Текст книги "Общая и частная гистология"
Автор книги: Рудольф Самусев
Жанр: Медицина, Наука и Образование
сообщить о неприемлемом содержимом
Текущая страница: 22 (всего у книги 25 страниц)
Тесты и вопросы для самоконтроля
Выберите один или несколько правильных ответов:
1. Функции сурфактанта:
а) бактерицидная;
б) стимуляция регенерации альвеолоцитов;
в) активация альвеолярных макрофагов;
г) регенерационная.
2. Клетки Клара:
а) имеют реснички;
б) располагаются поодиночке между альвеолоцитами;
в) это видоизмененные макрофаги;
г) их секреторные гранулы содержат гликопротеины.
3. С уменьшением калибра бронхов:
а) уменьшается высота эпителия слизистой оболочки;
б) в бронхиолах фиброзно-хрящевая оболочка содержит островки хряща;
в) увеличивается количество бокаловидных клеток;
г) уменьшается выраженность мышечного слоя.
4. Альвеолы. Верно все, кроме:
а) выстланы однослойным двурядным эпителием;
б) в межальвеолярных перегородках присутствуют макрофаги;
в) эпителий альвеол тесно связан с кровеносными капиллярами;
г) поры в стенке альвеол часто закрыты сурфактантом.
5. Бронхи. Верно все, кроме:
а) содержат многочисленные бокаловидные клетки;
б) имеют хрящевые пластинки и хрящевые отростки;
в) в эпителии присутствуют эндокринные клетки;
г) не содержат гладко-мышечных клеток;
д) в собственном слое слизистой оболочки встречаются тучные клетки.
6. Легочный ацинус – это:
а) группа терминальных бронхиол;
б) одна терминальная бронхиола и две респираторные;
в) респираторные бронхиолы, альвеолярные ходы, альвеолярные мешочки и альвеолы;
г) альвеолярные ходы преддверия и альвеолярные мешочки.
7. Стенка гортани состоит из следующих слоев:
а) слизистого;
б) подслизистой основы;
в) мышечного;
г) волокнисто-хрящевого;
д) адвентициального.
8. Альвеолярные макрофаги:
а) происходят из моноцитов;
б) локализуются только в межальвеолярных перегородках;
в) их лизосомальные ферменты разрушают стенку альвеол;
г) их активность увеличивается при голодании.
9. Бокаловидные клетки эпителия воздухоносных путей. Верно все, кроме:
а) синтезируют компоненты сурфактанта;
б) секреторные гранулы заполняют апикальную часть клетки;
в) синтезируют слизь;
г) в большом количестве имеются в трахее;
д) отсутствуют в респираторных бронхиолах.
10. Для респираторных эпителиоцитов характерно все, кроме:
а) это плоские клетки;
б) участвуют в газообмене;
в) присутствуют в терминальных бронхиолах, образуя небольшие скопления;
г) в цитоплазме имеются многочисленные пиноцитозные пузырьки.
Ответы
1: а, в.
2: а, б.
3: в.
4: г.
5: а.
6: в.
7: а, г, д.
8: а, б.
9: а.
10: в.
Глава 16
Общий покров и его производные
Общий покров тела включает кожу и ее производные (волосы, ногти, железы и т. д.). Площадь поверхности кожи составляет 1,2–2,3 м2, а ее масса достигает 14–16 % от массы тела.
Кожный покров представляет собой огромное рецепторное поле, в котором сосредоточены осязательные, болевые, температурные, нервные окончания (до 300 чувствительных точек на 1 см2 кожи).
Функции кожи:
• защита тела от вредных физических и химических воздействий (травмы, ультрафиолетовое облучение, проникновение микроорганизмов и т. д.);
• защита от высыхания (кератин);
• терморегуляция (излучение тепла, потение);
• поддержание водно-солевого обмена (потоотделение);
• экскреторная (выделение с потом солей, продуктов обмена, лекарственных веществ);
• рецепторная (наличие многочисленных нервных окончаний);
• эндокринная и метаболическая (синтез и накопление витамина D);
• депонирующая (в сосудах кожи может находиться до 800—1000 мл крови);
• иммунная (захват, процессинг и транспорт антигенов);
• выработка пахучих веществ (апокринные потовые железы). Кожа состоит из трех слоев: 1) поверхностного – эпидермиса; 2) глубокого – собственно кожи, или дермы, и 3) подкожной основы, или гиподермы.
