Текст книги "Общая и частная гистология"
Автор книги: Рудольф Самусев
Жанр: Медицина, Наука и Образование
сообщить о неприемлемом содержимом
Текущая страница: 15 (всего у книги 25 страниц)
12.5. Лимфоидная ткань стенок органов пищеварительной и дыхательной систем
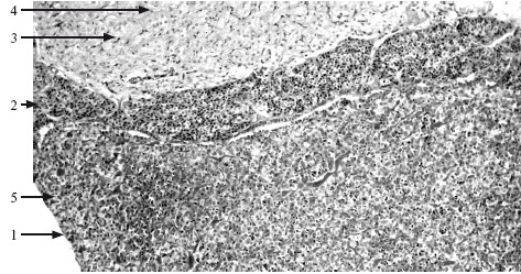
Миндалины (tonsillae) представляют собой скопление лимфоидной ткани, в которой на фоне диффузно расположенных клеточных элементов находятся плотные скопления клеток в виде узелков (лимфоидные фолликулы:). Локализуются миндалины в начальных отделах дыхательной и пищеварительной систем (небные миндалины, язычная и глоточная) и в области устья слуховых труб (трубные миндалины).
Язычная миндалина (tonsilla lingualis) расположена в корне языка, под многослойным плоским эпителием слизистой оболочки рта.
Лимфоидные узелки ее часто имеют светлые центры (центры размножения) и, выпячивая слизистую оболочку, формируют на поверхности корня около 80–90 бугорков, число которых наиболее значительно в детском, подростковом и юношеском возрасте.
Между бугорками находятся углубления слизистой оболочки – крипты, в которые открываются выводные протоки слизистых желез языка.
Парная небная миндалина (tonsilla palatina) находится в углублении между небно-язычной и небно-глоточной складками полости рта – в миндаликовой ямке.
По форме напоминает миндальный орех, имеющий наибольшие размеры в 8—16 лет.
Латеральной частью небная миндалина фиксирована ко дну миндаликовой ямки; медиальная поверхность ее, покрытая многослойным плоским эпителием, содержит до 20 миндаликовых ямочек, в которые открываются миндаликовые крипты.
Рабочая ткань миндалин имеет лимфоидные узелки с центрами размножения, размерами от 0,1 до 1,2 мм.
Глоточная миндалина (tonsilla pharingealis) непарная, расположена в области свода и верхней части задней стенки глотки.
В диффузной лимфоидной ткани под эпителием слизистой оболочки формируются лимфоидные узелки диаметром до 0,8–1,0 мм. Слизистая оболочка над миндалиной покрыта многорядным мерцательным эпителием и образует многочисленные поперечные складки. Наибольших размеров миндалина достигает в 8—16 лет.
Парная трубная миндалина (tonsilla tubaria) залегает в слизистой оболочке носовой части глотки, позади устья глоточного отверстия слуховой трубы. В этом месте хорошо заметен трубный валик.
Слизистая оболочка над миндалиной покрыта многорядным мерцательным эпителием. Миндалина имеет немногочисленные лимфоидные узелки и своего наибольшего развития достигает в 4–7 лет. Возрастная инволюция ее начинается в подростковом и юношеском возрастах.
Групповые лимфоидные узелки (noduli lymphoidei aggregati) червеобразного отростка формируют в собственной пластинке слизистой оболочки и подслизистой основе стенки органа от его основания (возле слепой кишки) до верхушки почти сплошной слой, состоящий из большого числа (около 500) одиночных лимфоидных узелков. Узелки часто размещаются в 2–3 ряда. Поперечные размеры одного фолликула достигают 1,0–1,5 мм.
После 16–18 лет отмечается уменьшение количества узелков, которые после 60 лет становятся единичными.
Групповые лимфоидные узелки (noduli lymphoidei aggregati) подвздошной кишки, или пейеровы бляшки, в количестве 30–40 штук находятся в стенке тонкой кишки, преимущественно ее конечного отдела – подвздошной кишки.
