Текст книги "Общая и частная гистология"
Автор книги: Рудольф Самусев
Жанр: Медицина, Наука и Образование
сообщить о неприемлемом содержимом
Текущая страница: 24 (всего у книги 25 страниц)
18.1. Мужская половая система
Яичко (семенник) выполняет две функции – генеративную и эндокринную. Оно покрыто толстой соединительно-тканной капсулой (белочная оболочка), содержащей гладко-мышечные клетки (ГМК) и отдающей перегородки (септы), разделяющие орган на 150–250 конических долек, сходящихся верхушками в средостении яичка.
Каждая долька содержит 1–4 извитых семенных канальца диаметром 150–250 мкм и длиной 70–80 см, в которых осуществляется сперматогенез (рис. 18.1).
В верхушке дольки извитые канальцы продолжаются в прямые канальцы, являющиеся начальным отделом семявыносящих путей. Сливаясь, прямые канальцы открываются в сеть яичка в его средостении, откуда в придаток яичка отходят выносящие канальцы.

Рис. 18.1. Яичко (семенник) человека. х 132.
1 – извитой семенной каналец; 2 – базальная мембрана; 3 – сперматогонии; 4 – сперматоцит I порядка; 5 – ранняя сперматида; 6 – сустентоцит; 7 – интерстициальная клетка.
Пространство между извитыми канальцами (интерстиций) заполнено рыхлой волокнистой соединительной тканью, содержащей сосуды, нервы и интерстициальные эндокриноциты (клетки Лейдига), вырабатывающие мужские половые гормоны – андрогены (тестостерон, эстрогены).
Извитые семенные канальцы имеют сложноорганизованную стенку, состоящую из сперматогенных клеток, лежащих в 4–8 слоев на толстой базальной мембране и связанных с поддерживающими клетками (клетки Сертоли). Снаружи к базальной мембране в 1–4 слоя прилежат уплощенные миоидные перитубулярные клетки, которые, сокращаясь, продвигают образующиеся спермии в сеть яичка.
Сустентоциты (клетки Сертоли) канальца благодаря латеральным отросткам, связанным плотными соединениями, разделяют семенной каналец на два отдела: базальный и адлюминальный (околопросветный).
Базальный отдел канальца сравнительно легко обменивается веществами с интерстицием яичка и содержит сперматогонии и прелептотенные сперматоциты.
Адлюминальный отдел канальца содержит сперматоциты, сперматиды и спермии.
Гематотестикулярный барьер изолирует развивающиеся сперматогенные клетки от иммунной системы. В его состав входят:
1) эндотелий капилляра интерстиция извитого семенного канальца;
2) базальная мембрана эндотелия капилляра;
3) интерстициальная соединительная ткань;
4) слой миоидных клеток;
5) базальная мембрана канальца;
6) плотные соединения между отростками сустентоцитов.
18.1.1. СперматогенезСперматогенез включает 4 фазы: 1) размножение; 2) рост; 3) созревание; 4) формирование.
Фаза размножения характеризуется делением сперматогоний – мелких диплоидных клеток, располагающихся на базальной мембране и включающих два типа – А и В. Сперматогонии типа А подразделяются на два подтипа – темные клетки (покоящиеся истинно стволовые клетки) и светлые клетки (делящиеся). Сперматогонии типа А делятся митозом: часть их поддерживает популяцию камбиальных элементов, другая часть в ходе четырех последовательных делений превращается в сперматогонии типа В, которые дифференцируются в первичные сперматоциты.
Фаза роста: первичные сперматоциты вступают в профазу I деления мейоза (около 22 дней), которая включает стадии лептотены, зиготены, пахитены, диплотены и диакинеза. В течение пахитены происходит обмен частей парных хроматид, обеспечивающий генетическое разнообразие гамет.
Фаза созревания включает два последовательных деления мейоза: в результате I (редукционного) образуются вторичные сперматоциты, II (экваториального) деление проходит без редупликации хромосом и приводит к образованию сперматид – сравнительно мелких клеток с гаплоидным набором ДНК.
