, накапливающий и концентрирующий (в 100 раз) желчь в непищеварительную фазу и выделяющий ее в двенадцатиперстную кишку во время пищеварения.
Стенка желчного пузыря состоит из 3 оболочек.
Слизистая оболочка включает:
Эпителий однослойный призматический каемчатый, ядро крупное, смещено базально. Секреторные гранулы расположены у апикального полюса, выделяют слизь, защищающую слизистую оболочку от желчных солей. Процесс концентрации желчи связан с деятельностью натриевых насосов в плазмолемме. При нарушении баланса формируются желчные камни (у 10–30 % людей). Имеются базальные клетки, предположительно относятся к ДЭС-системе;
Собственную пластинку, образованную рыхлой волокнистой соединительной тканью; содержит углубления эпителия, образующие дивертикулы и инвагинации (Рокитанского – Ашоффа). Много кровеносных капилляров, в шейке пузыря располагаются концевые отделы слизистых желез.
Волокнисто-мышечная оболочка представлена пучками гладко-мышечных клеток, расположенных в 2 слоя, содержит эластические волокна. Сокращение миоцитов стимулирует холецистокинин, вырабатываемый I-клетками тонкой кишки.
Серозная оболочка покрывает большую часть желчного пузыря, в области прикрепления к печени – адвентициальная оболочка.
Тесты и вопросы для самоконтроля
Выберите один или несколько правильных ответов:
1. Какие части выделяют в губах?
а) кожную;
б) подкожную;
в) промежуточную;
г) слизистую;
д) подслизистую.
2. Вкусовые почки содержат сосочки языка:
а) нитевидные;
б) грибовидные;
в) конические;
г) желобовидные;
д) листовидные.
3. Эмалевые призмы характеризуются:
а) волнообразными изгибами по своему ходу, изогнутыми в виде буквы S;
б) наличием полос Гунтера – Шрегера;
в) наличием ростовых линий Эбнера;
г) толщиной от 3 до 6 мкм.
4. Отражением ростовых процессов эмали являются:
а) полосы Гунтера – Шрегера;
б) перикиматин;
в) полоски Ретциуса;
г) линии Оуэна.
5. В плащевом дентине имеются:
а) отростки одонтобластов (волокна Томса);
б) волокна Эбнера;
в) волокна Коффа;
г) эластические волокна;
д) окситалановые волокна.
6. Центральная зона пульпы содержит следующие клеточные элементы:
а) хондроциты;
б) хондробласты;
в) одонтобласты;
г) фибробласты;
д) малодифференцированные эктомезенхимальные клетки;
е) макрофаги.
7. Цемент в отличие от кости:
а) не имеет коллагеновых волокон;
б) не имеет сосудов;
в) содержит 70 % органических веществ и 30 % неорганических;
г) не имеет нервных окончаний.
8. Пищевод. Верно все, кроме:
а) в собственном слое слизистой оболочки присутствуют простые трубчатые, разветвленные железы;
б) слизистая оболочка кишечного типа;
в) в подслизистой основе расположены сложные альвеолярно-трубчатые железы;
г) мышечная оболочка в верхней трети пищевода поперечнополосатая;
д) в подслизистой оболочке и между слоями мышечной оболочки расположены нервные сплетения.
9. Апикальные отделы энтероцитов несут:
а) ворсинки;
б) микроворсинки;
в) циркулярные складки;
г) бляшки.
10. Микроворсинки каемчатого эпителия. Верно все, кроме:
а) приспособление для увеличения площади апикальной поверхности клетки;
б) в основании расположены базальные тельца;
в) содержат параллельно идущие актиновые микрофиламенты;
г) в плазматическую мембрану встроены транспортные белки.
11. Толстая кишка. Верно все, кроме:
а) червеобразный отросток содержит многочисленные лимфоидные фолликулы;
б) в криптах находятся каемчатые, энтероэндокринные и единичные бокаловидные клетки;
в) содержит бактерии, вырабатывающие витамины В12 и К;
г) поверхность заднепроходного канала покрыта многослойным плоским неороговевающим эпителием.