Различают толстую и тонкую кожу. Толстая кожа (на ладонях и подошвах) образована толстым (400–600 мкм) эпидермисом с мощным роговым слоем и сравнительно тонкой дермой; волосы и сальные железы отсутствуют. Тонкая кожа (на остальных участках тела) состоит из тонкого (70—140 мкм) эпидермиса со слаборазвитым роговым слоем и сравнительно толстой дермой; имеются волосы и кожные железы.
Эпидермис (epidermis) представлен многослойным плоским ороговевающим эпителием толщиной от 0,03 до 1,5 мм и более, в котором постоянно происходят активные процессы обновления и специфической дифференцировки клеток (кератинизация).
На ладонях и подошвах эпидермис состоит из многих десятков слоев клеток, которые объединяются в пять основных слоев, в остальных участках кожи – в четыре слоя (отсутствует блестящий слой).
Эпидермис вдается в подлежащую дерму в виде эпидермальных гребешков, чередующихся с ее сосочками, образованными рыхлой неоформленной волокнистой соединительной тканью. Это увеличивает механическую прочность связи эпидермиса с дермой и площадь поверхности взаимного обмена между ними.
Собственно кожа (дерма) имеет толщину от 0,5 до 5 мм и делится на сосочковый и сетчатый слои, не имеющие между собой четкой границы.
Сосочковый слой располагается непосредственно под эпидермисом, состоит из рыхлой волокнистой соединительной ткани, выполняющей трофическую функцию. В нем имеются многочисленные конические протрузии (сосочки), образующие интердигитации с эпидермальными гребешками и бороздами. В некоторых из сосочков располагаются осязательные тельца, или тельца Мейсснера (механорецепторы кожи).
Соединительная ткань сосочкового слоя образована тонкими коллагеновыми, эластическими и ретикулярными волокнами и многочисленными клетками (фибробласты, макрофаги, тучные клетки и др.). Здесь также встречаются гладкие мышечные клетки, местами собранные в небольшие пучки, связанные с корнями волос (мышцы, поднимающие волосы), и множество кровеносных сосудов;
В сетчатом слое располагаются концевые отделы: потовых и сальных желез, а также волосяные фолликулы.
С подлежащими частями организма кожа соединяется подкожной основой (гиподермой), богатой жировыми клетками и кровеносными сосудами. Гиподерма обеспечивает некоторую подвижность кожи, смягчает действие на кожу различных механических факторов, ограничивает теплоотдачу.
Эпидермис толстой кожи состоит из 5 слоев: базального, шиповатого, зернистого, блестящего и рогового.
Базальный слой образован одним слоем базофильных кубических или цилиндрических клеток (кератиноциты), между которыми рассеяны светлые осязательные клетки (клетки Меркеля; механорецепторы кожи), а также пигментные клетки (меланоциты), содержащие в своей цитоплазме многочисленные гранулы пигмента.
Кератиноциты выполняют роль камбиальных элементов эпителия (среди них имеются стволовые клетки, встречаются фигуры митоза), а также обеспечивают прочное соединение между эпидермисом и дермой;
Шиповатый слой самый толстый, состоит из клеток неправильной формы (чаще многоугольных), связанных друг с другом десмосомами в области многочисленных отростков (шипиков). Ядра клеток округлые, органеллы развиты слабо, отмечается обилие свободных рибосом и тонофиламентов. В глубоких отделах слоя встречаются делящиеся клетки.
Базальный и шиповатый слои являются ростковыми, за их счет постоянно происходит обновление (физиологическая регенерация) эпидермиса. В связи с этим оба слоя часто объединяют и называют ростковым (герминативным) слоем.
Зернистый слой тонкий, образован 2–3 рядами уплощенных клеток, содержащих базофильные гранулы кератогиалина, а также пластинчатые кератиносомы, в которых располагаются некоторые ферменты и липиды.
Блестящий слой (выражен только в толстой коже) светлый, клетки его содержат сильно преломляющий свет белок элеидин, отчего границы клеток становятся неразличимыми, а весь слой представляется гомогенным. Органеллы и ядра клеток исчезают, кератогиалиновые гранулы растворяются, образуя матрикс, в который погружены тонофиламенты.
Роговой слой состоит из сотен кератинизированных слоев погибших клеток (роговых чешуек), которые не имеют ни ядра, ни органелл и заполнены плотным матриксом с лежащими в нем тонофиламентами. Чешуйки обладают высокой механической прочностью и устойчивостью к действию химических веществ, однако в наружных слоях эпидермиса они постоянно слущиваются на поверхности эпидермиса и заменяются новыми, глубокими слоями. Период обновления эпидермиса равен 20–90 сут (в зависимости от области тела и возраста).