Расположены на противобрыжеечной стороне кишки, в слизистой оболочке и подслизистой основе органа. Представляют собой выпячивающие слизистую основу кишки плоские овальные и круглые образования, ориентированные, как правило, своей продольной осью вдоль оси кишки.
Длина лимфоидных бляшек варьирует в широких пределах – от 0,5 до 12–15 см, ширина не превышает 0,2–1,2 см, в отдельных случаях составляет 3–5 см. Слизистая оболочка над ними неровная, бугристая и не образует характерной складчатости, отличается более светлой окраской.
Лимфоидная ткань групповых лимфоидных фолликулов представлена тесно расположенными одиночными узелками размером 0,5–2,0 мм, между которыми проходят тонкие пучки соединительно-тканных волокон.
Количество лимфоидных бляшек максимально (30–80) у детей и подростков. С возрастом уменьшаются размеры и число групповых лимфоидных узелков, сглаживаются их контуры; к старости лимфоидная ткань этих образований приобретает диффузный характер.
Одиночные лимфоидные узелки (noduli lymphoidei solitaries) залегают в слизистой оболочке и подслизистой основе стенок дыхательной и пищеварительной трубок (гортань, трахея, главные, долевые и сегментарные бронхи, глотка, пищевод, желудок, желчный пузырь, тонкая и толстая кишки), а также органов мочевой и половых систем.
Располагаются одиночные узелки на протяжении всей длины указанных органов на различном расстоянии друг от друга и на различной глубине, нередко выступая над поверхностью слизистой оболочки в виде небольших выпячиваний. Размеры одиночных узелков в среднем не превышают 1,5–2,0 мм.
У новорожденный:, детей, подростков и в юношеском возрасте в центре узелков обычно имеются светлые центры размножения клеток лимфоцитарного ряда.
Тесты и вопросы для самоконтроля
Выберите один или несколько правильных ответов:
1. Отметьте центральные органы кроветворения и иммунной защиты:
а) лимфатические узлы;
б) тимус;
в) селезенка;
г) аппендикс;
д) красный костный мозг;
е) миндалины;
ж) пейеровы бляшки.
2. Укажите периферические органы иммунной системы:
а) селезенка;
б) красный костный мозг;
в) тимус;
г) лимфатические узлы;
д) аппендикс;
е) миндалины;
ж) пейеровы бляшки.
3. Какие органы иммунной системы обеспечивают антигеннезависимую пролиферацию и дифференцировку лимфоцитов?
а) аппендикс;
б) лимфатические узлы;
в) селезенка;
г) тимус;
д) красный костный мозг;
е) миндалины;
ж) пейеровы бляшки.
4. Какие органы иммунной системы обеспечивают антигензависимую пролиферацию и дифференцировку лимфоцитов?
а) тимус;
б) аппендикс;
в) красный костный мозг;
г) селезенка;
д) лимфатические узлы;
е) миндалины;
ж) пейеровы бляшки.
5. Что является элементами стромы красного костного мозга?
а) эпителиоретикулярные клетки;
б) адипоциты;
в) макрофаги;
г) клетки эндоста;
д) ретикулярные клетки и волокна.
6. Какие факторы, необходимые для созревания тимоцитов, вырабатывают секреторные эпителиоретикулярные клетки тимуса?
а) эритропоэтин;
б) тимозин;
в) интерлейкины;
г) тимопоэтин;
д) кальцитониноподобный фактор.
7. Какие из тимоцитов чувствительны к кортикостероидам?
а) клетки мозгового вещества;
б) клетки коркового вещества.
8. Назовите эмбриональные источники развития тимуса:
а) мезенхима;
б) целомический эпителий;
в) эпителий 3—4-го жаберного кармана;
г) нефрогенный тяж;
д) нервная пластинка.
9. Назовите Т-зависимую зону лимфатического узла:
а) лимфоидный узелок;
б) межузелковые скопления коры органа;
в) герминативный центр узелка;
г) паракортикальная зона;
д) корона лимфоидного узелка.