12. В желудке соляная кислота участвует во всех процессах, кроме:
а) кислотного гидролиза белков;
б) установления оптимального рН для протеолитического эффекта пепсина;
в) уничтожения бактерий;
г) превращения пепсиногена в пепсин;
д) облегчения всасывания витамина В12.
13. Печень. Верно все, кроме:
а) желчные капилляры находятся внутри тяжей гепатоцитов;
б) гепатоциты окружены базальной мембраной;
в) кровь из синусоидных капилляров поступает в центральные вены;
г) гепатоциты омываются кровью;
д) клетки Купфера – фагоциты.
14. Паренхима поджелудочной железы имеет в своем составе:
а) островки Лангергаиса;
б) адипоциты;
в) центроацинозные клетки;
г) звездчатые макрофаги.
15. Железы желудка:
а) вырабатывают желудочный сок;
б) главные клетки синтезируют пепсин;
в) ацетилхолин стимулирует секрецию экзокринных клеток;
г) гистамин подавляет секрецию пепсиногена и соляной кислоты.
16. Клетки Купфера. Верно все, кроме:
а) накапливают железо;
б) расположены в синусоидных капиллярах;
в) фагоцитируют эритроциты;
г) происходят из моноцитов;
д) выделяют соли желчных кислот.
17. Островки Соболева – Лангерганса:
а) островковые клетки, окружены кровеносными капиллярами фенестрированного типа;
б) содержат А, В, D, РР и Б1-клетки;
в) глюкагон повышает содержание глюкозы в крови;
г) включают А, В, G, РР и D-клетки.
18. Какие структуры участвуют в формировании рельефа слизистой оболочки желудка?
а) складки;
б) ворсинки;
в) поля;
г) ямки.
19. Какие структуры в стенке тонкой кишки содержат иммунокомпетентные клетки (лимфоциты)?
а) крипты;
б) лимфоидные фолликулы;
в) лимфатические узлы;
г) концевые отделы желез.
20. В каких клетках органов пищеварения вырабатывается инсулин?
а) в гепатоцитах;
б) в энтероцитах;
в) в главных клетках желудка;
г) в клетках островков Лангерганса.
Ответы
1: а, в, г.
2: б, г, д.
3: а, б, г.
4: в.
5: а, в.
6: а, г, д, е.
7: б, г.
8: б.
9: в, г.
10: б.
11: б.
12: д.
13: б.
14: а, б, в.
15: а, б, в, г.
16: д.
17: а, б, в.
18: а, в, г.
19: б.
20: г.
Глава 15
Дыхательная система
Органы дыхательной системы обеспечивают дыхательную функцию – газообмен, который осуществляется в респираторном отделе легкого. Вдыхаемый воздух попадает в респираторный отдел по воздухоносным путям, в них он очищается от пыли и микроорганизмов, нагревается и увлажняется. Его состав контролируется рецепторами слизистой оболочки, образующими скопления в органе обоняния и в нейроэпителиальных тельцах легкого. Указанные функции непосредственно связаны с дыхательной функцией.
Недыхательные функции включают депонирование крови, регуляцию ее свертывания, фильтрацию частиц из крови, метаболическую, эндокринную и иммунную.
Дыхательная система включает воздухоносные пути и респираторный отдел.
Воздухоносные пути:
1) внелегочные: носовая полость, носоглотка, гортань, трахея;
2) внутрилегочные: бронхи и терминальные бронхиолы. Респираторный отдел:
1) респираторные бронхиолы;
2) альвеолярные ходы;
3) альвеолярные мешочки;
4) альвеолы.
Воздухоносные пути обеспечивают продвижение воздуха, чему способствует наличие жесткого (костного или хрящевого, а в дистальных отделах эластического) каркаса, к которому прикрепляется слизистая оболочка. В последней много сосудов (участвуют в регуляции температуры и влажности воздуха) и желез, которые, взаимодействуя с реснитчатым эпителием, обеспечивают удаление пыли и микроорганизмов из дыхательных путей.
Полость носа состоит из преддверия носа и собственно носовой полости, которая включает дыхательную и обонятельную области.
