Текст книги "Общая и частная гистология"
Автор книги: Рудольф Самусев
Жанр: Медицина, Наука и Образование
сообщить о неприемлемом содержимом
Текущая страница: 19 (всего у книги 25 страниц)
Коллагеновые волокна периодонтальной связки подвергаются почти непрерывному процессу образования и перестройки (моделирования) в связи с функцией зуба, направлением жевательных усилий мышц, изменением окклюзионных соотношений зубных рядов и т. п. Оба этих вида деятельности выполняются, вероятно, системой фибробласт – фиброкласт одновременно.
Цементобласты образуют слой клеток периодонтальной поверхности цемента корня зуба. Это клетки вариабельной (чаще отростчатой) формы с округлым ядром и хорошо развитым синтетическим аппаратом. Они образуют в период активного формирования цемента непрерывный слой, вырабатывающий прецемент (необызвествленный органический матрикс цемента), который в дальнейшем подвергается минерализации.
Остеобласты располагаются в периодонте на поверхности стенки зубной альвеолы, формируя в активном состоянии непрерывный слой клеток, которые вырабатывают остеоид и осуществляют в дальнейшем его минерализацию.
В процессе возрастной перестройки костной ткани альвеолы остеобласты тесно взаимодействуют с остеокластами и одонтокластами. Последние появляются при резорбции (рассасывании) корней молочных зубов, а также при ряде патологических состояний, связанных с процессами в тканях корня.
В небольших количествах в интерстициальной соединительной ткани периодонта содержатся также макрофаги, лейкоциты (эозинофильные гранулоциты, моноциты, лимфоциты), тучные клетки. Они обеспечивают развитие и течение защитных реакций, поэтому при воспалительных процессах их содержание резко увеличивается.
Непосредственно около цемента часто обнаруживаются группы (островки) эпителиальных клеток – эпителиальные островки Малассе, которые образуются в период формирования корня зуба вследствие распада корневого эпителиального влагалища. Они более многочисленны сначала в апикальной части корня, а в более позднем возрасте – в шеечном отделе.
Наибольшее количество телец Малассе отмечается в детском возрасте (10–15 лет), в дальнейшем оно снижается. Микроскопически – это компактные скопления мелких клеток с относительно крупными ядрами и цитоплазмой, богатой гликогеном.
По морфологическим признакам выделяют три типа телец Малассе: 1) покоящиеся; 2) дегенерирующие; 3) пролиферирующие. В дегенерирующих островках присутствуют темные клетки с пикнотическими ядрами, подвергающиеся постепенному разрушению и обызвествлению с образованием кальцификатов. Пролиферирующие тельца имеют крупные размеры с клетками, характеризующимися заметной синтетической и пролиферативной активностью.
С возрастом отмечается увеличение телец Малассе 3-го типа. Функция этих образований неясна. Эти клетки жизнеспособны, метаболически активны и, по некоторым представлениям, играют определенную роль в образовании кист периодонта, а также развития злокачественных опухолей.
Кроме описанных клеток, в периодонте находится также большое количество недифференцированных эктомезенхимальных клеток, происходящих из зубного фолликула (мешочка). Эти полипотентные клетки способны видоизменяться в любую клетку периодонта. Они являются основным резервом для всех клеток периодонтальной связки в течение жизни индивидуума.
В периодонте, как отмечалось, находится большое количество пучков коллагеновых волокон, натянутых между стенками зубной альвеолы челюсти и цементом корня зуба. Каждый пучок одним своим концом внедряется в кость альвеолярной стенки, другим – в цемент, причем их терминальные участки в обеих тканях называются прободающими (шарпеевскими) волокнами. Последние в кости обычно имеют значительно большую толщину (10–20 мкм), чем в цементе (3–5 мкм).
Особенностью коллагеновых фибрилл периодонта является их сравнительно небольшой диаметр – в среднем 50–60 нм, что в 2–4 раза меньше, чем диаметр таких фибрилл в сухожилии. Они характеризуются слегка волнообразным ходом, т. е. способны незначительно удлиняться при натяжении. В связи с этим, несмотря на отсутствие у них эластичности, коллагеновые волокна могут обеспечивать ограниченные движения зуба.