10. Назовите клеточные элементы мозговых тяжей лимфатического узла:
а) Т-лимфоциты;
б) макрофаги;
в) плазматические клетки;
г) В-лимфоциты;
д) эритроциты.
11. Назовите эмбриональный источник лимфатических узлов:
а) эктодерма;
б) мезенхима;
в) кишечная трубка;
г) энтодерма;
д) сомиты.
12. Укажите рано закладывающиеся лимфатические узлы:
а) паховые;
б) брыжеечные;
в) шейные;
г) поднижнечелюстные;
д) подколенные.
13. Назовите функции селезенки в постнатальной жизни:
а) депонирование крови;
б) эритроцитопоэз;
в) участие в гуморальном иммунитете;
г) разрушение старых эритроцитов и тромбоцитов;
д) участие в формировании клеточного иммунитета.
14. Укажите Т-зависимую зону селезенки:
а) маргинальная зона;
б) периартериальное лимфоидное влагалище;
в) лимфоидные узелки;
г) герминативный центр;
д) селезеночные (пульпарные) тяжи.
15. Назовите эмбриональные источники развития селезенки:
а) эктодерма;
б) энтодерма;
в) мезенхима;
г) нервный гребень;
д) нефрогенный тяж.
Ответы
1 : б, д.
2: а, г, д, е, ж.
3: г, д.
4: б, г, д, е, ж.
5: б, в, г, д.
6: б, г.
7: б.
8: а, в.
9: г.
10: б, в, г.
11: б.
12: а, в.
13: а, в, г, д.
14: б.
15: в.
Глава 13
Эндокринная система
Эндокринная система вместе с нервной системой принимает активное участие в регуляции жизнедеятельности организма, при этом гормональным влияниям принадлежит ведущая роль в регуляции таких общих функций, как обмен веществ, соматический рост, репродуктивные функции и т. д. Эндокринную систему составляют:
• ряд желез (гипофиз, шишковидная, щитовидная и околощитовидные железы, надпочечники);
• группы клеток, расположенных в некоторых органах (островки Лангерганса, интерстициальные клетки Лейдига и т. д.);
• индивидуальные клетки, распределенные между клетками паренхимы некоторых органов (клетки APUD-системы).
Эндокринные железы. Эти железы продуцируют гормоны (химические посредники), которые попадают в кровоток и разносятся к другим органам-мишеням.
Гормоны, или низкомолекулярные белки, или жирорастворимые вещества, активизируют клетки паренхимы органа-мишени путем связывания с соответствующими рецепторами. Последние находятся либо на наружной плазматической мембране рецепторной клетки (для гормонов-белков), либо в ее цитоплазме (для жирорастворимых гормонов).
Составные части эндокринной и в некоторой степени нервной системы взаимосвязаны, что выражается в том, что они взаимодействуют и контролируют деятельность друг друга: нервная система обеспечивает быструю адекватную реакцию организма на раздражения внешней или внутренней среды, в то время как эндокринные органы изменяют и интегрируют метаболическую деятельность организма. В связи с этим различают центральные (шишковидная железа, гипофиз, гипоталамус) и периферические (надпочечники, щитовидная и околощитовидные железы) эндокринные органы.
Гипоталамус – отдел промежуточного мозга, являющийся высшим подкорковым центром регуляции вегетативных функций. В сером веществе гипоталамуса выделяют более 80 пар ядер, которые группируются в передней, промежуточной и задней гипоталамических областях.
В передней гипоталамической области располагаются супра-оптическое, паравентрикулярное, преоптическое и другие ядра, образованные нейросекреторными клетками, которые секретируют нейрогормоны вазопрессин (антидиуретический гормон) и окситоцин. По аксонам этих клеток через гипофизарную ножку гормоны проходят в заднюю долю гипофиза, где и накапливаются в концевых расширениях (тельцах Херринга) на стенках капилляров нейрогипофиза, поступая по мере необходимости в кровь.