Преддверие носа – это передняя расширенная часть, выстлано кожей с щетинистыми волосами (задерживают наиболее крупные частицы) и сальными железами. Глубже из многослойного плоского ороговевающего эпителий переходит в многослойный плоский неороговевающий, волосы и железы исчезают.
Дыхательная область выстлана слизистой оболочкой, образованной эпителием и собственной пластинкой, прикрепляющейся к надхрящнице или надкостнице.
Эпителий однослойный многорядный призматический реснитчатый, содержит многоклеточные эндоэпителиальные железы, которые вырабатывают слизь. Эпителий включает следующие типы клеток:
– реснитчатые клетки наиболее многочисленные, имеют высокую призматическую форму. Их ядра овальные, располагаются в наиболее широкой части клетки на различных уровнях. Эти клетки своими суженными базальными концами контактируют с базальной мембраной, а на апикальном полюсе имеют длинные реснички. Биение ресничек (с частотой до 25 в 1 с) направлено в сторону глотки;
– бокаловидные клетки – одноклеточные эндоэпителиальные железы, вырабатывают слизь, обладающую антимикробными свойствами. Эти клетки призматические, однако их форма зависит от степени наполнения секретом. Уплощенные ядра располагаются в базальной части, над ними – крупный комплекс Гольджи, от которого отделяются пузырьки, содержащие муцин. Пузырьки накапливаются в апикальной части и выделяются путем экзоцитоза;
– базальные (низкие вставочные) клетки мелкие, низкие, с широким основанием, лежащим на базальной мембране, и суженной апикальной частью. Ядро относительно крупное, органеллы не развиты. Эти клетки считают камбиальными элементами эпителия. Они содержат большое количество кератиновых филаментов, связаны с клетками других типов десмосомами, а с базальной мембраной – полудесмосомами;
– промежуточные (высокие вставочные) клетки призматические, не доходящие своим апикальным концом до просвета носовой полости. Органеллы развиты умеренно, ядра лежат ближе к базальной мембране, чем у реснитчатых клеток. Способны дифференцироваться в реснитчатые, бокаловидные и щеточные;
– щеточные клетки (безреснитчатые) призматические, достигающие просвета своим апикальным полюсом, покрытым многочисленными микроворсинками. Органеллы умеренно развиты. Эти клетки, вероятно, способны всасывать компоненты слизи;
некоторые авторы предполагают, что они могут играть роль камбиальных элементов респираторного эпителия. В связи с тем, что на их базальном полюсе имеются синапсы чувствительных нервных волокон, высказывается мнение об их возможной рецепторной роли;
– эндокринные клетки низкие призматические, их несколько типов. Базальный полюс содержит секреторные гранулы: диаметром 100–300 нм с плотным центром. Относятся к диффузной эндокринной системе (ДЭС) и вырабатывают ряд пептидных гормонов и биоаминов (бомбезин, кальцитонин, серотонин, холецистокининоподобный пептид и др.).
Собственная пластинка образована рыхлой соединительной тканью с высоким содержанием лимфоцитов, плазматических и тучных клеток. Встречаются лимфоидные узелки, особенно у входа в носоглотку, у устьев слуховых труб (трубные миндалины).
В собственной пластинке содержатся также концевые отделы белково-слизистых желез и особые тонкостенные венозные сосуды: большого объема (лакуны), обеспечивающие согревание вдыхаемого воздуха. При воспалительных и аллергических реакциях они переполняются кровью и, сужая просвет носовых ходов, затрудняют носовое дыхание.
Под эпителием полости носа находится капиллярное сплетение. В слизистой оболочке дыхательной области полости носа содержатся многочисленные свободные и инкапсулированные нервные окончания.
Рецепторные обонятельные нейросенсорные клетки высокопризматической формы с ядром, смещенным к базальному полюсу. Их аксоны образуют обонятельные пути, а дендриты на конце содержат расширение – обонятельную булаву, от которой параллельно поверхности эпителия отходят длинные неподвижные обонятельные реснички. В мембране ресничек находятся рецепторы пахучих веществ, связанные со специальным белком.