В эпидермисе располагается несколько типов клеток: кератиноциты, меланоциты, внутриэпидермальные макрофаги (клетки Лангерганса) и клетки Меркеля:
кератиноциты являются основными типами клеток эпидермиса (85 % от всех клеток), имеют полигональную форму, овальное, богатое эухроматином ядро и базофильную цитоплазму. В последней располагаются основные органеллы, кератиновые тонофиламенты, а также мелкие гранулы меланина. В шиповатом слое от поверхности клеток отходит множество шиповидных отростков, соединяющихся между собой многочисленными десмосомами. Кератиноциты синтезируют специальные белки (кислые и щелочные типы кератинов, кератолитины, инволюкрины и др.), устойчивые к механическим и химическим воздействиям, из которых формируются кератиновые тонофиламенты и кератиносомы;
меланоциты имеют нейральное происхождение. Их тела лежат в базальном слое, а длинные отростки идут в шиповатый. Они синтезируют меланин – пигмент черно-коричневого (эумеланин) или желто-красного (феомеланин) цвета, который поступает в их отростки, а из последних – в кератиноциты, где защищают их ядерный аппарат от повреждения ультрафиолетовыми лучами солнца;
клетки Лангерганса (внутриэпидермальные макрофаги) имеют костно-мозговое происхождение, лежат в базальном или шиповатом слоях, содержат развитые органеллы и особые мембранные гранулы (Бирбека) в форме теннисной ракетки (функция их неясна). Функция внутриэпидермальных макрофагов заключается в захвате антигенов, проникающих в эпидермис, их процессинге и транспорте в лимфатические узлы; они вызывают развитие иммунной реакции;
клетки Меркеля (осязательные эпителиоциты) имеют нейтральное происхождение, связаны с афферентными нервными волокнами и осуществляют рецепторную функцию (механорецепторы). Их тела расположены в базальном слое, отростки связаны десмосомами с эпителиоцитами базального и шиповатого слоев.
Производные кожи – волосы, ногти, потовые, молочные и сальные железы.
Волосы – ороговевшие нитевидные придатки кожи толщиной 0,005—0,6 мм и длиной от нескольких миллиметров до 1,5 м; их цвет, размеры и распределение связаны с возрастом, полом, расовой принадлежностью и участком тела. Покрывают все тело, за исключением ладоней, подошв, боковых, ладонных и подошвенных поверхностей пальцев, красной каймы губ, головки полового члена, клитора и малых половых губ.
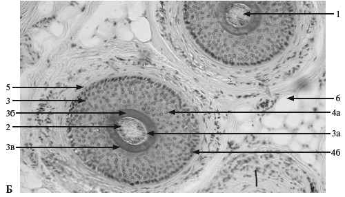
Волос (рис. 16.1) состоит из стержня, выступающего над кожей, и корня, погруженного в нее до уровня подкожной основы (у пушковых волос менее, чем у длинных и щетинистых). Корень окружен волосяным фолликулом – цилиндрическим эпителиальным образованием, вдающимся в дерму и гиподерму и оплетенным соединительно-тканной волосяной сумкой. Вблизи поверхности эпидермиса фолликул образует расширение – воронку, в которую впадают протоки апокринных потовых и сальных желез. На дистальном (глубоком) конце фолликул также имеет расширение – волосяную луковицу, в нее врастает соединительно-тканный волосяной сосочек с большим количеством кровеносных сосудов, осуществляющих питание луковицы.

Рис. 16.1. Кожа с волосом.
А – продольный разрез. ×65:
1 – эпидермис; 2 – дерма; 3 – стержень волоса; 4 – корень волоса; 5 – наружное волосяное влагалище; 6 – сальные железы; 7 – волосяной фолликул.

Б – поперечный разрез. ×198:
1 – мозговое вещество волоса; 2 – корковое вещество; 3 – внутреннее эпителиальное влагалище: 3 а – кутикула, 3б – слой Гексли, 3в – слой Генле; наружное эпителиальное влагалище: 4а – шиповатый слой, 4б – базальный слой; 5 – волосяная сумка; 6 – жировая ткань.
Эпителиальные клетки луковицы служат камбиальными элементами (матрицей), обеспечивающими рост волоса. Они делятся и, смещаясь, дифференцируются, образуя (в зависимости от положения в луковице) клетки разных типов. Эти клетки, подвергаясь ороговению, участвуют в формировании различных частей волоса и его внутреннего корневого влагалища. В луковице находятся и меланоциты, обусловливающие пигментацию волоса.