Фаза формирования (спермиогенез) заключается в постепенном преобразовании сперматид в зрелые половые клетки (сперматозоиды), при этом происходит ряд изменений в ядре и цитоплазме клетки: уплотнение хроматина, образование акросомы, формирование жгутика, изменение формы и расположения митохондрий, образование элементов цитоскелета, удаление избыточной цитоплазмы (в виде остаточных телец)
Гормональная регуляция сперматогенеза. Гипоталамо-гипофизарная система активирует синтез и секрецию гонадотропных гормонов гипофиза: ФСГ – фолликулостимулирующего (фоллитропин) и ЛГ – лютеинизирующего (лютропин), влияющих на активность клеток Лейдига и Сертоли. В свою очередь, вырабатываемые в яичке гормоны коррелируют эндокринную деятельность гипоталамо-гипофизарной системы.
Фоллитропин активирует в клетках Сертоли синтез и секрецию андрогенсвязывающего белка, ингибина, эстрогенов, трансферрина, активаторов плазминогена. Лютропин стимулирует в клетках Лейдига синтез и секрецию тестостерона и эстрогенов.
АСБ (андрогенсвязывающий белок) отвечает за поддержание высокого уровня тестостерона в сперматогенном эпителии.
Трансферрин транспортирует железо в сперматогенный эпителий и является мощным митогенным фактором. Активаторы плазминогена влияют на протеолитические реакции, что важно для миграции созревающих половых клеток из базального пространства в адлюминальное.
Эстрогены подавляют синтез тестостерона. Ингибин выделяется клетками Сертоли в ответ на стимуляцию фоллитропином, блокируя синтез фоллитропина.
18.1.2. Семявыносящие путиСемявыносящие пути представляют собой систему канальцев, по которым спермии транспортируются из извитых семенных канальцев в уретру.
Прямые канальцы – короткие (длиной около 1 мм) трубочки, соединяющие извитые семенные канальцы с сетью яичка. В начальной части выстланы видоизмененными сустентоцитами, в дистальной – однослойным кубическим эпителием.
Сеть яичка имеет вид анастомозирующих канальцев различного размера, образующих губчатую структуру и погруженных в богато васкуляризованную соединительную ткань средостения яичка.
Выносящие канальцы объединяют внутри– и внегонадную часть семявышосящих путей; в количестве 12–20 отходят от средостения яичка и проникают в придаток яичка, где резко скручиваются, формируя так называемые сосудистые конусы.
Проток придатка имеет вид резко извитой трубочки, образующей тело и хвост придатка. Его стенка также состоит из трех оболочек: слизистой, мышечной и адвентициальной.
Слизистая оболочка образована эпителием и тонкой собственной пластинкой. Эпителий многорядный, содержит клетки двух типов: главные и базальные.
Главные клетки высокие призматические, покрыты длинными тонкими неподвижными микроворсинками – стереоцилиями. Вырабатывают вещества, способствующие дозреванию спермиев, поглощают из просвета ряд веществ и значительный объем жидкости.
Базальные клетки мелкие, округлые или пирамидной формы, располагаются между базальными частями главных. Предполагают, что они играют роль камбиальных элементов.
Мышечная оболочка утолщается в дистальном направлении; вблизи семявыносящего протока к циркулярному слою гладко-мышечных клеток присоединяется наружный продольный.
Адвентициальная оболочка образована рыхлой волокнистой соединительной тканью.
Функции протока придатка: обеспечение накопления и дозревания спермиев с приобретением ими способности к движению и оплодотворению яйцеклетки.
Семявыносящий проток проксимально является продолжением протока придатка, а дистально впадает в семявыбрасывающий проток. Слизистая оболочка по всей длине протока образует продольные складки, состоит из многорядного призматического эпителия и собственной пластинки. Мышечная оболочка образована тремя слоями гладко-мышечных клеток: внутренним и наружным продольными и средним циркулярным. Адвентиция образована рыхлой волокнистой соединительной тканью.
Семявыбрасывающий (эякуляторный) проток соединяет семявыносящий проток с простатической частью уретры. Выстлан одно-или многорядным призматическим эпителием. Мышечная оболочка отсутствует; снаружи проток окружен стромой простаты.
18.1.3. Добавочные железы мужской половой системыСеменные железы – парные мешковидные структуры, соединяющиеся с семявыносящим протоком в области слияния его с семявыбрасывающим протоком. Каждая железа представляет собой скрученную трубку, стенка которой состоит из трех оболочек: слизистой, мышечной и адвентициальной.
Слизистая оболочка образует многочисленные ветвящиеся и анастомозирующие между собой складки, между которыми расположены вдавления, выстлана многорядным призматическим эпителием. Собственная пластинка образована тонким слоем рыхлой волокнистой соединительной ткани.