Рецепторные клетки обновляются каждые 30 сут.
Поддерживающие клетки высокопризматической формы с центрально расположенным ядром и многочисленными микроворсинками на апикальной поверхности. В цитоплазме содержатся хорошо развитые органеллы и пигментные гранулы, придающие обонятельной области желтый цвет. Функция этих клеток опорная и, возможно, секреторная.
Базальные клетки мелкие, малодифференцированные, способны давать начало как нейросенсорным, так и поддерживающим клеткам.
Собственная пластинка образована соединительной тканью и содержит концевые отделы обонятельных (боуменовых) желез, выделяющих водянистый белковый секрет на поверхность обонятельного эпителия, где он омывает обонятельные реснички и растворяет пахучие вещества. В ней располагаются также пучки аксонов рецепторных клеток (обонятельные нити) и венозное сплетение, развитое значительно слабее, чем в дыхательной области.
Носоглотка является продолжением носовой полости. Она выстлана однослойным многорядным призматическим реснитчатым эпителием. Собственная пластинка содержит концевые отделы мелких белково-слизистых желез. На задней поверхности располагается глоточная миндалина, которая при увеличении (аденоиды) может затруднять носовое дыхание.
Гортань соединяет глотку с трахеей и выполняет функции проведения воздуха и звукообразования. Ее стенка включает слизистую, волокнисто-хрящевую и адвентициальную оболочки.
Слизистая оболочка выстлана однослойным многорядным призматическим реснитчатым эпителием, а в области голосовых связок – многослойным плоским неороговевающим эпителием. В собственной пластинке содержатся эластические волокна, концевые отделы белково-слизистых желез. Ниже надгортанника слизистая оболочка образует две пары складок – истинные и ложные (вестибулярные) голосовые связки:
– истинные голосовые связки содержат скелетную мышцу, сокращение которой изменяет размеры голосовой щели и натяжение голосовых связок, влияя на высоту издаваемого звука, и пучок эластических волокон;
– ложные голосовые связки лежат выше истинных; их основу образует рыхлая волокнистая ткань, содержащая концевые отделы желез и скопления лимфоидной ткани.
Волокнисто-хрящевая оболочка, выполняющая опорную функцию, образована гиалиновыми и эластическими хрящами, объединенными связками.
Адвентициальная оболочка состоит из рыхлой волокнистой соединительной ткани.
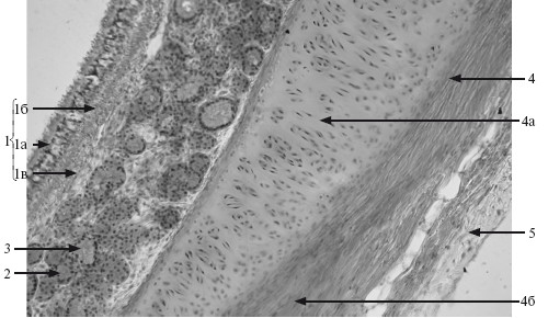
Трахея – трубчатый орган, соединяющий гортань с бронхами; жесткость и гибкость ее конструкции обусловлены наличием в ее стенке хрящевых полуколец, связанных друг с другом плотной соединительной тканью с высоким содержанием эластических волокон. Стенка образована 3 оболочками (рис. 15.1):

Рис. 15.1. Трахея человека. ×100.
1 – слизистая оболочка: 1а – многорядный мерцательный эпителий, 1б – собственная пластинка, 1в – внутренняя эластическая мембрана;
2 – подслизистая основа; 3 – трахеальная железа (слизистый концевой отдел); 4 – фиброзно-хрящевая оболочка: 4а – гиалиновый хрящ, 4б – гладко-мышечные клетки; 5 – адвентициальная оболочка.