Промежутки между пучками плотной соединительной ткани заполнены прослойками рыхлой соединительной ткани, в которых проходят кровеносные и лимфатические сосуды, нервы, находятся специальные рецепторы, а также цементикли и тельца Малассе. Здесь же имеется небольшое количество тонких эластических волокон, по большей части связанными с кровеносными сосудами.
В последнее время в периодонте описан в дополнение к коллагеновым и эластическим волокнам 3-й тип – окситалановые волокна диаметром 0,5–1,0 мкм, которые относят к преэластическим волокнам. Они многочисленны в области шейки зуба и располагаются обычно в центральном отделе периодонтального пространства аксиально, образуя вокруг корня трехмерную сеть, пронизывающую пучки коллагеновых волокон под прямым углом.
Пучки коллагеновых волокон в различных отделах периодонтального пространства имеют различное направление, обеспечивая прочную связь зуба с костной альвеолой. Так, у краев альвеолы они натянуты почти в горизонтальном направлении, образуя циркулярную связку зуба. Волокна этой связки одним своим концом укреплены в цементе вблизи цементоэмалевой границы, а другим вплетаются в соединительную ткань десны или прикрепляются к гребню альвеолярного отростка.
В составе циркулярной связки зуба выделяют транссептальные волокна периодонта, которые идут от цемента шейки одного зуба к такому же цементу смежного зуба в медиально-периферическом направлении над гребешком альвеолярной кости в толще межзубного сосочка. Они образуют потенциально плотный барьер из соединительной ткани, задерживающий распространение инфекции, воспаления, вредных веществ из полости рта в периодонтальное пространство и к корню зуба.
Совокупность волокон периодонта, идущих в радиальном направлении в окружности шейки зуба и вершины корня, ограничивает возможность боковых (качательных) движений зуба при жевании.
У зубов, лишенных антагонистов и, следовательно, не функционирующих, в периодонтальной связке утрачивается правильное расположение пучков коллагеновых волокон и она становится очень тонкой [Кулидж Е., 1957].
Напротив, при повышенной нагрузке на зуб наблюдаются утолщение периодонтальных волокон и перестройка окружающей корень зуба альвеолярной кости, а также отложение новых слоев цемента на поверхности корня. Одновременно с этим в вещество цемента включаются новые волокна периодонта, возникшие благодаря деятельности фибробластов. Эти волокна приходят на смену старым дегенерировавшим волокнам перицемента. Этим объясняется, например, возможность перемещения зуба в процессе ортодонтического лечения без нарушения его связей с окружающими тканями [Орбан Б.,1984].
Оценивая в целом роль и значение пучков коллагеновых волокон периодонта, многие авторы рассматривают их как подвешивающий аппарат, который предохраняет сосудисто-нервный пучок, вступающий в отверстие верхушки корня зуба, от сдавливания во время жевания.
Другие исследователи [Катц А., 1961; Быков В., 1996] считают основной ролью периодонта (помимо укрепления корня зуба в альвеоле) трансформацию жевательного давления и передачу его равномерно на все стенки костной зубной ячейки, а не только на ее пришеечную часть.
Возрастные изменения. В периодонте в течение всей жизни индивидуума постоянно происходят пластические процессы обновления его составных элементов: фибробластов и других клеток, коллагеновых волокон и межклеточного вещества.
Интенсивность обновления коллагена в периодонте в 2 раза выше, чем в десне, и в 4 раза выше, чем в коже. Высокая скорость обновления коллагена – свидетельство важной непрерывной перестройки периодонта в постоянно протекающих процессах адаптации поддерживающего аппарата зуба к меняющимся нагрузкам.
С возрастом уменьшаются пластические возможности клеток периодонта, что находит выражение в сокращении количества активных клеток (фибробласты, остеобласты, цементобласты), синтеза коллагеновых волокон, ухудшении кровоснабжения тканей перицемента. Отмечается уменьшение ширины периодонтальной щели. Эти изменения, несомненно, вызывают ослабление фиксирующего аппарата корня зуба, его барьерных свойств, увеличение подвижности зубов, что с неизбежностью приводит к необходимости врачебного вмешательства.