Мышечная оболочка представлена внутренним циркулярным и наружным продольным слоями гладко-мышечных клеток.
Адвентициальная оболочка сливается с окружающей соединительной тканью. В просвете органа у взрослого всегда содержится ацидофильный секрет, представляющий собой вязкую жидкость (рН 7,2), которая защищает спермии от кислого влагалищного содержимого и придает им подвижность.
Простата снаружи покрыта тонкой капсулой из плотной волокнистой соединительной ткани с высоким содержанием ГМК. На поперечном срезе органа видны железы (простатические), которые располагаются концентрическими слоями вокруг уретры (рис. 18.2).

Рис. 18.2. Простата. ×60.
1 – уретра; 2 – переходный эпителий; 3 – слизистые (внутренние периуретральные) железы; 4 – подслизистые (наружные периуретральные) железы; 5 – главные железы (концевые отделы); 6 – пучки гладко-мышечных клеток.
Простатические железы разделяются на 3 группы:
1) слизистые или периуретральные (внутренние);
2) подслизистые (промежуточные);
3) главные (наружные).
Эпителий концевых отделов желез однорядный кубический или призматический, местами многорядный призматический. Последний содержит высокие секреторные (главные) и мелкие базальные клетки. Встречаются также отдельные эндокринные клетки.
Выводные протоки слизистых желез открываются в уретру на разных уровнях, а подслизистых и главных – по краям семенного бугорка. Секрет простаты (рН 6,5) содержит лимонную кислоту, цинк, ряд протеолитических ферментов, обеспечивающих разжижение эякулята, а также гормоны (простагландины).
Бульбоуретральные (куперовы) железы располагаются по краям луковицы и впадают в нее своими выводными протоками. Покрыты капсулой из плотной соединительной ткани с включением поперечнополосатых мышечных волокон. Септы, отходящие от капсулы, разделяют орган на мелкие дольки и также содержат мышечную ткань – как поперечнополосатую, так и гладкую. Паренхима образована трубчато-альвеолярными концевыми отделами, соединяющимися друг с другом и выводными протоками.
Секреторный продукт бульбоуретральных желез – светлая, прозрачная, тягучая слизистая жидкость, содержащая сиалопротеины и аминосахара.
18.1.4. Половой членПоловой член состоит из трех удлиненных пещеристых тел – двух верхних парных и нижнего непарного. Сквозь нижнее тело проходит уретра, а его расширенная передняя часть образует головку полового члена. Способность пещеристых тел увеличиваться в размерах и приобретать ригидность при наполнении кровью (обеспечивает эрекцию) обусловлена особенностями их строения.
Пещеристые тела снаружи окружены толстой белочной оболочкой, образованной плотной неоформленной волокнистой соединительной тканью с высоким содержанием ГМК и эластических волокон. Основную массу тел образуют трабекулы и кавернозные синусы.
Трабекулы – плотные соединительно-тканные септы, состоящие из фиброцитов, отдельных фибробластов, пучков ГМК, коллагеновых и эластических волокон. В них проходят завитковые артерии и капилляры.
Пещеристые синусы – пространства между трабекулами, выстланные эндотелием. При эрекции переполняются кровью и резко увеличиваются в объеме.
Эрекция обеспечивается сложным нервно-сосудистым механизмом, обусловлена действием парасимпатических сосудорасширяющих нервов крестцового отдела спинного мозга (SII – SIV), под влиянием которых завитковые артерии распрямляются и расширяются, обеспечивая быстрое заполнение синусов кровью. Усиление симпатической стимуляции сосудов, наступающее после эякуляции, ослабляет приток крови и возвращает орган в состояние покоя.
18.2. Женская половая система
18.2.1. ЯичникЯичник выполняет две функции – генеративную (образование женских половых клеток – овогенез) и эндокринную (синтез женских половых гормонов).
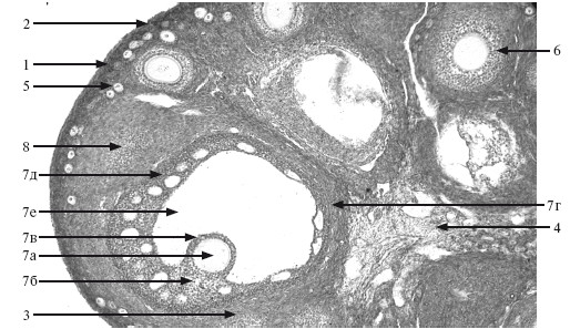
Снаружи яичник покрыт покровным эпителием (видоизмененный мезотелий, регулярно разрывается при овуляции, вслед за чем быстро пролиферирует и мигрирует, замещая дефект) и состоит из коркового и мозгового вещества (рис. 18.3).