В ядрах промежуточной гипоталамической области (инфундибулярное ядро, аркуатное, ядра серого бугра) вырабатываются аденогипофизотропные вещества – рилизинг-факторы, которые либо стимулируют (либерины), либо угнетают (статины) соответствующие гормонообразовательные функции передней доли гипофиза.
Кортикотропин-рилизинг-фактор – белок с небольшой молекулярной массой, который индуцирует высвобождение АКТГ.
Гонадотропин-рилизинг-фактор – небольшой пептид, он запускает высвобождение фолликулостимулирующего (ФСГ) и лютеинизирующего (ЛГ) гормонов.
Пролактин-рилизинг-фактор – биохимически не охарактеризован, но предположительно способствует высвобождению пролактина.
Дофамин – предшественник катехоламинов, ингибирует высвобождение пролактина.
Соматостатин – полипептид, состоящий из 14 аминокислотных остатков, ингибирует высвобождение гормона роста.
Регуляция секреции ядер гипоталамуса со стороны ЦНС осуществляется лимбической системой (миндалевидные ядра и гиппокамп), ретикулярной формацией среднего мозга, а также шишковидной железой эпиталамуса.
13.1. Гипофиз
Гипофиз невелик (0,5 г) и развивается в эмбриогенезе из дна промежуточного мозга и верхней стенки первичной полости рта (карман Ратке). Это отражено в его строении и функциях. Он состоит из двух главных отделов – аденогипофиза (передняя доля) и нейрогипофиза (задняя доля) (рис. 13.1).

Рис. 13.1. Гипофиз. ×100.
1 – передняя доля; 2 – промежуточная часть; 3 – задняя доля; 4 – питуицит; 5 – тяжи аденоцитов.
Аденогипофиз делится на дистальную (pars distalis), бугорную (pars tuberalis) и промежуточную (pars intermedia) части.
Нейрогипофиз состоит из воронки (infundibulum) и нервной доли (lobus nervosus).
Гипофиз поддерживает связь с гипоталамусом через воронку гипоталамуса.
Кровоснабжается гипофиз от двух пар сосудов из системы внутренней сонной артерии: правая и левая верхние гипофизарные артерии питают медиальное возвышение, бугорную часть и воронку; правая и левая нижние гипофизарные артерии обеспечивают кровью в основном нервную долю гипофиза.
Ветви верхних гипофизарных артерий заканчиваются в первичном капиллярном сплетении внутри вещества медиального возвышения и основания воронки. Первичное капиллярное сплетение отдает кровь в портальные вены, которые идут вдоль гипофизарной ножки и проникают в аденогипофиз, где формируют вторичное капиллярное сплетение вокруг клеток паренхимы органа.
Гормоны, выделяемые нейросекреторными клетками медиального возвышения, способны изменять деятельность клеток паренхимы аденогипофиза через эту гипофизарную портальную систему.
Строение аденогипофиза. Он состоит из тяжей паренхиматозных клеток, которые беспорядочно расположены вокруг крупных синусоидных капилляров. Железистые клетки и сосудистая сеть поддерживаются ретикулярными волокнами.
Паренхиматозные клетки двух главных типов: хромофильные, обладающие сильным сродством к гистологическим красителям, и хромофобные, чьи гранулы с трудом воспринимают красители.
Хромофильные клетки также двух типов: ацидофилы, секреторные гранулы цитоплазмы которых окрашиваются в розовый цвет, и базофилы, которые окрашиваются в голубой цвет.
Ацидофилы обычно расположены в центре и заднебоковых отделах передней части органа. Это мелкие сферические клетки (15–20 мкм в диаметре) двух типов: соматотропоциты и маммо-тропоциты.
Соматотропоциты продуцируют гормон соматотропин (гормон роста – ГР), который заключен в сферические, ограниченные мембраной гранулы (300–400 нм в диаметре), располагающиеся в цитоплазме клеток. Они имеют центрально расположенное ядро средних размеров, комплекс Гольджи, палочковидные митохондрии и развитую гранулярную ЭПС.