14.2. Глотка
Глотка (pharynx) – орган, где происходит перекрещивание дыхательного и пищеварительного путей. Состоит из 3 отделов:
1) носового (носоглотка), эпителий многорядный, призматический, реснитчатый, собственная пластинка содержит лимфоидные узелки;
2) ротового (ротоглотка), эпителий многослойный, плоский, неороговевающий;
3) гортанного, эпителий многослойный, плоский, неороговевающий.
Хорошо выражены все оболочки этого отдела пищеварительного тракта. В подслизистой основе носоглоточного отдела располагаются лимфоидная ткань трубных и глоточной миндалин и концевые отделы: смешанный: желез. В ротовом и гортанных отделах имеются слизистые железы и сеть эластических волокон.
14.3. Пищевод
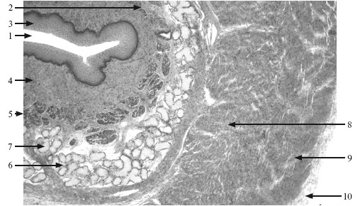
Пищевод (oesophagus) – трубчатый орган, соединяющий глотку с желудком (рис. 14.1). Стенка образована 3 оболочками.

Рис. 14.1. Пищевод; поперечный срез. ×92.
1 – просвет пищевода; 2 – слизистая оболочка; 3 – многослойный плоский неороговевающий эпителий; 4 – собственная пластинка; 5 – мышечная пластинка; 6 – подслизистая основа; 7 – собственные железы; 8 – внутренний циркулярный слой мышечной оболочки; 9 – наружный продольный слой; 10 – адвентициальная оболочка.
Слизистая оболочка состоит из многослойного плоского неороговевающего эпителия, содержит интраэпителиальные лимфоциты и дендритные антигенпредставляющие клетки. Собственная пластинка слизистой оболочки – это рыхлая волокнистая соединительная ткань, вдающаяся в эпителий высокими сосочками. В нижней трети и в области перстневидного хряща располагаются кардиальные железы пищевода (простые трубчатые разветвленные), в концевых отделах которых находятся клетки, вырабатывающие муцины, париетальные клетки (вырабатывающие хлориды), эндокринные (ЕС– и ECL) клетки. Мышечная пластинка слизистой оболочки представлена одним продольным слоем гладко-мышечных клеток. Подслизистая основа образована рыхлой волокнистой соединительной тканью, которая вместе с мышечной пластинкой формирует продольные складки. В ней располагаются лимфоидные узелки, подслизистое нервное сплетение, концевые отделы альвеолярно-трубчатых собственных желез пищевода, выделяющих слизь, которая содержит бикарбонатные ионы и лизоцим.
Мышечная оболочка представлена 2 слоями: внутренним циркулярным и наружным продольным. В верхней трети пищевода мышечная оболочка состоит из поперечнополосатых мышечных волокон, в нижних двух третях – из гладкой мышечной ткани, на границе между ними – из их сочетания. Между слоями располагается межмышечное нервное сплетение.
Адвентициальиая оболочка образована рыхлой волокнистой соединительной тканью, в брюшном отделе – серозной оболочкой.
14.4. Желудок
Желудок (gaster) – объемистое мешковидное образование (рис. 14.2).

Рис. 14.2. Дно желудка. ×92.
1 – слизистая оболочка: 1а – железистый эпителий, 1б – собственная пластинка, 1в – мышечная пластинка; 2 – желудочные ямочки; 3 – собственные железы; 4 – подслизистая основа; 5 – мышечная оболочка: 5а – внутренний косой слой, 5б – средний циркулярный слой, 5в – наружный продольный слой; 6 – серозная оболочка.
Анатомически выщеляют 4 части: кардиальную, тело, дно и пилорическую; гистологически – три, так как тело и дно имеют сходное строение. Стенка образована тремя оболочками (см. рис. 14.2).