Мозговое вещество волоса (образовано клетками центральной части луковицы) состоит из крупных слабопигментированных вакуолизированных клеток, лежащих наподобие монетных столбиков и содержащих в цитоплазме оксифильные гранулы трихогиалина (предшественник рогового вещества). Клетки полностью ороговевают только на уровне сальных желез, заполняясь мягким кератином.
Корковое вещество волоса (средняя часть луковицы) располагается вокруг мозгового и состоит из уплощенных веретеновидных клеток, которые быстро ороговевают, заполняясь твердым (механически и химически устойчивым) кератином.
Кутикула волоса (наружный край средней части луковицы) окружает корковое вещество; состоит из клеток, превращающихся в роговые чешуйки, содержащие твердый кератин, которые черепицеобразно накладываются друг на друга выступающими краями.
Внутреннее эпителиальное влагалище (периферическая часть луковицы) окружает корень волоса до уровня протоков сальных желез, где оно исчезает. В него входят три слоя, хорошо различимые лишь вблизи луковицы и сливающиеся выше в единый роговой слой (изнутри кнаружи):
• кутикула внутреннего эпителиального влагалища сходна с кутикулой волоса, однако ее чешуйки содержат мягкий кератин, своими выступающими краями направлены книзу и сцеплены с чешуйками кутикулы волоса;
• внутренний (гранулосодержащий) слой (слой Гексли) – вблизи луковицы образован кубическими клетками (содержат гранулы трихогиалина), которые, смещаясь вверх, заполняются мягким кератином и разрушаются;
• наружный (бледный) слой (слой Генле) образован одним рядом светлых клеток, заполняющихся мягким кератином и разрушающихся.
Наружное эпителиальное влагалище является продолжением эпидермиса в фолликул. Утрачивает роговой слой на уровне сальных желез и, истончаясь до 1–2 слоев, сливается с луковицей.
Мышца, поднимающая волос, состоит из гладко-мышечных клеток; одним концом она вплетается в волосяную сумку, другим – в сосочковый слой дермы. При ее сокращении косо лежащий корень волоса принимает более вертикальное положение, а кожа в области прикрепления мышцы втягивается («гусиная кожа»).
Ноготь представляет собой образование в виде пластинки, лежащей на дорсальной поверхности дистальной фаланги пальцев. Он состоит из ногтевой пластинки и ногтевого ложа.
Ногтевая пластинка состоит из твердого кератина, образована многими слоями чешуек, прочно связанных друг с другом, и лежит на ногтевом ложе. Проксимальная ее часть – корень ногтя – находится в задней ногтевой щели и покрыта эпонихием (надкожица), за исключением небольшой светлой зоны полулунной формы (луночка). Дистально пластинка заканчивается свободным краем, лежащим над подногтевой пластинкой (гипонихий). Латерально ногтевая пластинка ограничена двумя кожными складками – ногтевыми валиками, от которых она отделена боковыми ногтевыми щелями.
Ногтевое ложе – эпителиальное образование, состоящее из базального и шиповатого слоев и лежащее под ногтевой пластинкой, которая соответствует его роговому слою. Оно образует продольные эпидермальные гребешки, чередующиеся со складками подлежащей дермы, которая содержит многочисленные сосуды, а также коллагеновые и эластические волокна, прочно прикрепляющие ее к надкостнице фаланговых костей.
Матрица ногтя – утолщенная проксимальная часть ногтевого ложа, образованная активно делящимися клетками (ее дистальная граница соответствует краю лунки). Новообразованные клетки включаются в корень ногтя, где быстро (без образования кератогиалина) превращаются в роговые чешуйки, обеспечивая непрерывное медленное движение ногтевой пластинки по ложу со средней скоростью 0,1 мм/сут (на руках) – рост ногтя. Поперечные светлые полоски на ногтевой пластинке свидетельствуют о временной дисфункции матрицы, продольные – о ее локальных повреждениях.
Молочная железа является также производным кожи; ее структура существенно изменяется в разные периоды жизни, что обусловлено различиями гормонального фона.
У взрослой женщины молочная железа состоит из 15–20 долей трубчато-альвеолярных желез, которые разграничены тяжами плотной соединительной ткани; расходясь от соска, они далее разделяются на множественные дольки. Между дольками много жировой ткани.
На соске доли открываются млечными протоками, расширенные участки которых (млечные синусы) расположены под ареолой (пигментированная зона вокруг соска). Млечные синусы выстланы многослойным плоским эпителием, остальные протоки – однослойным кубическим или призматическим эпителием и миоэпителиальными клетками.
Сосок покрыт пигментированным эпителием, окраска которого еще более усиливается при беременности. В глубине соска и ареолы – радиальные пучки гладко-мышечных клеток, сокращение которых вызывает эрекцию соска. Сосок и ареола содержат большое количество сальных желез и чувствительных нервных окончаний.