Строма органа представлена плотной соединительно-тканной белочной оболочкой, лежащей под покровным эпителием, и своеобразной соединительной тканью, в которой в виде завихрений плотно располагаются веретеновидные фибробласты и фиброциты.

Рис. 18.3. Яичник млекопитающего. ×120.
1 – белочная оболочка; 2 – мезотелий; 3 – корковое вещество; 4 – мозговое вещество; 5 – примордиальные фолликулы; 6 – первичный (поздний) фолликул; граафов пузырек: 7а – овоцит I порядка, 7б – яйценосный бугорок, 7в – лучистый венец, 7 г – наружная тека, 7д – внутренняя тека, 7е – полость фолликула; 8 – желтое тело.
18.2.2. ОвогенезОвогенез (за исключением завершающих этапов) протекает в корковом веществе и включает три фазы: 1) размножение, 2) рост, 3) созревание.
Фаза размножения овогоний происходит внутриутробно и завершается до рождения. Большая часть образовавшихся внутриутробно половых клеток гибнет, меньшая вступает в фазу роста, превращаясь в первичные овоциты.
Фаза роста овоцита складывается из двух периодов: малого и большого. Первый отмечается до полового созревания в отсутствие гормональной стимуляции; второй происходит только после него под действием фолликулостимулирующего гормона (ФСГ) гипофиза и характеризуется периодическим вовлечением фолликулов в циклическое развитие.
Фаза созревания начинается с возобновления деления первичных овоцитов в зрелых фолликулах непосредственно перед наступлением овуляции. При первом делении созревания образуются вторичный овоцит (с диплоидным содержанием ДНК) и мелкая, почти лишенная цитоплазмы клетка – первое полярное тельце. Вторичный овоцит сразу же вступает во второе деление созревания, которое останавливается в метафазе.
При овуляции вторичный овоцит выделяется из яичника и поступает в маточную трубу, где в случае оплодотворения спермием завершает фазу созревания с образованием гаплоидной зрелой женской половой клетки (яйцеклетка) и второго полярного тельца. В отсутствие оплодотворения половая клетка подвергается дегенерации на стадии вторичного овоцита.
Цикличность роста и созревания половых клеток в половозрелом женском организме проявляется в том, что ежемесячно в процесс большого роста вовлекается 5—20 овоцитов, но лишь один из них вступает в фазу созревания, а остальные погибают в процессе атрезии фолликула.
Фолликулы яичника погружены в строму и состоят из первичного овоцита, окруженного фолликулярными клетками. В них создается микроокружение, необходимое для поддержания жизнеспособности и роста овоцита. Различают примордиальные, первичные, вторичные и третичные фолликулы яичника.
Примордиальные фолликулы численно преобладают во всех возрастных группах, исчезая лишь в постменопаузальном периоде. Располагаются в виде скоплений под белочной оболочкой и состоят из мелкого (25–30 мкм) первичного овоцита, окруженного одним слоем уплощенных фолликулярных клеток.
Первичные фолликулы состоят из первичного овоцита, окруженного одним слоем кубических или призматических фолликулярных клеток. В первичных фолликулах впервые становится заметной прозрачная зона (оболочка).
Прозрачная зона имеет вид бесструктурного оксифильного слоя между овоцитом и фолликулярными клетками. Она состоит из гликопротеинов и вырабатывается овоцитом вследствие активации особого гена на определенной стадии его роста. Эта зона выполняет ряд важных функций:
• способствует увеличению площади поверхности взаимного обмена между фолликулярными клетками и овоцитом;
• образует между ними барьер;
• обеспечивает видовую специфичность оплодотворения;
• препятствует полиспермии;
• защищает развивающийся эмбрион при его перемещении по половым путям до имплантации.
Вторичные фолликулы содержат первичный овоцит, окруженный многослойной оболочкой из митотически делящихся фолликулярных клеток, которые часто называют гранулезными. Деление фолликулярных клеток происходит под влиянием ФСГ, поэтому вторичные фолликулы обнаруживаются лишь с наступлением половой зрелости. В цитоплазме овоцита накапливается значительное количество органелл и включений, в ее периферической зоне образуются кортикальные гранулы, которые в дальнейшем участвуют в образовании оболочки оплодотворения. Утолщается базальная мембрана между фолликулярными клетками и окружающей стромой; последняя образует соединительно-тканную оболочку фолликула (тека).