– слизистая оболочка состоит из 3 слоев:
а) однослойный многорядный призматический реснитчатый эпителий лежит на толстой базальной мембране. У человека он состоит из следующих типов клеток:
– реснитчатые клетки, имеющие длинные активные реснички, которые сокращаются в направлении глотки. На свободной поверхности клеток располагаются также микроворсинки;
– слизистые клетки, представленные двумя видами: зрелыми бокаловидными клетками и мелкими слизистыми гранулярными клетками;
– цитоплазма бокаловидных клеток заполнена крупными секреторными каплями, постоянно выделяющими слизь на поверхность органа;
– мелкие слизистые гранулярные клетки, иногда называемые клетками с щеточной каемкой, поскольку несут на свободном конце множество микроворсинок. Они содержат в цитоплазме варьирующее количество мелких слизистых гранул. Клетки активно делятся и, возможно, заменяют десквамированные клетки первого вида;
– эндокринные клетки, содержащие мелкие секреторные гранулы в базальном отделе; синтезируют несколько видов полипептидных гормонов, оказывающих местный эффект на соседние клетки (паракринная регуляция);
– базальные клетки, лежащие на базальной мембране и не достигающие просвета трахеи; способны к делению;
б) собственная пластинка – рыхлая волокнистая соединительная ткань с высоким содержанием продольно расположенных эластических волокон и мелкими пучками циркулярно идущих гладко-мышечных клеток. Могут встречаться отдельные лимфатические сосуды;
в) подслизистая основа образована рыхлой волокнистой соединительной тканью, нечетко отграничена от собственной пластинки эластической мембраной и содержит сосудистые сплетения, а также концевые отделы белково-слизистых желез. Их секрет выводится на поверхность эпителия.
Фиброзно-хрящевая оболочка состоит из гиалинового хряща в форме С-образных полуколец. Открытые края полуколец направлены кзади и связаны пластинкой плотной соединительной ткани с высоким содержанием гладко-мышечных клеток. Благодаря этому задняя стенка трахеи может растягиваться в момент прохождения пищевого комка по пищеводу. Промежутки между соседними полукольцами заполнены плотной соединительной тканью, переходящей в надхрящницу.
Адвентициальная оболочка состоит из рыхлой волокнистой соединительной ткани. В ней находятся скопления жировых клеток, нервное и сосудистое сплетения.
Бронхиальное дерево состоит из крупных, средних и мелких бронхов. Их стенки образованы тремя оболочками с характерными отличиями.
Крупные бронхи (долевые, зональные, сегментарные). Строение стенки аналогично структуре трахеи, хотя отличается некоторыми особенностями. Многорядный реснитчатый эпителий менее высокий и содержит меньшее количество бокаловидных клеток. В их цитоплазме имеются секреторные гранулы, содержащие муцин.
Собственная пластинка содержит плотно расположенные эластические волокна и отделена от подслизистой основы мышечной пластинкой, состоящей из гладкой мышечной ткани.
Железы сравнительно многочисленны.
Фиброзно-хрящевая оболочка состоит из пластинок гиалинового хряща, связанных друг с другом плотной соединительной тканью.
Средние бронхи (субсегментарные). Эпителий многорядный призматический. Количество бокаловидных клеток снижается.
Собственная пластинка тоньше и отделяется от подслизистой основы более толстой мышечной пластинкой. Белково-слизистые железы мельче, встречаются все реже. Хрящевые пластинки редуцируются в количестве и размерах. Во многих участках подслизистая основа сливается с адвентицией.
Мелкие бронхи (внутридольковые). Выстланы двухрядным эпителием. Бокаловидные клетки единичны. Железы отсутствуют. Хрящевая ткань практически отсутствует, хотя, по некоторым данным, могут встречаться очень мелкие вкрапления эластического хряща. Особенностью является мощное развитие циркулярных пучков гладко-мышечных клеток.
Терминальные бронхиолы. Эпителий однослойный призматический реснитчатый с редко встречающимися бокаловидными клетками в крупных бронхиолах, постепенно переходит в однослойный кубический в мелких бронхиолах с клетками Клара, но без бокаловидных клеток.
Клетки Клара имеют кубическую форму. На куполообразной апикальной поверхности их хорошо развиты короткие микроворсинки. В апикальных частях цитоплазмы клеток Клара имеется значительное количество секреторных гранул, содержащих гликопротеины. Предполагают, что секреторные продукты клеток Клара защищают бронхиолярный эпителий. Кроме того, возможно, они секретируют вещество, подобное сурфактанту, снижающее силу поверхностного натяжения.