Функционально неактивная железа содержит слаборазвитый железистый компонент, который состоит преимущественно из протоков. Концевые отделы (альвеолы) отсутствуют или развиты крайне слабо.
Функционально активная (лактирующая) железа образована дольками, состоящими из альвеол, между которыми располагаются внутридольковые протоки. Форма клеток в альвеолах варьирует в зависимости от степени растяжения и фазы секреции (рис. 16.2).

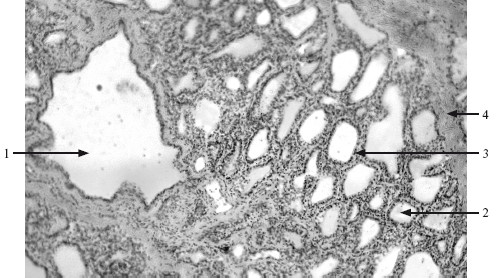
Рис. 16.2. Лактирующая молочная железа. х 132.
1 – млечный ход; 2 – концевой отдел; 3 – экзокриноциты; 4 – соединительно-тканная перегородка.
Секреторные клетки (лактоциты) содержат развитую гранулярную ЭПС, умеренное число митохондрий, лизосом, крупный комплекс Гольджи. Они вырабатывают вещества, которые выделяются различными механизмами, образуя в совокупности молоко.
Белок (казеин) синтезируется на гранулярной ЭПС, упаковывается в мембраны в комплексе Гольджи и выделяется путем слияния мембран секреторных гранул с плазмолеммой (мерокринный тип секреции). Секреторные гранулы содержат также лактозу (синтезируется находящимся в них ферментом лактоз-синтетазой), ионы кальция. Значительное число казеиновых гранул выделяется в межклеточные канальцы.
Липиды сливаются, образуя крупные капли, которые направляются в апикальную часть клетки и, выступая в просвет концевого отдела, выделяются в него с окружающими их участками апикальной части цитоплазмы (апокринная секреция).
Миоэпителиальные клетки уплощенной формы, своими отростками охватывают лактоциты. Обеспечивают выделение молока из альвеол и выводных протоков, сокращаясь под влиянием окситоцина – нейрогормона гипоталамуса.
Соединительная ткань (строма) в лактирующей железе редуцируется за счет увеличения объема долек; от септ остаются тонкие перегородки, инфильтрированные лимфоцитами, макрофагами, эозинофилами, нейтрофилами и плазматическими клетками.
Регуляция лактации осуществляется эстрогенами, прогестероном, пролактином, в сочетании с инсулином, кортикостероидами, СТГ и тиреоидным гормоном. Помимо гормонов, рост и функциональная активность молочной железы регулируются рядом факторов роста.
После прекращения вскармливания (постлактационная инволюция молочной железы) остающиеся частицы молока фагоцитируются макрофагами. В эпителии происходит аутофагия казеиновых гранул, липидных капель и органелл. Многие клетки дегенерируют и распадаются. Клеточный детрит удаляется макрофагами. Концевые отделы: сужаются, их число сокращается. Система выводных протоков, однако, не регрессирует.
Старческая инволюция молочной железы характеризуется атрофией секреторных отделов и частично протоков. Одновременно регрессивные изменения происходят в строме органа.
Кровоснабжение кожи характеризуется наличием двух артериальных и венозных сплетений – глубокого и поверхностного, соединенных связующими сосудами:
глубокое сплетение образовано сетью сосудов в глубоких отделах дермы и подкожной основе;
• поверхностное сплетение располагается под сосочковым слоем дермы, от него артериолы направляются в сосочки, где разветвляются на многочисленные капилляры, собирающиеся в венулы;
• фенестрированные капилляры находятся в волосяных сосочках и окружают потовые железы. Имеются артериоловенулярные анастомозы гломусного типа, обеспечивающие регуляцию температуры кожи, особенно многочисленные в дерме пальцев, ушей и носа.
Иннервация кожи обеспечивается эфферентными и афферентными нервными волокнами, образующими субэпидермальное и дермальное сплетения:
• эфферентные волокна иннервируют гладко-мышечную ткань кровеносных сосудов, мышцы, поднимающей волос, а также потовые железы;
• афферентные волокна связаны с инкапсулированными нервными окончаниями (пластинчатые тельца, концевые колбы, осязательные тельца и др.), лежащими в дерме и являющимися механорецепторами, а также со свободными окончаниями в эпидермисе и дерме (ноцицепторами и терморецепторами).