Тека дифференцируется на два слоя – внутренний и наружный. Наружный образован соединительно-тканными элементами, клетки внутреннего слоя под влиянием лютеинизирующего гормона (ЛГ) гипофиза видоизменяются в секреторные стероидпродуцирующие.
Третичные (пузырчатые, полостные) фолликулы формируются из вторичных вследствие секреции фолликулярными клетками фолликулярной жидкости. Фолликулярные клетки вырабатывают женские половые гормоны – эстрогены (преимущественно 17 β-эстрадиол).
Секреторная активность клеток внутреннего слоя теки регулируется ЛГ: они образуют небольшое количество эстрогенов и тестостерон, который фолликулярными клетками преобразуется в эстрогены.
Овуляция – разрыв зрелого третичного фолликула с выбросом из него овоцита, окруженного лучистым венцом, происходит на 14-й день 28-дневного цикла. Развивается спустя 24 ч после массивного выброса ЛГ передней долей гипофиза, обусловленного временной положительной обратной связью между высокими уровнями эстрогенов, секретируемых предовуляторным фолликулом, и ЛГ.
Желтое тело образуется вследствие дифференцировки клеток гранулезы и теки овулировавшего фолликула, стенки которого спадаются, образуя складки, а в просвете формируется сгусток крови, замещающийся в дальнейшем соединительной тканью.
Развитие желтого тела включает 4 стадии:
стадию пролиферации и васкуляризации – активное размножение клеток гранулезы и теки. В гранулезу из внутреннего слоя теки врастают капилляры, а разделяющая их базальная мембрана разрушается;
стадию железистого метаморфоза – клетки гранулезы и теки превращаются в лютеоциты. Лютеоциты подразделяются на 2 типа:
– зернистые лютеоциты развиваются из гранулезных клеток, составляют основную массу желтого тела и располагаются в его центре;
– текалютеоциты происходят из внутренней теки, лежат по периферии желтого тела.
стадию расцвета, которая характеризуется активной функцией лютеоцитов, вырабатывающих прогестерон – женский половой гормон, подготавливающий матку к имплантации, продуцируют также эстрогены и в небольшом количестве андрогены и окситоцин, а при беременности – полипептидный гормон релаксин, который подготавливает родовые пути к родам;
стадию обратного развития – включает последовательность дегенеративных изменений лютеоцитов с их разрушением и замещением плотным соединительно-тканным рубцом – беловатым (белым) телом, которое, уменьшаясь в размерах, очень медленно погружается в строму яичника.
Длительность цикла развития желтого тела в отсутствие беременности (менструального желтого тела) составляет около 14 дней. При беременности желтое тело разрастается, достигая в диаметре 2–3 см (желтое тело беременности); функционирует в течение 6 мес.
Овариальный цикл включает ряд последовательных изменений в яичнике: рост фолликула овуляция образование и активная функция желтого тела его регрессия рост нового фолликула. Он непрерывно повторяется в течение всего репродуктивного периода, в среднем каждые 28 дней, и включает две фазы: фолликулярную и лютеиновую (желтого тела), естественной границей между которыми служит овуляция (14-й день).
Атрезия фолликула – процесс, включающий остановку роста и разрушение фолликулов (на любой стадии их развития), часто со сложными преобразованиями их компонентов и формированием атретичных тел.
Гилусные клетки располагаются в мозговом веществе яичника, в области его ворот, в виде скоплений вокруг капилляров и нервных волокон, вырабатывают андрогены.
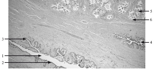
18.2.3. МаткаМатка представляет собой полый орган с толстой мышечной стенкой. В ее расширенную верхнюю часть (тело) открываются маточные трубы, суженная нижняя часть (шейка матки) выступает во влагалище, сообщаясь с верхней шеечным каналом.
Стенка (тела) матки состоит из трех оболочек: 1) слизистой (эндометрий), 2) мышечной (миометрий), 3) серозной (периметрии) (рис. 18.4).
Эндометрий состоит из покровного эпителия, на поверхность которого открываются маточные железы, погруженные в собственную пластинку (строму). Покровный эпителий однослойный призматический, содержит секреторные и реснитчатые клетки.