Собственная пластинка образована тонкой прослойкой рыхлой волокнистой соединительной ткани без желез. Мышечная пластинка состоит из пучков гладко-мышечных клеток, образующих две ленты, спиралеобразно охватывающие бронхиолу.
Адвентициальная оболочка бронхиолы состоит из рыхлой волокнистой соединительной ткани, богатой эластическими волокнами.
Респираторный отдел легкого осуществляет функцию газообмена и состоит из структурно-функциональных единиц – первичных легочных долек (ацинусов), каждая из которых включает респираторные бронхиолы трех порядков, альвеолярные ходы, альвеолярные мешочки и альвеолы: (рис. 15.2). Ацинусы разделены тонкими прослойками соединительной ткани; 12–18 ацинусов образуют вторичную легочную дольку.

Рис. 15.2. Легкое человека. х 40.
1 – бронх среднего калибра; 2 – мерцательный эпителий; 3 – бокаловидные клетки; 4 – подслизистая основа с кровеносными сосудами; 5 – хрящевой островок; 6 – респираторная бронхиола; 7 – альвеолярный ход; 8 – альвеолярный мешочек; 9 – альвеолы; 10 – межальвеолярные перегородки.
Респираторные бронхиолы. Терминальные бронхиолы: дихотомически ветвятся на две короткие трубочки – респираторные бронхиолы I порядка, а последние – на респираторные бронхиолы II и III порядков. Респираторные бронхиолы выстланы однослойным кубическим эпителием, состоящим из клеток Клара и отдельных реснитчатых клеток. Частично их стенка представлена альвеолами, образованными плоскими клетками. В дистальном направлении число альвеол нарастает, а промежутки между ними, выстланные кубическим эпителием, уменьшаются. В альвеолах стенок бронхиол осуществляется газообмен. Собственная пластинка сходна с таковой в терминальной бронхиоле.
Альвеолярные ходы. Ответвляются от респираторных бронхиол III порядка. Их стенка образована альвеолами, между которыми кольцеобразно располагаются булавовидные пучки гладко-мышечных клеток, выступающие в просвет. В состав стенки альвеолярных ходов входят коллагеновые и эластические волокна.
Альвеолярные мешочки. Это скопления альвеол на расширенном дистальном крае альвеолярного хода. Участок отхождения мешочков называется преддверием.
Альвеолы. Округлые образования диаметром 200–300 мкм, выстланные плоским эпителием и окруженные густой сетью капилляров. В легких человека 300–500 млн альвеол, общая площадь их поверхности до 150 м2. Эпителиальную выстилку альвеол образуют клетки двух типов – респираторные эпителиоциты (альвеолоциты I типа) и большие эпителиоциты (альвеолоциты II типа).
Респираторные эпителиоциты плоские, неправильной формы, с истонченной цитоплазмой, органеллы развиты слабо, большое число пиноцитозных пузырьков. Занимают 95–97 % от площади поверхности альвеол, являются компонентом аэрогематического барьера, связаны друг с другом и с большими клетками плотными соединениями. Очень чувствительны к токсическим веществам.
Большие эпителиоциты лежат поодиночке или мелкими группами (по 2–3), покрывают 2–5 % от площади альвеол. Имеют крупные размеры, округлые или кубические. Эти клетки выбухают в просвет альвеолы. Их апикальная поверхность содержит микроворсинки. Ядро крупное, располагается в центральной части клетки, имеет выраженное ядрышко. Особенность этих клеток – наличие в цитоплазме множества пластинчатых телец, хорошо развитой гранулярной ЭПС, комплекса Гольджи, митохондрий.
Содержимое пластинчатых телец выделяется, формируя на поверхности альвеолярного эпителия слой поверхностно-активного вещества липопротеидной природы – сурфактанта, который включает две фазы: 1) гипофазу – нижнюю пленку, состоящую из тубулярного миелина, имеющего решетчатый вид и сглаживающего неровности эпителия; 2) апофазу – поверхностную мономолекулярную пленку фосфолипидов, обращенную в полость альвеолы гидрофобными участками.