Слизистая оболочка имеет сложный рельеф: образует складки, поля, ограниченные бороздками и ямками (железы желудка). Состоит из 4 слоев:
а) эпителий однослойный призматический, одинаковый во всех отделах желудка, обновляется в течение 1–3 сут. Секретирует слизь, содержащую бикарбонаты, нейтрализующие соляную кислоту, образующую защитный барьер (барьер проницаем для алкоголя и аспирина);
б) собственная пластинка слизистой – это рыхлая волокнистая соединительная ткань, содержит много кровеносных и лимфатических сосудов, здесь же располагаются железы желудка (около 15 млн): простые, трубчатые, разветвленные собственные (фундальные), кардиальные и пилорические. В собственной пластинке имеются диффузные скопления лимфоидной ткани и лимфоидные узелки;
в) мышечная пластинка состоит из 3 слоев гладко-мышечных клеток;
г) подслизистая основа образована рыхлой волокнистой соединительной тканью, содержит много эластических волокон, крупных сосудов, в ней располагается подслизистое нервное сплетение.
Мышечная оболочка состоит из 3 слоев гладких мышечных волокон: внутреннего слоя косых волокон, среднего – круговых (наиболее развит в области привратника, образуя пилорический сфинктер) и наружного – продольных волокон. Между слоями – прослойки соединительной ткани, а также межмышечное нервное сплетение.
Серозная оболочка образована мезотелием и подлежащей соединительной тканью (подсерозная основа).
Железы желудка. 1. Собственные, или фундальные, железы располагаются в теле и дне желудка. Самые многочисленные, образуют группы по 3–7, впадают в желудочные ямки. Железы трубчатые, слабо разветвленные, состоят из узкой шейки, удлиненного тела и дна. Различают 4 типа клеток: главные, париетальные, шеечные и эндокринные.
Главные клетки наиболее многочисленные в нижней части и дне желез, пирамидальные или цилиндрические. Клетки базофильны, хорошо развиты ЭПС, комплекс Гольджи, содержат в цитоплазме крупные апикально расположенные зимогенные гранулы (пепсиноген, проферменты).
Париетальные (обкладочные) клетки более многочисленны в верхней части желез. Они крупные, пирамидной формы, узкой апикальной частью вдаются между шеечными слизистыми и главными клетками. Цитоплазма оксифильна, ядро расположено в центре, много митохондрий с развитыми кристами. Имеют особые внутриклеточные секреторные канальцы в виде узких щелей со множеством микроворсинок. По периферии канальцев – комплекс мембранных пузырьков и трубочек (резерв мембраны, содержащей ионные насосы), сливающихся с канальцами при активной секреции. Через апикальный полюс секретируют ионы H и CL, которые, соединяясь, образуют HCL, создавая кислую среду в желудке (рН < 2,0), обеспечивающую разрушение белков, превращение пепсиногена в пепсин и угнетающую рост патогенных микроорганизмов. Через базальный полюс выделяют гидробикарбонаты, нейтрализованную HCL из просвета желудка. Синтезируют антианемический фактор, который в комплексе с витамином В12 всасывается в подвздошной кишке.
Слизистые шеечные клетки немногочисленны, располагаются в шейке железы поодиночке или группами. Цитоплазма слабобазофильна. Клетки часто делятся и рассматриваются как камбиальные клетки эпителия слизистой оболочки желудка. Выделяют слизь, предохраняющую стенку желудка от повреждения.
Эндокринные клетки располагаются в дне желез, они треугольные, овальные и полигональной формы. Ядро находится на апикальном полюсе, на базальном – плотные секреторные гранулы, ограниченные мембранами. Клетки окрашиваются солями серебра и хрома (хромаффинные гранулы), содержат пептидные гормоны и амины. Относятся к APUD-системе. Различают EC-клетки – вырабатывают серотонин, мотилин, вещество Р, усиливают моторику кишечника; ECL-клетки – выделяют гистамин, усиливающий секрецию HCL в желудке, и G-клетки – выделяют гастрин, активизирующий секрецию HCL и пепсиногена железами желудка.