Маточные железы (железы эндометрия) простые трубчатые, образованы цилиндрическим эпителием, функциональная активность и морфологические особенности которого существенно меняются в ходе менструального цикла.
Строма эндометрия содержит отростчатые фибробластоподобные клетки, лимфоциты, гистиоциты. Между клетками располагается сеть коллагеновых и ретикулярных волокон.

Рис. 18.4. Матка; пролиферативная фаза. ×132.
1 – просвет; 2 – эпителий; 3 – простые трубчатые железы матки; 4 – базальный слой; 5 – функциональный слой; миометрий: 6а – подслизистый слой, 6б – сосудистый слой, 6в – надсосудистый слой; 7 – периметрий.
В эндометрии выделяют два слоя – базальный и функциональный:
базальный слой прикрепляется к миометрию и в отдельных участках может проникать в него. Содержит дистальные участки (донышки) маточных желез, окруженные стромой с плотным расположением клеточных элементов. Малочувствителен к гормонам. Служит источником восстановления функционального слоя в менструальном цикле. Получает питание из прямых артерий, отходящих от радиальных, которые проникают в эндометрий из миометрия;
функциональный слой (при его полном развитии) много толще базального, содержит поверхностный (компактный) слой с плотно лежащими клетками стромы и глубокий (губчатый) с многочисленными железами и сосудами. Высокочувствителен к гормонам. Снабжается кровью за счет спиральных артерий.
Менструальный цикл проявляется закономерными изменениями эндометрия, которые протекают непрерывно, повторяясь каждые 21–35, в среднем 28 дней. Условно разделяется на три фазы: 1) менструальную (кровотечения); 2) пролиферации; 3) секреции; за исходную точку временного отсчета принимают начало менструального кровотечения, которое соответствует 1-му дню цикла.
Менструальная фаза, длящаяся 1–4 дни, в первые 2 дня (период десквамации) характеризуется удалением разрушенного функционального слоя вместе с небольшим количеством крови. Поверхность эндометрия, не покрытая эпителием («физиологическая рана»), в последующие 2 дня (период регенерации) подвергается эпителизации вследствие миграции эпителия из донышек желез на поверхность стромы (на фоне низкого уровня эстрогенов).
Фаза пролиферации соответствует 5—14 дням цикла. Отмечается усиленный рост эндометрия (под влиянием эстрогенов) с образованием структурно оформленных, но функционально неактивных желез. Происходят формирование и рост спиральных малоизвитых артерий
Фаза секреции (предменструальная) соответствует 15—28-му дню цикла и характеризуется активной деятельностью маточных желез и изменениями стромальных элементов и сосудов (под влиянием прогестерона). Выделение секрета начинается с 19-го дня и усиливается к 20—22-му. Железы имеют извитой вид. Наблюдается отек стромы, вокруг сосудов формируются островки крупных полигональных предецидуальных клеток, содержащих гликоген. Секреция завершается на 23—24-й день.
В последующие дни ухудшается трофика эндометрия, в котором отмечается развитие дегенеративных изменений в результате снижающегося содержания прогестерона. Спиральные артерии спазмируются, прекращая кровоснабжение функционального слоя и вызывая его гибель. Некротазированный и пропитанный кровью эндометрий отторгается, чему способствуют периодические сокращения матки.
Миометрий включает три нерезко разграниченных мышечных слоя:
подсосудистый (подслизистый) – внутренний слой с косым расположением пучков ГМК;
сосудистый – средний, наиболее толстый слой, содержит крупные сосуды. Пучки ГМК лежат циркулярно или спирально;
надсосудистый (подсерозный) наружный с косым или продольным расположением пучков ГМК.
Периметрии имеет типичное строение серозной оболочки (мезотелий с подлежащей соединительной тканью); в тех участках, где он отсутствует, имеется адвентициальная оболочка.
Шейка матки имеет строение толстостенной трубки, она пронизана шеечным каналом, который начинается в полости матки внутренним зевом и заканчивается во влагалищной части шейки наружным зевом.
Слизистая оболочка шейки матки образована эпителием и собственной пластинкой.
Канал шейки матки характеризуется многочисленными продольными и поперечными ветвящимися пальмовидными складками слизистой оболочки. Он выстлан однослойным призматическим эпителием, который вдается в собственную пластинку, образуя разветвленные шеечные железы. Эпителий влагалищной части шейки матки многослойный плоский неороговевающий.
Миометрий шейки состоит преимущественно из циркулярных пучков ГМК.