Маммотропоциты продуцируют гормон пролактин, который хранится в мелких (200 нм), ограниченных мембраной гранулах. Секреторные гранулы увеличиваются до 600 нм в диаметре у беременных и кормящих женщин; число органелл в клетках также увеличивается.
Базофилы окрашиваются интенсивнее, чем ацидофилы, и обычно расположены на периферии передней части органа. Различают 3 подтипа базофилов: кортикотропоциты, тиротропоциты, гонадотропоциты.
Кортикотропоциты продуцируют адренокортикотропный (АКТГ) и липотропный (ЛТГ – предшественник β-эндорфина) гормоны, которые хранятся в мелких (200–250 нм в диаметре) гранулах. Это сферические или овальные клетки, чья цитоплазма содержит небольшое количество органелл и эксцентрично расположенное ядро. Иногда кортикотропоциты присутствуют в нервной доле гипофиза.
Тиротропоциты продуцируют тиреотропный гормон (ТТГ), хранящийся в мелких (диаметр 150 нм) секреторных гранулах, которые часто расположены сразу под клеточной мембраной.
Гонадотропоциты продуцируют фолликулостимулирующий (ФСГ) и лютеинизирующий (ЛГ) гормоны, которые хранятся в гранулах диаметром 200–400 нм. Они имеют хорошо развитую гранулярную ЭПС, митохондрии и развитый комплекс Гольджи.
Хромофобы, вероятно, представляют несколько типов клеток. В световом микроскопе видно, что эти мелкие клетки не имеют секреторных гранул и лежат группами, в которых ядра расположены близко друг к другу.
Под электронным микроскопом некоторые из этих клеток напоминают дегранулированные хромофилы, что позволяет предположить, что они представляют разные стадии жизненного цикла различных популяций ацидофилов и базофилов. Некоторые хромофобы могут принадлежать к группе недифференцированных клеток, которые способны дифференцироваться в хромофилы разных типов.
Фолликулозвездчатые клетки агранулярные, с длинными отростками, которые также присутствуют в дистальной части гипофиза. Они, возможно, поддерживают клетки паренхимы, хотя предполагают, что они способны к фагоцитозу.
Гормоны аденогипофиза:
– соматотропин (СТГ) продуцируется ацидофилами (соматотропоцитами), имеет фибриллярную белковую молекулу (мол. масса 21 500). Повышает уровень обмена большинства клеток. У молодых организмов косвенно (через посредников – сомато-медины) повышает пролиферативную активность клеток эпифизарных пластинок длинных трубчатых костей;
– пролактин продуцируется ацидофилами (маммотропоцитами), также имеет фибриллярную белковую молекулу (мол. масса 25 000). Способствует созреванию молочной железы во время беременности и кормления;
– адренокортикотропный гормон (АКТГ) продуцируется базофилами (кортикотропоцитами). Это небольшая (мол. масса 4500) фибриллярная молекула белка, полученная при расщеплении более крупной молекулы проопиокортина. Стимулирует клетки клубочковой зоны надпочечников к производству и выделению кортизола;
– в-липотропный гормон – второй продукт расщепления проопиомеланокортина, функция которого неизвестна (хотя далее он может быть расщеплен на меланоцитостимулирующий гормон и β-эндорфин);
– тиреотропный гормон (ТТГ) продуцируется базофилами (тиреотропоцитами); это гликопротеин (мол. масса 28 000); стимулирует щитовидную железу к синтезу и высвобождению тироксина;
– фолликулостимулирующий гормон (ФСГ) продуцируется базофилами (гонадотропоцитами), является гликопротеином (мол. масса 3000). У женщин ответствен за циклическое созревание фолликулов яичников, у мужчин способствует сперматогенезу (путем стимулирования клеток Сертоли к продуцированию андрогенсвязывающего белка);
– лютеинизирующий гормон (ЛГ) – продуцируется теми же базофилами (гонадотропоцитами), которые производят ФСГ. Это гликопротеин (мол. масса 28 000). У женщин индуцирует овуляцию и участвует в трансформации остатков граафова пузырька в желтое тело; у мужчин известен как гормон, стимулирующий интерстициальные клетки (клетки Лейдига) к секреции тестостерона.