2. Кардиальные железы трубчатые, разветвленные, концевые отделы содержат слизистые клетки со светлой цитоплазмой, вырабатывают мукоидный секрет, бикарбонаты, хлориды калия и натрия. В железах встречаются главные, париетальные и эндокринные клетки.
3. Пилорические железы трубчатые, с сильно разветвленными и извитыми концевыми отделами, располагаются в пилорическом отделе желудка, образованы слизистыми, париетальными и эндокринными (G и EC) клетками.
14.5. Тонкая кишка
Тонкая кишка (intestinum tenue) состоит из 3 отделов: двенадцатиперстной (рис. 14.3), тощей (рис. 14.4) и подвздошной кишок, которые имеют сходное строение. Общая длина их 6–7 м посмертно, прижизненно 3 м. Стенка образована тремя оболочками.

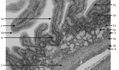
Рис. 14.3. Двенадцатиперстная кишка. ×120.
1– слизистая оболочка (ворсинка): 1а – однослойный призматический (каемчатый) эпителий, 1б – бокаловидные клетки, 1в – собственная пластинка, 1 г – крипта, 1д – мышечная пластинка; 2 – подслизистая основа: 2а – дуоденальные железы; 3 – мышечная оболочка: 3а – внутренний циркулярный слой, 3б – наружный продольный слой; 4 – адвентициальная оболочка.

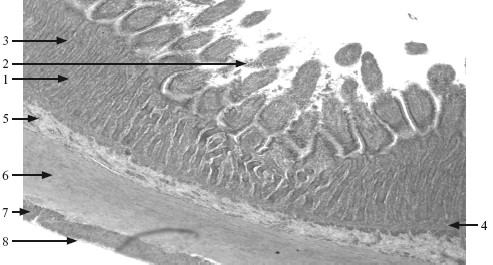
Рис. 14.4. Тощая кишка. ×15.
1 – слизистая оболочка; 2 – эпителий; 3 – собственная пластинка с криптами; 4 – мышечная пластинка слизистой оболочки; 5 – подслизистая основа; 6 – внутренний циркулярный слой мышечной оболочки; 7 – наружный продольный слой мышечной оболочки; 8 – серозная оболочка.
Слизистая оболочка – однослойный призматический каемчатый эпителий, собственная пластинка, мышечная пластинка и подслизистая основа. Рельеф оболочки сложный:
Циркулярные складки (складки Керкринга) сформированы всеми слоями слизистой оболочки, они занимают от 1/2 до 2/3 окружности стенки кишки; их около 800, наиболее развиты в тощей кишке;
Кишечные ворсинки – пальцевидные выпячивания слизистой оболочки, образованные собственной пластинкой. Покрыты призматическим каемчатым эпителием. Ворсинки двенадцатиперстной кишки шире и короче, листовидные. В дистальном направлении становятся выше и уже. Общее количество ворсинок тонкой кишки достигает 4–5 млн;
Кишечные крипты (железы) – трубчатые углубления эпителия в собственную пластинку; открываются в пространство между ворсинками. Общее количество крипт более 150 млн. Содержат камбиальные элементы. Обеспечивают выработку пищеварительных соков и слизи.
Эпителий содержит 5 типов клеток: каемчатые, бокаловидные, клетки с ацидофильными гранулами (клетки Панета), недифференцированные или малодифференцированные (бескаемчатые), эндокринные. В пейеровых бляшках имеются специализированные М-клетки.
Каемчатые клетки составляют основную массу эпителия ворсинок и верхушки крипт, имеют высокопризматическую форму, хорошо развитые органеллы; продолжительность жизни 1,5–3 сут. На апикальной поверхности располагаются микроворсинки (до 3000), покрыты гликокаликсом, образуют щеточную каемку, содержащую ферменты, обеспечивающие пристеночное пищеварение, расщепление олигомеров до мономеров, всасываемых клеткой. Здесь осуществляется переваривание белков и углеводов до аминокислот и моносахаров. Энтероциты способны транспортировать неизмененные макромолекулы (фактор роста, иммуноглобулины), что имеет особое значение для детей грудного возраста. Жиры эмульгируются и расщепляются до свободных жирных кислот и моноглицеридов, при этом образующиеся хиломикроны (окруженные мембраной гликолипопротеины) поступают в лимфатический капилляр ворсинки (млечные пути). Осуществляют всасывание воды и солей.