Функции сурфактанта: 1) снижение поверхностного натяжения пленки тканевой жидкости, покрывающей альвеолярные клетки (расправление альвеол и препятствие слипанию их стенок при дыхательных движениях); 2) формирование противоотечного барьера (препятствие выделению жидкости в просвет альвеол из интерстиция); 3) бактерицидная; 4) иммуномодулирующая; 5) стимуляция активности альвеолярных макрофагов.
Сурфактант проницаем для газов и входит в состав аэрогематического барьера. Его поглощение осуществляется большими эпителиоцитами и альвеолярными макрофагами. Частично он попадает в воздухоносные пути. Вырабатывается в конце внутриутробного развития, при его отсутствии или нехватке развивается синдром дыхательной недостаточности.
Функции больших эпителиоцитов: 1) регулируют транспорт воды и ионов через эпителий; 2) участвуют в обмене ксенобиотиков; 3) синтезируют и секретируют лизоцим и интерферон; 4) обезвреживают окислители; 5) являются камбиальными элементами альвеолярного эпителия.
Межальвеолярные перегородки разделяют соседние альвеолы. В их наиболее тонких участках уплощенные части респираторных эпителиоцитов и эндотелиоцитов кровеносных капилляров разделены лишь общей слившейся базальной мембраной (барьер между просветом альвеолы и капилляра имеет здесь минимальную толщину). Это обеспечивает эффективный газообмен (пассивная диффузия).
В более толстых участках у каждого типа эпителия имеется своя базальная мембрана, а капилляры и соединительно-тканные элементы образуют интерстиций. В интерстиции встречаются фибробласты, фиброциты, макрофаги, тучные клетки, лимфоциты, гранулоциты, коллагеновые и эластические волокна, безмиелиновые нервные волокна.
Эластические волокна оплетают каждую альвеолу в виде корзинки, препятствуя их перерастяжению. Разрушение этого каркаса ведет к снижению эластичности легких и сокращению площади дыхательной поверхности (эмфизема легких).
Межальвеолярные поры (поры Кона) связывают соседние альвеолы и, возможно, служат для уравновешивания давления между ними; часто закрыты сурфактантом.
В стенке альвеол или на их поверхности встречаются альвеолярные макрофаги (определяются по наличию фагоцитированных частиц в цитоплазме). Являются высокоактивными свободными фагоцитами, очищающими поверхность альвеол от частиц пыли и микроорганизмов. Цитоплазма клеток имеет пенистый вид, развитый лизосомальный аппарат. Вырабатывают антимикробные вещества, цитокины, гормоны (лизоцим, супероксид, интерферон, противоопухолевые факторы). Происходят из красного костного мозга. Активность альвеолярных макрофагов снижается при курении, голодании, охлаждении.
Аэрогематический барьер включает следующие компоненты: 1) слой сурфактанта; 2) истонченную цитоплазму респираторного эпителиоцита; 3) базальную мембрану респираторного эпителиоцита; 4) базальную мембрану эндотелиоцита; 5) цитоплазму эндотелиоцита капилляра. Толщина барьера 0,2–0,5 мкм, что обеспечивает эффективный газообмен между воздухом и кровью путем пассивной диффузии.
Плевра – серозная оболочка, выстилающая грудную полость (париетальная плевра) и покрывающая легкие (висцеральная плевра).
Наружная поверхность висцеральной плевры выстлана мезотелием, который представляет собой однослойный плоский эпителий. Ядра мезотелиальных клеток уплощены.
Мезотелий секретирует минимальное количество серозной жидкости, необходимой для уменьшения трения между висцеральным и париетальным листками плевры.
Подлежащая плотная волокнистая соединительная ткань содержит множество коллагеновых и эластических волокон. От висцеральной плевры внутрь легкого отходят соединительно-тканные перегородки. Висцеральная плевра содержит поверхностное сплетение лимфатических сосудов.