Промежуточная часть гипофиза у человека выражена слабо. Характеризуется присутствием многочисленных коллоидных кист (кисты Ратке), выстланных кубическим эпителием.
Кисты Ратке – это остатки щели, разделяющей аденогипофиз и нейрогипофиз у некоторых животных и у человека на ранних стадиях эмбриогенеза.
Клетки промежуточной части – базофилы секретируют меланоцитостимулирующий гормон (МСГ), активирующий меланоциты, и липотропный гормон (ЛПГ), который стимулирует обмен жиров.
Бугоральная часть у человека также маловыражена. Она состоит из тяжей кубических клеток, небольшого числа фолликулов, выстланных кубическим эпителием, а также базофилов. Интенсивно кровоснабжается (из верхних гипофизарных артерий и гипофизарной венозной портальной системы).
Базофилы секретируют ФСГ и ЛГ.
Нейрогипофиз, как указывалось, состоит из нервной доли и воронки гипоталамуса, напоминает по строению нервную ткань. В него входят безмиелиновые аксоны нейросекреторных клеток, чьи тела расположены в супраоптическом и паравентрикулярном ядрах медиального возвышения гипоталамуса.
Аксоны этих клеток представляют собой гипоталамо-гипофизарный пучок и поддерживаются питуицитами (клетки типа глиальных). По своему ходу и на слепых концах имеют вздутия, известные как тельца Херринга, содержащие нейросекрет (окситоцин и вазопрессин). Нейросекрет (при стимуляции) выделяется из концов аксонов в области фенестрированных капилляров (из нижних гипофизарных артерий).
Окситоцин индуцирует сокращение гладко-мышечной мускулатуры, в том числе стенки матки (во время полового акта и родов), а также сокращение миоэпителиальных клеток молочной железы (при вскармливании).
Вазопрессин (антидиуретический гормон – АДГ) увеличивает проницаемость стенки прямых канальцев почки для воды, способствуя ее абсорбции, в результате чего увеличивается концентрация мочи. Действует также как вазоконстриктор гладко-мышечных клеток стенок артерий.
Нейрофизины выделяются наряду с окситоцином и вазопрессином. Предположительно связывают белки (каждый гормон – один белок), чьи функции точно не известны.
Питуициты нейрогипофиза имеют многочисленные отростки. Они напоминают клетки нейроглии и содержат жировые капли, промежуточные филаменты и пигменты.
13.2. Шишковидная железа
Шишковидная железа – уплощенный небольшой выступ на крыше промежуточного мозга (в эпиталамусе). Капсула сформирована мягкой мозговой оболочкой, от которой отходят перегородки (трабекулы), делящие шишковидную железу на неполные дольки. Отходящие от капсулы трабекулы проводят во внутреннюю часть железы кровеносные сосуды.
Клеточные элементы: – пинеалоциты (светлы: е и темные) и клетки нейроглии. Паренхима органа содержит также кальцинированные отложения неизвестного происхождения – мозговой песок.
Пинеалоциты – бледно окрашивающиеся клетки, которые имеют многочисленные длинные отростки, заканчивающиеся расширениями в виде луковиц вблизи капилляров. Они имеют крупные ядра, хорошо развитую агранулярную ЭПС, некоторое количество гранулярной ЭПС, свободные рибосомы, комплекс Гольджи и многочисленные секреторные гранулы. В них также расположены микротрубочки, микрофиламенты и необычные структуры (синаптические ленты), состоящие из плотных тубулярных элементов, окруженных синаптическими везикулоподобными сфероидами, чьи функции еще неясны.
Пинеалоциты продуцируют серотонин (обычно днем) и мелатонин (ночью), регулируют циркадные ритмы организма. Они могут также продуцировать вазотоцин – пептид, который, возможно, является антагонистом ЛГ и ФСГ, пинеальный антигонадотропный пептид (регуляция полового созревания), а также некоторые либерины и статины.