Бокаловидные клетки – одноклеточные слизистые железы, располагаются среди каемчатых клеток в ворсинках и криптах. Продолжительность жизни 2–4 сут. Секреторный цикл активен, выделяют слизь.
Клетки Панета (с ацидофильными гранулами) пирамидной формы, в узкой апикальной части их располагаются крупные ацидофильные гранулы с белково-полисахаридным комплексом, содержат цинк, лизоцим (бактерицидный фермент). Располагаются в дне крипт, обновляются медленно (3–4 нед).
Недифференцированные (бескаемчатые) клетки находятся в глубине крипт, являются источником обновления эпителия крипт и ворсинок. Узкие, призматические клетки, стволовые, активно делящиеся.
Эндокринные клетки многочисленны в криптах. Наиболее распространены: EC-клетки, выделяющие серотонин, усиливающий моторику кишечника, мотилин, вещество Р; G-клетки – гастрин, активирующий секрецию HCL и пепсиногена в желудке; I-клетки – холецистокинин/панкреозимин, который повышает секрецию ферментов поджелудочной железой, усиливает сокращение желчного пузыря и желчеотделение; S-клетки – секретин, усиливающий секрецию бикарбонатов поджелудочной железой; К-клетки – ЖИП (желудочный ингибирующий пептид), понижающий секрецию и моторику желудка и секрецию инсулина; D-клетки – соматостатин, угнетающий секрецию ГЭП-клеток (ГЭП – гастроэнтеропанкреатические) и желез желудка. Интра-эпителиальные лимфоциты располагаются между энтероцитами, преобладают Т-лимфоциты (супрессоры, клетки памяти и киллеры).
Собственная пластинка представлена рыхлой волокнистой соединительной тканью, в которой располагается большое количество лимфоцитов (Т-хелперы, плазматические клетки), эозинофилы, макрофаги, тучные клетки, система кровеносных сосудов, широкие лимфатические капилляры, гладко-мышечные клетки на оси ворсинки, своим сокращением способствующие продвижению лимфы. Имеются солитарные и сгруппированные лимфоидные узелки (пейеровы бляшки), содержащие Т– и В-лимфоциты.
В области пейеровой бляшки крипты и ворсинки мелкие или отсутствуют. В эпителии образуется купол пейеровой бляшки, встречаются М-клетки (микроскладчатые), они ниже каемчатых, апикальный полюс покрыт немногочисленными микроворсинками со слабо развитым гликокаликсом. В «карманах» М-клеток находятся лимфоциты, в бляшках – В-лимфоциты, плазмоциты, Т-лимфоциты, макрофаги, антигенпредставляющие дендритные клетки.
Мышечная пластинка слизистой оболочки образована 2 слоями гладко-мышечных клеток.
В подслизистой основе встречаются лимфоидные узелки, элементы подслизистого нервного, венозного и лимфатического сплетений, в двенадцатиперстной кишке – железы (дуоденальные, или бруннеровы), сложные трубчатые, в секреторных клетках их концевых отделов содержатся гликопротеиды, а выводные протоки открываются в крипты. Секрет содержит слизь, обладающую щелочной реакцией, лизоцим, урогастрон (стимулирующий деление эпителиальных клеток и угнетающий секрецию соляной кислоты в желудке) и ферменты – дипепсидазу, амилазу, энтерокиназу.
В мышечной оболочке между двумя слоями (внутренним круговым и наружным продольным) располагается межмышечное нервное сплетение.
Серозная оболочка образована мезотелием и подлежащей соединительной тканью (подсерозной основой), в двенадцатиперстной кишке оболочка адвентициальная.